是漿細胞漿內的一種數目不等,大小不一染成肉紅色的球形小體,它是漿細胞中分泌免疫球蛋白的一種小體。如胞漿內充滿此小體,核常被擠到一旁,稱為葡萄細胞(grape cell)或稱mott細胞 (桑椹狀細胞)。Rusell小體在染色中有時會溶解,以致染成淡黃色或形成空泡,成為泡沫樣細胞,須與脂肪細胞區別。

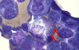
指漿細胞變性時,胞質粗面內質網中免疫球蛋白的蓄積。多見於慢性炎症。
是漿細胞漿內的一種數目不等,大小不一染成肉紅色的球形小體,它是漿細胞中分泌免疫球蛋白的一種小體。如胞漿內充滿此小體,核常被擠到一旁,稱為葡萄細胞(grape cell)或稱mott細胞 (桑椹狀細胞)。Rusell小體在染色中有時會溶解,以致染成淡黃色或形成空泡,成為泡沫樣細胞,須與脂肪細胞區別。
