黑蒙性家族痴呆症 患者表現為漸進性失明、病呆和癱瘓,該病主要出現在猶太人群中。

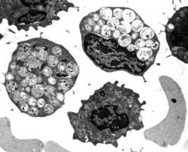
黑蒙性家族痴呆症,又稱台-薩氏綜合徵(Tay-Sachs diesease)。溶酶體缺少氨基己糖酯酶A(β-N-hexosaminidase),導致神經節甘脂GM2積累,影響細胞功能,造成精神痴呆,2~6歲死亡。
黑蒙性家族痴呆症 患者表現為漸進性失明、病呆和癱瘓,該病主要出現在猶太人群中。
家族黑蒙性白痴是一種遺傳病。患者缺乏某種酶(酵素),腦中脂肪物質聚集起來,以致腦功能逐漸喪失,終至死亡。東歐有猶太血統的人攜帶此病基因的尤多,所以此病在...
長生不老,派徐福東渡求仙,童女韓冬兒愛上郎中令蒙天放,違背始皇,被雙雙賜死。刑前,韓冬兒將徐福煉就的一顆長生不老金丹送入蒙天放口中,縱身火海。而蒙天放亦被鑄成秦俑千秋萬世守陵。這一切被記錄在竹簡上,直到民國時...
劇情簡介 分集劇情 演員表 角色介紹 原聲音樂劇情簡介 《畢打自己人》海報 深傳人殷賞 ( 毛舜筠 飾)在成為《潮》雜誌總編前與該雜誌社營業部主管賈素珊 ( 金燕玲 飾)因誤...
劇情簡介 分集劇情 演職員表 角色介紹 音樂原聲之情,幫許仙延醫治療痴呆症,李甫一口拒絕,反把許仙教訓一輪。大雄忍無可忍...,把她搶走,聲言要她賣身償夫債。許仙良知未泯,不欲白蛇蒙污,欲從流氓手上...
劇情簡介 分集劇情 演職員表 角色介紹 音樂原聲往日郎舅之情,幫許仙延醫治療痴呆症,李甫一口拒絕,反把許仙教訓一輪。大雄...是他妻子,把她搶走,聲言要她賣身償夫債。許仙良知未泯,不欲白蛇蒙污,欲...
劇情簡介 分集劇情 演職員表 角色介紹 音樂原聲幾類:台-薩氏綜合徵(Tay-Sachs diesease):要叫黑蒙性家族痴呆症,溶酶體缺少氨基已糖酯酶A(β-N-hexosaminidase...結核桿菌不產生內、外毒素,也無莢膜和侵襲性酶。但是菌體成分硫酸腦苷脂能抵抗胞...
溶酶體的酶 分類概述 按功能階段分類 功能作用 形成過程diesease):又叫黑蒙性家族痴呆症,溶酶體缺少氨基已糖酯酶A(β-N...。屬常染色體缺陷性遺傳病,患者多為小孩,常在兩周歲以前死亡...
