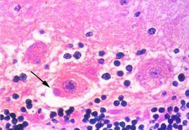
狂犬病時,狂犬病病毒對神經組織有較強親嗜性,在易感動物或人的中樞神經細胞中增殖時,可在胞質內形成嗜酸性、圓形或橢圓形的包涵體,直徑約3~10μm,稱內基小體,有輔助診斷價值。
相關詞條
-
Negri小體
又稱Negri body。也叫內基小體。
-
Negri body
Negri body 文字狂犬病病毒對神經組織有較強親嗜性,在易感動物或人的中樞神經細胞中增殖時,可在胞質內形成嗜酸性、圓形或橢圓形的包涵體,稱內基小體,有輔助診斷價值。 相關條目 Negri body...
Negri body 相關條目 -
內基氏小體
內基氏小體(Negri bodies)狂犬病毒形成的包涵體,呈圓形或橢圓形,直徑約3~10nm,邊緣整齊,內有1~2個狀似細胞核的小點。 內基氏小體又稱...
介紹 檢出位置 病因-狂犬病 感染方式 臨床症狀 -
內基小體
內基小體:學名Negri bodies。
-
《狂犬病疫苗防治與醫療質量監督管理實務全書》
的採集、保存和運送第十七章Negri小體(包含體)的快速顯微鏡檢查第十八章...
詳細內容 相關詞條 參考連結 -
Councilman
,和Russell小體,Mallory小體,Negri等一樣。以前,Councilman小體在肝活檢被認為有足夠的證據,診斷為黃熱病。然而,已被...的詳細描述。Councilman小體,在病理學,也被稱為嗜酸性小體,經常發現在...
-
包含體
稱為顧氏小體(Gua-rnieri’s bodies);狂犬病毒包涵體叫內氏小體(Negri’s body);菸草花葉病毒包涵體稱為X-小體(X...下可見的反應積聚物小體。許多昆蟲病毒在寄主細胞內形成特徵性的多角形 包涵...
詳細介紹 包含體的形成 特點 組成與特性 -
包涵體
顧氏(Guarnieri)小體,狂犬病毒包涵體叫內基氏(Negri)小體...還具有特殊名稱,如天花病毒包涵體叫顧氏(Guarnieri)小體,狂犬病毒包涵體叫內基氏(Vegri)小體。分離一旦一個穩定的、重複的發酵過程...
包涵體定義 實驗方法

