肺良性淋巴細胞血管炎和肉芽腫病疾病名稱:良性淋巴細胞血管炎和肉芽腫
疾病分類:呼吸內科
描述
肺良性淋巴細胞血管炎和肉芽腫病症狀體徵
肺良性淋巴細胞血管炎和肉芽腫病病因
病因不明。
病理生理
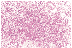
病理檢查可見肺泡結構消失,其內有邊界不清的肉芽腫,血管炎以血管為中心和侵入血管的細胞浸潤性損害為主,浸潤細胞有正常淋巴細胞、漿細胞、組織細胞、異形淋巴細胞樣及漿細胞樣細胞、網狀內皮細胞,異形細胞的形態呈有絲分裂,與淋巴增生性疾病相同,偶見大的淋巴細胞。部分小血管可因淋巴細胞浸潤後阻塞而引起肺局部栓塞和壞死,但此類情況很少見。
診斷檢查
肺良性淋巴細胞血管炎和肉芽腫病BLAG的確診有賴於肺活檢,病理檢查可見肺泡結構消失,其內有邊界不清的肉芽腫,血管炎以血管為中心和侵入血管的細胞浸潤性損害為主,浸潤細胞有正常淋巴細胞、漿細胞、組織細胞、異形淋巴細胞樣及漿細胞樣細胞、網狀內皮細胞,異形細胞的形態呈有絲分裂,與淋巴增生性疾病相同,偶見大的淋巴細胞。部分小血管可因淋巴細胞浸潤後阻塞而引起肺局部栓塞和壞死,但此類情況很少見。本病需要與淋巴瘤樣肉芽腫、Wegener肉芽腫病等相鑑別,缺乏壞死改變是本病與Wegener肉芽腫的主要鑑別點。
實驗室檢查:病人血沉(ESR)升高。C-反應蛋白(CRP)升高。血清免疫球蛋白可升高。個別病人血中抗中性粒細胞胞漿抗體(ANCA)陽性,抗體類型與Wegener肉芽腫類似,屬於C-ANCA。
其他輔助檢查:胸片中80%病人肺部可見大小不等的多髮結節樣陰影,約20%病人胸片為孤立性結節或浸潤性病灶,部分病人可見空洞改變。
鑑別診斷
本病需要與淋巴瘤樣肉芽腫、Wegener肉芽腫病等相鑑別,缺乏壞死改變是本病與Wegener肉芽腫的主要鑑別點。
治療
肺良性淋巴細胞血管炎和肉芽腫病1.對症治療BLAG病人的對症治療常常是針對其合併症的處理,例如咯血、感染、咳嗽、呼吸困難等。
(1)咯血:BLAG病人咯血較少見,一般屬於中、小量的咯血,臨床可以套用酚磺乙胺1.5~2.0g 氨甲苯酸0.3~0.6g/d、氨甲環酸1.0~2.0g/d加入葡萄糖液中靜滴,也可肌內注射卡巴克洛20mg/d及K族維生素,嚴重病人可靜滴和(或)肌注巴曲酶1~4U/d,一般無需套用腦垂體後葉素及輸新鮮全血;自然,在治療原發病過程中套用免疫抑制劑和激素時上述治療療效更佳。
(2)肺部感染:BLAG病人合併肺部感染者常見,尤其是在套用細胞毒性藥物和激素時,有些病人即因感染出現症狀而入院。入院時感染多為社會獲得性,隨著針對BLAG治療的套用,感染則逐漸轉為院內獲得性的細菌或真菌感染,感染的治療應遵循梯級用藥的原則,在病原菌未明時,應選擇廣譜抗生素,一旦確定了病原菌,則應根據藥敏試驗結果選用針對性的抗生素或抗真菌藥。
2.針對性治療BLAG的針對性治療經歷了一個探索的過程。起初根據肺間質疾病的治療經驗,單純套用潑尼松等激素治療,病情也能獲得緩解但不能痊癒,且易反覆,副作用多。後根據其病理特點,用抗腫瘤細胞毒性藥物如苯丁酸氮芥、硫唑嘌呤治療,取得了良好的效果,被定為BLAG的基本治療。目前的治療包括以下幾點。
(1)輕、中度病人:單獨口服細胞免疫抑制劑即可,主要是烷化劑。
①苯丁酸氮芥(Chlorambucil)商品名:瘤可寧(LEUKERAN)本品對淋巴組織有較高的選擇性抑制作用,使用方法:口服:3~6mg/d,早飯前1h或晚飯後2h服用,持續服用至療效出現後1周開始減量,這一過程約需要1~3個月,總量為350~500mg。
②硫唑嘌呤(Azathiopurine)通常不作為首選藥物,在病人不能耐受苯丁酸氮芥或單用皮質激素無法控制時使用。用法:口服:1~4mg/d,總量100mg,連用1~3個月後改維持量0.5~2mg/d,維持治療6~12個月。
(2)中、重度病人:需免疫抑制劑與皮質激素聯合套用。常用組合為環磷醯胺 潑尼松。用法如下:
①環磷醯胺:口服:1~2mg/(kg?d),最大5mg/(kg?d),套用3~6個月。病人緩解後仍應維持治療至滿1年,劑量遞減,每2~3個月減25mg。
②潑尼松:口服:1mg/(kg?d),最大量:80mg/d,見效後則應逐月遞減,至6個月時降至10mg/d。
③維持治療:對環磷醯胺不耐受的病人維持治療可改為硫唑嘌呤[2mg/(kg?d)] 潑尼松(5~10mg/d)維持套用6~12個月。
併發症
本病於1977年由Saldana等提出,它是一種類似Wegener肉芽腫及淋巴瘤樣肉芽腫病的疾病,其病變存在於皮膚及呼吸道,皮膚病變主要表現為慢性反覆發作的脂膜炎。根據近20年來的國內外有關文獻報告發病率較低,也無明顯的地域及季節分布特點。本病以男性多見,發病年齡31~74歲,平均為57歲。
預後及預防
預後:此病屬於良性病變,預後良好。
預防:
1.年齡>60歲及腎功能中度以上受損者,環磷醯胺劑量降至25mg/d。
2.如血白細胞總數<4.0×109/L或中性粒細胞<2.0×109/L,則立即停用免疫抑制劑。
3.皮質激素開始用量要大,維持使用時可換用常效製劑或日間高低劑量交替使用。
相關內容
可阻塞血管造成炎症、梗死和壞死。良性淋巴細胞血管炎和肉芽腫病
