簡介
惡性纖維組織細胞瘤是一種很少見的腫瘤,它的特點是兼有組織細胞性和纖維性成分。組織細胞源的良性或惡性、骨或軟組織中腫瘤的概念是基於這樣一種構想:組織細胞可以作為兼性纖維組織母細胞(facultativefibroblast),或者說原始的間質細胞可以發展為纖維母細胞和組織細胞這兩種細胞。
病因
(一)發病原因
惡性纖維組織細胞瘤,可以是原發的,也可以是繼發於骨梗死、Paget病或是放射治療之後。這表明骨壞死或良性的慢性修復過程中,豐富的單核和多核組織細胞和纖維母細胞的增殖是造成繼發惡性腫瘤的原因。
(二)發病機制
肉眼觀察腫瘤在骨內破壞廣泛,晚期侵蝕骨皮質累及鄰近軟組織,瘤體本身呈灰白色,魚肉狀,可因出血壞死的不同程度呈各種顏色。鏡下所見主要成分有兩種即腫瘤性成纖維細胞與間變的組織細胞,前者為梭形細胞,肥碩梭形,細胞間有數量不等的膠原纖維,細胞有不同程度異形性及核分裂相,細胞排列緻密,常可見具特徵性的花瓣狀(storiformpattern)。組織細胞較肥大,呈圓形或卵圓形,胞質豐富嗜酸性,有吞噬功能,吞食脂類物質,胞質內可呈顆粒狀、泡沫狀或空泡狀,細胞核圓形、卵圓形、腎形或多邊分葉狀,核仁清楚,組織細胞的異形性十分明顯,核分裂多見,其他成分可見瘤巨細胞、多核瘤巨細胞、Touton巨細胞、黃色瘤細胞及組織壞死、鈣化、黏液變性、膠原透明變性、淋巴細胞浸潤和合併血管瘤成分等。
MFH的電鏡所見纖維母細胞呈卵圓形或梭形,胞質突起,含有大量溶酶體,並有高爾基器,粗面內質網及線粒體,分化差者就較少,細胞核圓形、卵圓形或不規則形,常有雙核,核膜下有大量異染色質。組織細胞為卵圓形或不規則形,細胞表面伸出偽足,有絨毛狀皺褶,還有高爾基器、粗面內質網及線粒體,並有多量脂滴及糖原顆粒。
症狀
骨惡性纖維組織細胞瘤男性發病多於女性,其比例約為3∶2。患者發病年齡多為50~60歲。
1.症狀與體徵骨惡性纖維組織細胞瘤發病較緩慢,通常病史為幾個月至數年。疼痛和逐漸長大的腫塊為常見臨床症狀。局部可有壓痛。如關節活動受限,則有可能是腫瘤侵及關節。病人突然發生劇痛,可能為病理性骨折,病理性骨折的發生率可占全部病人的30%~50%。
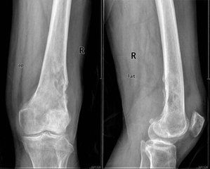
2.好發部位骨惡性纖維組織細胞瘤在骨骼上的分布與骨肉瘤類似。主要侵及長管狀骨骨端(約為全部病例的75%)。下肢骨較上肢骨更容易發病,其比例約為6∶1。股骨(約45%)、脛骨(20%)、肱骨(9%),是腫瘤最常見部位。髂骨發病約占10%,其他發病部位是顱骨和面骨(4%)、肋骨(3%)。腓骨、脊柱、肩胛骨和鎖骨是不常發病部位。侵及手、足小骨者罕見。
在長管狀骨中,腫瘤位於乾骺端,且經常伸展到骨骺或骨幹,或兩者兼有之。膝關節周圍骨的發病率約為在長管狀骨的全部腫瘤的50%。
骨膜下和一骨多發病灶或多骨多發病灶在骨惡性纖維組織細胞瘤中是罕見的。
MFH的組織學診斷十分重要,是確診的依據,診斷標準如下:①同時有腫瘤性成纖維細胞和組織細胞兩種成分。②梭形細胞特殊的“花瓣”狀或“車輪”狀排列。③多核瘤巨細胞的存在。④炎性細胞,特別是淋巴細胞浸潤。
治療
(一)治療
惡性纖維組織細胞瘤經活檢證實後應做根治性手術。手術中應注意必須將腫瘤附近的淋巴結一併切除,因該腫瘤不同於骨科其他惡性腫瘤,易於向附近淋巴結轉移。對惡性纖維組織細胞瘤術前及術後可採用化療作為輔助治療,方案同骨肉瘤。在有效的化療控制下可以做局部廣泛切除,保留肢體。
(二)預後
國外部分學者報導的5年存活率均較其骨惡性腫瘤略高,Dahin的28例中有18例存活超過5年,Huvos材料中5年存活率67%,但大部分作者報導均僅33%~36.5%,是預後很差的惡性腫瘤。

