病因
鰓裂囊腫1.鰓器上皮細胞的殘留。
2.鰓溝閉合不全。
3.分隔鰓溝與咽囊的閉膜破裂。
4.鰓器的發育異常。
5.頸竇存留。
以上幾種因素也可同時存在。還有作者因囊腫標本大部分有淋巴組織而提出“良性淋巴上皮囊腫學說”,認為是一種囊性淋巴結病變或稱“良性淋巴上皮囊腫”。
疾病分類
根據來源不同,分為第一鰓裂囊腫、第二鰓裂囊腫、第三鰓裂囊腫和第四鰓裂囊腫。其中第三、第四鰓裂囊腫較為少見。
病理生理
囊腫的囊壁薄厚不等,含有淋巴樣組織,通常多覆有復層鱗狀上皮,少數被以柱狀上皮。囊壁內淋巴樣組織炎症可產生纖維化,使囊壁增厚。
臨床表現
甲狀舌管囊腫與鰓裂囊腫皆為出現在頸部或面側的隆起性軟性腫塊,前者較小(約蠶豆大小),發生在舌骨水平的頸中線,能隨吞咽上下活動;後者常較大(約雞蛋大小)多見於頸側部的動脈三角區,常有波動感。
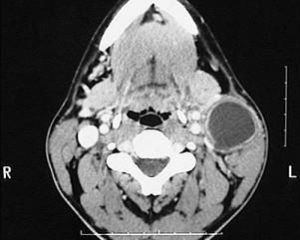
檢查
鰓裂囊腫不僅可以準確定位,而且對病變的範圍、大小、是否合併感染等都能準確診斷。鰓裂囊腫通常表現為沿胸鎖乳突肌上、下走行,類圓形或橢圓形軟組織塊影,中心密度低,不強化,但囊壁(邊緣)可強化,境界清楚。若病變位於頸前三角區,第二鰓裂囊腫最多見。若囊壁增厚,邊緣不光滑,強化掃描可見囊壁明顯強化,與周圍組織結構分界不清晰,囊內容物密度增高,提示囊腫有感染。
2.MRI檢查
該檢查同CT一樣能夠提供病變部位及範圍等信息。根據其囊內容物性狀(蛋白含量)不同而呈T1WI和T2WI不同信號值。一般在T1WI呈均勻低信號、邊界清楚,T2WI呈均勻高信號;囊內信號升高或囊壁增厚,周圍組織間隙欠清,T1WI呈稍低信號、T2WI呈稍高信號,增強後囊壁有強化,提示感染。
3.B超檢查
多於胸鎖乳突肌上1/3深面及前緣,相當於下頜角水平的頸動脈三角內探及圓形腫塊。顯示內部無回聲,後方回聲增強;若囊腫合併感染時,囊內呈低弱回聲暗區,分布不均。繼發感染時,囊壁增厚,毛糙。
4.針吸穿刺
對孤立性囊腫或合併囊腫的瘺管可以採用針吸穿刺進行病檢。既可了解腫塊是否為囊性,又可通過抽出的內容物來判斷性質。囊腫的內容物多樣化,可為乳白色,灰白色,黃褐色,豆渣樣,稀薄或黏稠,含或不含膽固醇結晶。
通常穿刺可抽出黃白色或灰黃色黏液或濃稠上皮樣分泌物,病檢常可見膽固醇晶體,如鏡下見到鱗狀上皮及其角化物或柱狀上皮即可確診。
治療
如有急性感染或膿腫形成,須引流膿腫,控制感染感後擇期手術。
1.非手術治療
採用一些腐蝕性藥物如高濃度的三氯醋酸、碘酒等燒灼瘺管或電灼,也可注射硬化劑試圖使得瘺管或囊腫封閉,一般認為此方法效果不穩定,不能根治,且甚容易損傷周圍的血管、神經,臨床較少套用。
2.手術治療
目前認為,完整切除囊腫及瘺管是惟一有效的根治方法。
對於無症狀的患者,可暫觀察。若反覆感染者,應感染控制後,最好於下次感染髮作前或瘢痕形成之前進行;切口的選擇應儘量利於全部病變的切除。孤立性囊腫完整切除不困難,但勿使囊腫破裂,如破裂須徹底切除囊壁,並一併切除其周圍的筋膜等結締組織,同時應充分沖洗創面,以免有脫落的上皮殘餘。瘺管或囊腫合併瘺管的切除較難。關鍵在於徹底切除囊壁包括內外瘺口在內的全部上皮組織。
疾病預後
預後較好,極少出現惡變。但是鰓裂囊腫或鰓裂瘺術後易復發。

