定義
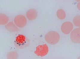
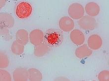
鐵粒幼細胞 正常幼紅細胞(主要是晚幼紅細胞)的細胞核周圍可見到1~5個呈藍色的細小鐵顆粒。含有鐵顆粒的幼紅細胞稱為鐵粒幼細胞。
在油浸鏡下,連續計數100個幼紅細胞,記錄鐵粒陽性的幼紅細胞數,即為鐵粒幼細胞所占的百分率。
鐵粒幼細胞 需同時注意細胞內的鐵粒數目、大小、染色深淺和排列。如含粗大深染的鐵粒在10個以上,並環繞細胞核排列超過核周徑2/3以上者,稱為環狀鐵粒幼細胞。
意義
用於判斷骨髓對鐵的利用情況。

正常幼紅細胞(主要是晚幼紅細胞)的細胞核周圍可見到1~5個呈藍色的細小鐵顆粒。含有鐵顆粒的幼紅細胞稱為鐵粒幼細胞。
鐵粒幼細胞 正常幼紅細胞(主要是晚幼紅細胞)的細胞核周圍可見到1~5個呈藍色的細小鐵顆粒。含有鐵顆粒的幼紅細胞稱為鐵粒幼細胞。
在油浸鏡下,連續計數100個幼紅細胞,記錄鐵粒陽性的幼紅細胞數,即為鐵粒幼細胞所占的百分率。
鐵粒幼細胞 需同時注意細胞內的鐵粒數目、大小、染色深淺和排列。如含粗大深染的鐵粒在10個以上,並環繞細胞核排列超過核周徑2/3以上者,稱為環狀鐵粒幼細胞。
用於判斷骨髓對鐵的利用情況。
遺傳性鐵粒幼細胞貧血患者大多為男性,常染色體遺傳的家族則女性亦可患病。X伴性遺傳和常染色體遺傳的臨床特點相似。雖為遺傳性疾病,除少數典型病例於出生後或嬰...
概述 疾病病因 發病機制 臨床表現 診疾病斷繼發性鐵粒幼細胞性貧血是由多種藥物、毒物及某些疾病抑制血紅素的合成而導致本病。
繼發性鐵粒幼細胞性貧血簡介 繼發性鐵粒幼細胞性貧血發病原因鐵粒幼細胞性貧血(sideroblastic anemia) 指由於血紅素合成障礙及鐵利用不良而導致的貧血。其特徵為骨髓幼紅細胞增生,伴大量環形鐵粒幼細...
鐵粒幼細胞性貧血 發病原因鐵粒幼細胞性貧血 (簡稱SA)是一組鐵利用障礙性疾病。特徵為骨髓中出現大量環狀鐵粒幼紅細胞,紅細胞無效生成,組織鐵儲量過多和外周血呈小細胞低色素性貧血。
內容 配圖 所屬分類鐵粒幼細胞性貧血是一組鐵利用障礙性疾病。特徵為骨髓中出現大量環狀鐵粒幼紅細胞,紅細胞無效生成,組織鐵儲量過多和外周血呈小細胞低色素性貧血。貧血重者可酌情...
疾病簡介 臨床表現 診斷鑑別 疾病治療中毒性鐵粒幼細胞性貧血,是化學毒物引起血紅素合成障礙和鐵利用不良所致的低色素性貧血,具有骨髓幼紅細胞有環形鐵粒及無效性紅細胞形成,血清鐵增高等特點。
鐵粒幼細胞貧血發生的機理是血紅素合成障礙和紅細胞無效性生成。 遺傳性鐵粒幼細胞貧血分為:①X染色體伴性的;②常染色體隱性遺傳的。 遺傳性鐵粒幼細胞貧血的...
病理介紹維生素B6反應性鐵粒幼細胞貧血驚厥,神經病變,舌炎和皮炎。
