介紹
(diffusion weighted imaging,DWI) DWI是目前惟一能夠檢測活體組織內水分子擴散運動的無創方法。
原理為射頻脈衝使體素內質子的相位一致,射頻脈衝關閉後,由於組織的T2弛豫和主磁場不均勻將造成質子逐漸失相位,從而造成巨觀橫向磁化矢量的衰減。除了上述兩種因素以外,我們在某個方向上施加一個擴散梯度場,人為在該方向上製造磁場不均勻,造成體素內質子群失相位,然後在施加一個強度與持續時間完全相同的反向擴散梯度場,則會出現兩種情況:在該方向上沒有位移的質子不會受兩次梯度場強的影響而失相位,而移動的質子因兩次梯度場引起的相位變化不能相互抵消,而失相位信號衰減。體素中水分子都存在一定程度的擴散運動,其方向是隨機的,而在擴散梯度場方向上的擴散運動將造成體素信號的衰減,如果水分子在敏感梯度場方向上擴散越自由,則在擴散梯度場施加期間擴散距離越大,經歷的磁場變化也越大,組織信號衰減越明顯。DWI通過測量施加擴散敏感梯度場前後組織發生的信號強度變化,來檢測組織中水分子擴散狀態(自由度及方向),後者可間接反映組織微觀結構特點及其變化。
特點:
1、DWI上組織信號強度的衰減主要因素:(1)擴散敏感梯度場的強度,強度越大組織信號衰減越明顯;(2)擴散敏感梯度場持續的時間,時間越長組織信號衰減越明顯;(3)兩個擴散敏感梯度場的間隔時間,間隔時間越長,組織信號衰減越明顯;(4)組織中水分子的擴散自由度,在擴散敏感梯度場施加方向上水分子擴散越自由,組織信號衰減越明顯。
2、b值對DWI的影響:DWI技術中把施加的擴散敏感梯度場參數稱為b值或稱擴散敏感係數。常用SE-EPI DWI序列中,b值=gGδ。(
3、DWI的方向性:DWI是反映擴散敏感梯度場方向上的擴散運動,為了全面反映組織在各方向上的水分子擴散情況,需要在多個方向上施加擴散敏感梯度場。如果在多個方向(6個以上方向)分別施加擴散敏感梯度場,則可對每個體素水分子擴散的各向異性作出較為準確的檢測,這種MRI技術稱為擴散張量成像(diffusion tensor imaging,DTI)。利用DTI技術可以很好地反映白質纖維束走向,對於腦科學的研究將發揮很大的作用。
4、擴散係數和表觀擴散係數
在DWI上組織信號衰減不僅由於水分子的擴散運動,水分子在擴散敏感梯度場方向上各種形式的運動(或位置移動)還將造成組織信號的衰減,如血流灌及其他生理運動等。因此利用DWI上組織信號強度變化檢測到的不是真正的擴散係數,會受到其他形式水分子運動的影響。為此,我們把檢測到的擴散係數稱為表觀擴散係數(apparent diffusion coeffecient,ADC)。計算組織的ADC值至少需要利用2個以上不同的b值,其計算公式如下: ADC= ln(SI低/SI高)/(b高-b低)。式中SI低表示低b值DWI上組織的信號強度(b值可以是零);SI高表示高b值DWI上組織的信號強度;b高表示高b值;b低表示低b值;ln表示自然對數。
DWI 的臨床套用
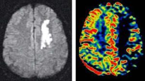
DWI在臨床上主要用於超早期腦缺血診斷的套用:急性腦缺血缺氧造成的主要是細胞毒性水腫,尤其是神經元/膠質細胞細胞毒性水腫,如急性腦梗死、早期壞死灶(未液化者)、缺氧缺血性腦病,在DWI上表現為高信號,與常規SE序列相比,能更早的發現梗塞區的信號異常。需要鑑別注意的是有些腦組織病變在DWI上也表現為高信號,如多發硬化的活動病灶、Wallerian變性,如髓鞘內(裂)水腫(神經髓鞘細胞水腫),進行性多灶性腦白質病,胺基酸代謝異常(如苯丙酮尿症等),透神經元性變性、軸索水腫及部分腫瘤、血腫、膿腫等。其他臟器也可行DWI檢查,但目前在這些方面的經驗還不多,需要進一步研究。
利用DTI技術進行的腦白質束成像不僅可用於腦科學的研究,在臨床上也能提供一些有價值的信息,如腫瘤對周圍白質束的影響、術前提示手術時應該避免損傷的重要白質纖維束等
其他解釋
Driving While Intoxicated 酒後駕駛
Disaster Welfare Information 災難福利的信息
Dual Wavelength Interferometer 雙波長干涉
Draw and Wall Ironing (metal forming process) 畫和牆(金屬成形過程中燙)
Dutch West Indies 荷屬西印度群島
Deal With It 對付它
Dudes With Instruments (band from Albuquerque, NM, USA) 用儀器(樂隊紈絝子弟,從阿爾伯克基NM、美國)
Descriptive Word Index (legal research) 描述性的單詞索引(法律研究)

