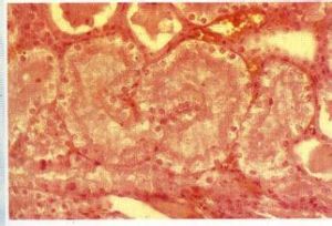
介紹是組織細胞最輕微的最易發生的一種細胞變性。說明其特點是變性的細胞腫大,在其胞漿內出現微細的淡紅色顆粒,核淡染。由於發生顆粒變性的實質器官如肝、腎、心外觀腫脹、混濁,呈土黃色,似沸水燙過一樣,故過去有混濁腫脹或濁腫之稱。