模式種
黃瓜花葉病毒(Cucumber mosaic virus)病毒特性
形態學
病毒粒子為等軸對稱的二十面體(T=3),無包膜,三個組分的粒子大小一致,直徑約29nm,易被磷鎢酸鹽降解,經醛類固定或用醋酸鈾負染後可顯示清晰的結構,有一個直徑約12nm的電子緻密中心,呈“中心孔”樣結構。RNA 1和RNA 2各包裹在一個粒子中,RNA 3和RNA 4一起包裹在一個粒子中,常存在衛星RNA分子。![]() | ![]() | ![]() |
提純的黃瓜花葉病毒,經戊二醛固定後用醋酸鈾負染色。 | 放大的黃瓜花葉病毒,示粒子具有電子緻密中心孔結構。 | 提純的番茄不孕病毒,經戊二醛固定後用醋酸鈾負染色。 |
理化特性
三種粒子的相對分子質量均為5.0~6.7 X 10^6,標準沉降常數S(20W)=98S,在氯化銫中的平均浮力密度為1.37g/cm^3,病毒粒子在低濃度的十二烷基硫酸鈉或高濃度的中性氯鹽中易裂解。核酸
三分子線形正義ssRNA,黃瓜花葉病毒的RNA 1長3357nt,RNA2長3050nt,RNA 3長2216nt,RNA 4為RNA 3的亞基因組RNA,長1000nt。核酸約占病毒粒子重量的18%。蛋白質
外殼蛋白由一種多肽組成,分子質量為24kDa。基因組
三分體基因組,每個病毒粒子包裹有單分子的RNA 1或RNA 2,或者
抗原特性
病毒的免疫原性較弱,可用甲醛固定以增強免疫原性。屬內病毒之間的血清學關係較遠。細胞病理
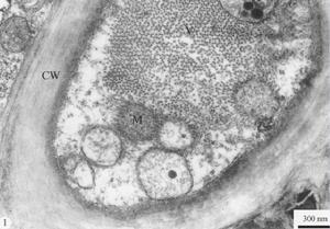
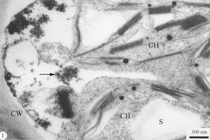
病毒存在於寄主植物的所有組織中,引起超微結構顯著病變。病毒粒子主要分散在細胞質和液泡中,運用RNA酶消解核糖體後容易辨別,高倍放大能看到“中心孔”結構,粒子直徑比負染時要小一些。病毒粒子有時形成不同大小的聚集體,一些聚集體有膜包圍,有的株系在細胞質和液泡中形成結晶狀排列,甚至在中央液泡內可觀察到大塊呈多邊形或不規則形的病毒結晶體,外周無膜,大的病毒結晶體在光鏡下也能觀察到。有的株系病毒粒子也存在於細胞核中,但核的變化不大。病變的細胞膜結構增生現象明顯,主要是內質網增生,有時產生較大的膜狀體和髓鞘樣結構,在液泡膜邊緣可見到一些內含纖細絲狀物質的圓形或卵圓形小泡突入液泡中,可能是病毒RNA複製的場所。細胞質內液泡增多,線粒體變得腫脹,有的株系引起葉綠體畸形,片層結構發育不良,排列紊亂,病變嚴重的細胞空泡化,細胞器解體。在一些薄壁細胞的細胞壁胞間連絲中觀察到完整的病毒顆粒,這可能是病毒在細胞間轉運的方式。![]() | ![]() |
感染黃瓜花葉病毒的心葉菸葉肉細胞,示大量病毒粒子散布在細胞質中。 | 感染黃瓜花葉病毒的普通菸葉肉細胞,示結晶狀排列的病毒粒子。 |
![]() | ![]() |
在心葉菸葉肉細胞液泡中的黃瓜花葉病毒粒子結晶體。 | 外形呈五邊形的病毒粒子結晶體。 |
![]() | ![]() |
感染黃瓜花葉病毒的心葉菸葉肉細胞,示在細胞質中的病毒粒子、大小液泡結構和液泡膜邊緣的小泡(箭頭)。 | 黃瓜花葉病毒粒子散布在番茄果肉細胞質內,一些病毒粒子處在細胞壁胞間連絲中(箭頭)。 |
![]() | ![]() |
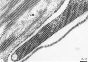
感染黃瓜花葉病毒的普通菸葉片細胞,示篩管中積累的病毒粒子。 | 嚴重病變細胞中的葉綠體瓦解,片層結構紊亂,空泡內含病毒粒子(箭頭)。 |
![]() | ![]() |
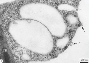
感染黃瓜花葉病毒的普通菸葉片細胞,示瓦解的細胞器和不規則的病毒粒子聚集體(箭頭)。 | 葉綠體產生空泡結構,內含病毒粒子。CH,葉綠體;CW,細胞壁;M,線粒體;S,澱粉粒;V,病毒粒子。 |













