臨床症狀
肺出血型肺出血型。敗血症出現3~5日,開始咳嗽,痰帶血絲。患者面色蒼白,心慌煩躁,呼吸、心率加快,肺濕囉音進行性增多,此為肺大出血先兆。數小時內可發展至面色極度蒼白、唇發紺、肺滿布濕囉音。咯血頻作,若未能控制,可發生口鼻大量涌血,呼吸困難或因呼吸道為血塊梗阻而窒息。③黃疸出血型。發病3~6病日,開始出現黃疸,肝腫大伴壓痛。黃疸於10病日左右達高峰,重者可發生肝壞死。重症常有鼻衄、皮膚黏膜出血、嘔血、便血、尿血、陰道出血等。尿中常見細胞、蛋白、管型。重者尿少、尿閉,發生尿毒症、酸中毒。④腦膜腦炎型。發病4~7日,出現劇烈頭痛、嘔吐、頸項強直、克氏征陽性。腦脊液細胞數稍增多,蛋白輕度增加,可分離出鉤體。少數重症患者呈現腦炎症狀,發生昏迷、驚厥,甚至循環、呼吸衰竭
病理改變
肺臟 肺部的主要病變為出血,以瀰漫性出血最為顯著。是人體對毒力強、數量多的鉤體所引起的全身性強烈反應,有時類似超敏反應。肺瀰漫性出血的原發部位是毛細血管,開始呈少量點狀出血,後逐漸擴大,融合成片或成團塊。組織學檢查可見到肺組織毛細血管完整,但極度充血、淤血以致溢血(並未見到明顯血管破裂現象)。支氣管腔和肺泡充滿紅細胞,部分肺泡內含有氣體,偶見少量漿液滲出。肺水腫極少見。肺出血呈瀰漫性分布,胸膜下多見。超微結構發現大部分肺泡壁毛細血管微結構清晰,可見少量內皮細胞原質呈支狀突起;有的線粒體腫脹,變空及嵴突消失。在變性的內皮細胞內有時可見變性的鉤體;偶見紅細胞從毛細血管內皮細胞間溢出。肺比正常重1~2倍,外觀呈紫黑色。切面呈暗紅色。切開時流出暗紅色或泡沫狀血性液體,氣管或支氣管幾乎全為血液充滿。
當肺內淤積大量血液時,使血管壁持久缺氧,如果再合併心肺功能障礙,更促進肺瀰漫性出血發展
肺出血型實驗室檢查
⑴血象:血白細胞總數及中性粒細胞增高。
⑵病原分離:取早期病人血液接種柯索夫培養基,分離鉤體。
⑶血清學檢查:①凝集溶解試驗,效價1∶400以上為陽性;雙份血清效價呈4倍以上增長者可確診。②乳凝試驗、反向乳凝試驗可作快速診斷
臨床分型
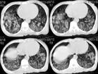
⑴普通肺出血型:臨床與鉤體血症類似,伴有不同程度咯血或血痰,胸部體徵不顯,X片顯示輕度肺部病變(肺部紋理增加),如不及時治療,也可轉為肺瀰漫性出血型。
⑵肺瀰漫性出血型(肺大出血型):在鉤體侵入人體後,經過潛伏期和短暫的感染早期後的2~3天,突然出現面部蒼白,以後心率和呼吸增快,心慌,煩躁不安,最後進入循環與呼吸功能衰竭。雙肺布滿濕羅音,咯血進行性加劇,但也可無咯血。主要為廣泛的肺臟內部溢血,是近年來無黃疸型鉤體病引起死亡的常見原因。X片顯示雙肺廣泛瀰漫性點片狀軟化陰影。病人在臨終時大量鮮血從口鼻湧出,直至死亡。如能及時套用青黴素和氫化考的松治療,多數患者可獲轉機,3~5天內自覺症狀改善,體徵亦迅速緩解,肺部病灶多在2~4天內可完全消散。據華西醫科大學對本型的研究,認為這是由於機體對病原體及其有毒物質的超敏反應。其理由是:①臨床上來勢猛,恢復也迅速,肺部病灶消失快,沒有血管破裂現象。提示大出血為充血、瘀血和溢血的嚴重後果;②激素治療有特效;③凝血機制正常,沒有DIC現象,不需要抗凝治
肺瀰漫性出血型分期
①先兆期:患者面色蒼白(個別也可潮紅),心慌,煩躁。呼吸、心率進行性加快,肺部逐漸出現羅音,可有血痰或咯血,X線胸片呈紋理增多,散在點片狀陰影或小片融合。
②出血期:如未及時治療,可在短期內面色轉極度蒼白或青灰,口唇發紺,心慌,煩躁加重,呼吸、心率顯著加快,第一心音減弱或呈奔馬律,雙肺濕羅音逐漸增多,咯血不斷,X線胸片點片狀陰影擴大且大片狀融合。
