醫學術語
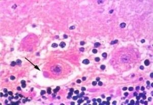
狂犬病病毒在易感動物或人的中樞神經細胞(主要是大腦海馬回的錐體細胞)中增殖時,可在胞質內形成嗜酸性、圓形或橢圓形的包涵體,稱內基小體,有診斷價值。

內基小體:學名Negri bodies。狂犬病病毒在易感動物或人的中樞神經細胞(主要是大腦海馬回的錐體細胞)中增殖時,可在胞質內形成嗜酸性、圓形或橢圓形的包涵體,稱內基小體,有診斷價值。
狂犬病病毒在易感動物或人的中樞神經細胞(主要是大腦海馬回的錐體細胞)中增殖時,可在胞質內形成嗜酸性、圓形或橢圓形的包涵體,稱內基小體,有診斷價值。
內基氏小體,狂犬病毒形成的包涵體。呈圓形或橢圓形,直徑約3~10nm,內有1~2個狀似細胞核的小點。最常見於海馬及小腦浦肯野組織的神經細胞中。
外形特徵 隱藏位置 相關資料小體螺鏇藻是全球最珍貴、最稀有的螺鏇藻。是地球上最早出現的光合生物。
小體螺鏇藻簡介 螺鏇藻主要分類比較 食用須知 小體藻主要成分 小體螺鏇藻產地巴爾小體(英語:Barr body)得名自其發現者穆雷·巴爾,是具有兩個以上X染色體(或Z染色體)的細胞中,為了避免該染色體上基因的過度表現,而將其中一...
發現過程 里昂假說 結構與機制 失活的時期 X染色體劑量問題小體和腎小管兩部分。根據腎小體在皮質內的位置,又分為表淺腎單位和髓旁腎單位...皮質內,每個腎小體有二極,微動脈入的一端稱血管極,與腎小管相連的一端為尿...皮質、髓質中的一定部位。機體尿的生成依賴於腎小體、腎小管和集合管的協同...
簡介 生理意義 組成簡介 腎小體 腎小管細胞化學和組織化學的發展是分不開的,都建立在細胞學、組織學以及生物化學的基礎上。 細胞化學和組織化學的發展是分不開的,都建立在細胞學、組織學以及生物化學...
簡介 相關資料 參考資料從19世紀中期到20世紀初,關於細胞結構尤其是細胞核的研究,有了長足的進展。 在20~30年的時間裡,對於細胞質以及細胞器的形態有了相當深入的認識。 廣...
現在已可用多種方法加以鑑定和定量測定.核內較粗大濃縮的,鹼性染料深染的團...(karyopyknosis):染色質在核漿內聚集成緻密濃染的大小不等的團塊狀...的標誌,提示活體內細胞死亡(壞死).4.核內包含物...
基本內容無線免安裝超長待機三年GPS定位器 恒基科達GPS110
