

相關詞條
-
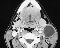
鰓裂瘺管
鰓裂瘺管(branchial fistula)為鰓囊、鰓溝相通或鰓溝不消失而生成鰓裂瘺管的外瘺口及全程位於頸部,故又稱頸側瘺管。
病因 分類 臨床表現 診斷 鑑別診斷 -
單鉤鰓裂蟲
ae中文屬名:鰓裂蟲屬拉丁屬名:Bran Verh. Ver.
簡介 原始文獻 生存環境 主要分布 資料來源 -
鉤毛鰓裂蟲
"Hist. n at.
簡介 原始文獻 生境 主要分布 資料來源 -
尖頭七鰓鯊
尖頭七鰓鯊,也是六鰓鯊目中的一種,鰓裂多達7對,為主要特徵。最大體長有1.4米。棲息深度在1000米左右,除東北太平洋外,幾乎全球熱帶海域均有分布。主要...
簡介 生物特徵 分布地域 生活習性 經濟價值 -
鰓
鰓是由咽部後端兩側發生而成的。多數水生動物的呼吸器官,用來吸收溶解在水中的氧。魚鰓主要生在頭部兩側。鰓發生病變魚類呼吸不暢。必然影響魚類的正常代謝和生長...
簡介 詳細字義 (2) 魚鰓的結構 功能 -
腸鰓綱
腸鰓綱動物主要分布在淺海,特別在潮間帶,在幾百米深處也可發現。總共約有70餘種。大多數種類為泥沙中穴居,或在石塊下生活。
腸鰓綱(Enteropneusta) 生殖與發育 -
灰六鰓鯊
灰六鰓鯊(學名Hexanchus griseus)是軟骨魚綱板鰓亞綱六鰓鯊目、六鰓鯊科、六鰓鯊屬的一種。行動緩慢,棲息底層。以魚類和甲殼動物為食。
簡介 分布區域 形態特徵 繁殖生育 生活習性 -
瓣鰓綱
瓣鰓綱(英文名:Lamellibranchia)為軟體動物門的一個綱,約有2萬種。體具兩片套膜及兩片貝殼,故稱雙殼類(Bivalvia);頭部消失,稱無...
概述 主要特徵 分類