③垂危期:若未能有效地控制上述症狀,患者可在短期內(1~3小時左右)病情迅速進展,由煩躁不安轉入昏迷。喉有痰鳴,呼吸不整,極度發紺,大口鮮血連續不斷地從口鼻湧出(呈泡沫狀),心率減慢,最後呼吸停止。
鑑別診斷
1.腎功能衰竭型 臨床症狀以腎臟損害較突出,表現為蛋白尿、血尿、管型尿、少尿、尿閉,出現不同程度的氮質血症、酸中毒。氮質血症一般在病期第3天開始,7~9日達高峰,3周后恢復正常。本型無黃疸,故易與黃疸出血型的腎功能衰竭鑑別。嚴重病例可因腎功能衰竭而死亡
2.腦膜腦炎型 在散髮型無菌性腦膜炎病例中,鉤體病腦膜炎型約占5%~13%。臨床上以腦炎或腦膜炎症狀為特徵,劇烈頭痛、全身酸痛、嘔吐、腓腸肌痛、腹瀉、煩躁不安、神志不清、頸項強直和陽性的克氏征等。在免疫期前腦脊液中細胞數可以不高,一般10~幾百/mm3,偶爾可達1000/mm3;蛋白反應呈弱陽性;糖和氯化物往往正常。臨床上類似於無菌性腦膜炎
3.黃疸出血型 原稱外耳病,多由黃疸出血血清型鉤體引起。臨床以黃疸出血為主,病死率較高。本型可分為3期,即敗血症期、黃疸期和恢復期。於病後3~7天出現黃疸,80%病例伴有不同程度的出血症狀,常見有鼻衂、皮膚和黏膜瘀點、瘀斑、咯血、尿血、陰道流血、嘔血,嚴重者消化道出血引起休克而死亡,少數患者在黃疸高峰時同時出現肺大出血,但不知無黃疸型的肺大出血急劇兇險。本型的肝臟和腎臟損害是主要的,高膽紅素血症,一般總膽紅素超過正常5倍以上,而AST很少超過5倍以上。70%~80%的病例累及腎臟,腎臟變化輕重不一,輕者為蛋白尿、血尿、少量白細胞及管型。病期10天左右即趨正常。嚴重者發生腎功能不全、少尿或無尿、酸中毒、尿毒症昏迷,甚至死亡。腎功能衰竭是黃疸出血型常見的死因,約占死亡病例的60%~70%。本型20%~30%的病例尚可出現腦膜刺激症
4.流感傷寒型 多數患者以全身症狀為特徵。起病急驟,發冷,發熱(38~39℃)頭痛,眼結膜充血,全身肌痛尤以腓腸肌為顯著,並有鼻塞、咽痛、咳嗽等。臨床表現類以流行性感冒、上呼吸感染或傷寒。無黃疸,也無中樞神經系統症狀,腦脊液正常,肺無明顯病變。是早期鉤體血症症狀的繼續。自然病程5~10天。也有少數嚴重病人,有消化道、皮膚、陰道等處出血;部分嚴重病人以胃腸道症狀為主,如噁心、嘔吐、腹瀉。可有低血壓或休克表現
治療措施
一)對症治療和支持療法 早期應臥床休息,給予高熱量、維生素B和C以及容易消化的飲食;並保持水、電解質和酸鹼平衡;出血嚴重者應立即輸血並及時套用止血劑。肺大出血者,應使病人保持鎮靜,酌情套用鎮靜劑
二)抗菌治療 為了消滅和抑制體內的病原體,強調早期套用有效的抗生素。如治療過晚,臟器功能受到損害,治療作用就會減低。青黴素應早期使用,有提前退熱,縮短病期,防止和減輕黃疸和出血的功效,首次劑量為40萬u,以後治療劑量每日120~160萬u,分3~4次肌肉注射,避免發生赫氏反應,兒童劑量酌減或與成人基本相同。療程7天,或體溫正常後2~4日。重症病例劑量加大至每日160萬~240萬u,分4次肌注,合用腎上腺皮質激素。其他抗生素如四環素、慶大黴素、鏈黴素、紅黴素、氯黴素、多西環素(強力黴素)、氨苄西林等亦有一定療效。
三)後發症治療 一般多採取對症治療,可取得緩解,重症患者可用腎上腺皮質激素能加速恢復
預後
本病因臨床類型不同,病情輕重不一,因而預後有很大的不同。輕型病例或亞臨床型病例,預後良好,病死率低;而重症病例如肺大出血、休克、肝腎功能障礙、微循環障礙、中樞神經嚴重損害等其病死率高。本病的平均死亡率10%左右。如能在起病2日內套用抗生素和對症治療,則病死率可降至6%以下。
