臨床表現
首發症狀均為三叉神經刺激或破壞症狀,表現為三叉神經分布區疼痛、麻木等,其中三叉神經痛常不典型,持續時間長。腫瘤增大後,相繼出現其他顱神經或顱高壓症狀。
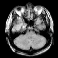
影像表現
1.CT表現:
①顱中窩和顱後窩交界處可見卵圓形或啞鈴形腫物,呈
三叉神經瘤等密度或低密度。
②瘤體周圍一般無腦水腫。
③瘤體小者可無占位效應,顱中窩內較大者可壓迫鞍上池;顱後窩較大者可壓迫第四腦室。騎跨顱中窩、顱後窩者呈啞鈴狀,為三叉神經瘤特徵性表現。
④腫瘤有強化,較小的實性者呈均一強化,囊性變者呈環狀強化。
⑤顳骨岩部尖端破壞。
2.MR表現:
①腫物常跨越中後顱窩,典型者呈啞鈴狀。
②中顱窩三叉神經瘤壓迫鞍上池與海綿竇,後顱窩三叉神經瘤壓迫橋小腦角與第四腦室。
③腫瘤T1加權為低或等信號,T2加權為高或等信號。
④增強後多數明顯均一強化,少數囊變者環形強化。
⑤病灶周圍一般無水腫。
病因病理
三叉神經瘤占顱內腫瘤的0.2%-1%。起源於三叉神經髓鞘的神經膜細胞,常見囊性變和出血壞死,有包膜,屬腦外腫瘤。它①起源於三叉神經半月節,居顱中窩的硬膜外,生長緩慢,可向海綿竇及眶上裂擴展。②起源於三叉神經根,居顱後窩的硬膜內,可侵犯周圍腦神經,約25%的三叉神經瘤可位於顳骨岩部尖端,跨越顱中窩、顱後窩的硬膜內外。
診斷檢查
1.病史 注意有無一側面部麻木或疼痛、咀嚼肌力減退、復視。
2.神經系統檢查 注意有無面部感覺和角膜反射減退、顳肌和咀嚼肌萎縮。檢查眼球運動情況,有無聽力減退和共濟失調。
3.顱骨X線平片 顱中窩型者顱底位片顯示岩骨尖部骨質吸收或有圓孔和卵圓孔擴大。顱後窩型或啞鈴型者多顯示岩骨尖部骨質吸收,但內耳孔不擴大。
4.CT和MRI掃描 可明確腫瘤的大小、形態以及與周圍組織的關係,對診斷、分型及手術入路的選擇有重要意義。CT表現為顱中窩或顱後窩卵圓形或啞鈴形的等密度或低密度影,囊變者密度更低,實質部分增強後明顯強化。MRI在T1加權上表現為低信號或等信號,T2加權上呈高信號,增強後呈均一強化。周圍無明顯水腫。
治療方案
1.顱中窩型 採用顳下入路,低位顳瓣儘量接近顱中窩底,爭取腫瘤全切除。
2.顱後窩型 可採用單側枕下入路,操作與聽神經瘤相似。如腫瘤向岩尖斜坡方向延伸,則可採用經岩入路。
3.啞鈴型 可採用乳突後幕上下聯合入路。亦可採用經岩入路,即乙狀竇前經小腦幕入路,可同時切除顱後窩和顱中窩腫瘤。
因為是良性腫瘤,所以手術是首選治療。需要注意的是應多了解神經鞘瘤和周圍的血管以及神經組織結構的解剖關係,避免因追求全切而增加新的神經功能缺損,甚至危及生命。立體定向放射治療對於2.5cm以下的神經鞘瘤以及手術殘留的腫瘤也可獲得良好的療效。

