簡介
骨溶解症骨溶解症在國際上極其罕見,病因和發病機理尚不清楚,臨床見過的病因只有三種:遺傳、腫瘤和輻射。該病無種族及性別差異,多發於5—25歲的兒童和青少年,目前(2013年4月)全球僅發現約200例。病人患部肢體柔軟呈海綿狀,不能抗地心引力。勉強抬起來患肢,則患肢彎曲無支持力。鏡下見有豐富的毛細血管纖維組織增生,呈血竇狀,其中有淋巴細胞浸潤。但不象原發性血管瘤,有些象動靜脈瘺的毛細血管增生。
症狀
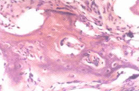
骨溶解症均以局部疼痛為主,部位集中於坐、恥骨及鎖骨遠端,影像學表現為局部骨溶解,經保守治療後症狀均能緩解,原骨溶解處均出現不同程度的骨重建,但骨重建遲於臨床症狀的緩解。所有病例病理顯示纖維軟骨組織增生,滑膜充血、增生,骨壞死,軟骨下骨微骨折,破骨細胞活躍,可見骨組織化生和部分纖維化,發病男性多於女性。
發病部位多見於肩胛骨、鎖骨、肱骨、胸椎及肋骨。其次可見於骨盆、胸椎及腰椎,亦可見於肱骨。發生於尺骨、橈骨、腕骨及掌指骨者較少見,脛骨、腓骨及趾骨者也少見,有時亦可發生於上、下頜骨。病變發生於胸椎者可引起病理骨折合併截癱導致死亡。
病理
病骨大量吸收,被增生的血管組織和纖維組織代替,呈血管瘤樣表現。
X線檢查
在病變部骨質呈大塊溶骨性骨質吸收,骨幹變細,皮質變薄。大塊骨質吸收後呈現骨質缺損,殘端呈尖削狀。有殘存疏鬆的萎縮骨,無新生骨,無骨膜反應,無軟組織腫塊。
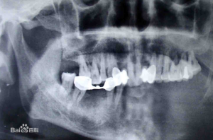
慢性骨髓炎X線片常示有死骨形成,病變多位於下頜體和下頜支,很少同時累及。而溶骨症X線片示無死骨形成,病變部位多同時累及下頜體和下頜支。
與神經性關節病區別
移骨治療2、神經性關節病病變部位發生於與神經損傷一致的四肢關節;而骨溶解症多發生於鎖骨、肩胛骨及頜骨、顱骨,也可見於骨盆,雖有四肢骨但相對少見,與神經病變無關。
3、神經性關節病的X線表現分3 型:吸收型、增生型及混合型,而且以增生型及混合型更多見,多數病例表現骨質增生明顯,伴有骨膜反應,關節畸形,關節面不規則、塌陷,關節間隙變窄。而骨溶解症X線表現:早期病變多侵犯單一骨骼,隨著病程發展病變範圍逐漸擴大,直至同一解剖部位的骨骼全部溶解吸收,並發生病理性骨折。早期骨皮質下及髓腔內有透亮區,繼而皮質骨向中心皺縮,最後骨質完全溶解破壞。受累骨質無骨膜反應,無新生骨形成。
治療
骨溶解症的病理學表現1.植骨術:Butler的一例股骨大塊骨質溶解症經植骨後,植骨成活。
2.假體置換術:Poirier的一例肱骨大塊骨質溶解症,經人工肱骨置換術病情改進。
3.支架保護。
4.截肢。
5.對合併截癱,發生血性胸水及乳糜胸者,可穿刺抽液,同時治療其它合併症。
6.亦有試行放射治療者,但療效不肯定。
臨床特點
發病男多於女,30歲以下病人,尤以兒童和青年多見。可侵犯一塊骨或多塊骨。病變部位可有頑固性疼痛。實驗室檢查無異常。X線主要表現為溶骨性破壞,無骨膜反應和軟組織腫塊。已長骨和胸廓諸骨多見,可穿越關節發展。
病例
本病國外有散在病例報導,中國國內報導較少。
1996年,報導1例僅有骨損害,卻無系統損害和皮膚損害。
2001年,報告1例下頜骨溶骨症,拔牙後下頜骨呈進行性慢性吸收,並發生病理性骨折。
2013年4月17日,媒體報導蕪湖王先生9年前手指漸漸縮短,無明顯疼痛。近兩年出現右面頰凹陷,X光片檢查發現其手指骨及右下頜骨下頜支缺失,但一直未得到明確診治。2013年3月下旬,王先生通過北京協和醫院及安徽醫科大學的知名專家網際網路會診最後確診。

