定義
關節退行性變一般來說,人體過了30歲以後,各處關節,如膝關節、髖關節、腰椎頸椎等脊柱關節就要發生退化,關節韌性和彈性都將減弱,自然地,包裹其外的關節囊的生理平衡將受到影響,而人體為了適應這些內環境的變化,會自動調整自身狀態,建立新平衡,在退化的關節表面邊緣處,代償性地長出新的骨骼,即骨質增生,也就是通常說的骨刺。中老年人的關節在生長過程中出現骨刺,往往就是源於這種自我代償性反應。
當骨刺增長到自身不能調節的時候,骨刺周圍的軟組織就會充血、水腫、炎症、粘連、壓迫神經及血管,引起一系列的臨床病症,如軟骨凹凸不平、關節縫隙狹窄、軟骨磨損缺失,這就是關節退行性變。
多發部位
關節退行性變發生在不同的部位就引起不同的症狀。
最常發生的部位應該是膝關節。膝關節承受了人體的大部分的重量,而且位置淺,活動量大,特別是在活動過程中由於關節不穩,容易引起損傷。另外一個原因是由於中老年人的內分泌系統功能減弱,關節營養來源的的滑液分泌隨之減少,容易出現骨質疏鬆,關節軟骨變軟變薄,承壓能力減低,關節軟骨磨損加劇,於是關節軟骨面出現反應性增生,形成骨刺。
腰椎、頸椎發生退行性變也很常見。如果出現腰痛、坐骨神經痛、下肢疼痛麻木,則說明腰椎關節退行性變的可能性大,而如果感到頸、肩、背、上肢酸痛麻木或脹痛,則是頸椎發生了病變壓迫了神經根。
臨床表現
關節退行性變基本上發病緩慢,在中老年肥胖女性中常見,並常伴有勞損病史;關節活動時感到疼痛,其特點是初期為發作性疼痛,後改為持續性疼痛,勞累後加重,上下樓梯時疼痛明顯;關節活動受限,跳跑蹲跪時更加明顯,關節活動時伴有摩擦聲和彈響聲。
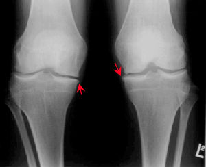
X線檢查:正位片顯示關節間隙變窄,關節邊緣硬化,有不同程度的骨刺形成。
實驗室檢查:血、尿常規化驗正常,血沉正常,抗O及類風濕因子陰性和關節液為非炎性。
治療
1.休息 給退化關節減少壓力,急性發作期內最好把患病關節放在床上休息,以便關節囊和韌帶鬆弛,以減少關節軟骨的壓迫。肌肉不平衡可引異常大的應力集中於關節的一側,大大地加重了關節的退化過程,所以平常應保持良好的姿勢,避免不利的力學體位。
2.運動和體操 為了防止肌肉萎縮,在不負重的情況下,每天幾次給關節施以全範圍的運動,但須避免劇烈的運動,否則將導致關節面明顯受壓,加劇病情。
3.理療 包括熱敷、按摩、牽引、功能鍛鍊(主、被動運動),可以促進關節部位血液循環,緩解病情惡化,改善和平衡肌肉在關節上的作用力,促進恢復。
4.藥物治療 使用藥物可止痛和抗炎,但並不能制止病理過程發展。但考慮到毒副作用,必須小心用藥。
5.補充代替醫療 所謂代替醫療,指的是在傳統西醫之外,並且其功效可以代替或補充西醫作用的療法。關節退行性變方面最引人矚目是天然鋸峰齒鮫軟骨粉。上世紀80年代開始,利用天然鋸峰齒鮫軟骨粉來恢復人體已退化的關節軟骨,成為關節退行性變治療的新嘗試。現在在歐洲,軟骨粉萃取物已經被認定為關節炎藥品,美國OAM(替代醫療事務局)也把鋸峰齒鮫軟骨粉當作代替醫療的一環進行研究和普及,而日本則採用百傲鯊鋸峰齒鮫軟骨粉作為代替醫療的一環,廣泛運用於實際臨床並取得顯著成效。缺點是選材精細,工藝要求高,價格相對昂貴。
6.手術治療 包括微創手術以及病情後期的關節置換手術。微創手術旨在消除腐蝕關節面的關節內病因,通過小創口進入關節內部,或切除部分軟骨,或磨削粗糙的軟骨表面,或清理關節腔。而關節置換指用人工製造的關節代替自身的關節,屬於最後的迫不得已的選擇。因為兩者對人體都有不同程度的破壞性,所以保守療法以及重視自然治癒力的補充替代醫療(上述)近年得到較廣泛推崇。
注意事項
1.肥胖患者應注意節食,以便減輕關節負荷。
2.患者應主動進行關節功能鍛鍊,以改善關節的活動範圍及加強肌肉力量。
3.關節腫痛嚴重者應臥床休息,避免超負荷的活動與勞動,以減輕關節的負擔。

