“鉛線”
鉛線——為鉛中毒特徵性體徵。
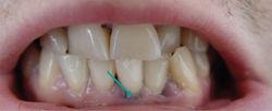
鉛中毒在口腔里的特徵性表現是:沿著牙齦乳頭邊緣上發生一條約1mm 的藍灰色或藍黑色“鉛線”,口腔不清潔的人這條鉛線特別明顯。這種色素也可以發生在口腔局部黏膜上形成較大的鉛斑。
鉛線X攝片檢查也可在尺橈、股骨、脛腓骨長骨端見有密度較高的帶狀緻密陰影——鉛線。
鉛線,是一種鉛中毒後在牙齒上出現的症狀。
“鉛線”
鉛線——為鉛中毒特徵性體徵。
鉛中毒在口腔里的特徵性表現是:沿著牙齦乳頭邊緣上發生一條約1mm 的藍灰色或藍黑色“鉛線”,口腔不清潔的人這條鉛線特別明顯。這種色素也可以發生在口腔局部黏膜上形成較大的鉛斑。
鉛線X攝片檢查也可在尺橈、股骨、脛腓骨長骨端見有密度較高的帶狀緻密陰影——鉛線。
鉛線,是一種鉛中毒後在牙齒上出現的症狀。
基本內容鉛為化學元素,其化學符號是Pb(拉丁文Plumbum;英文lead),原子序數為82。鉛是柔軟和延展性強的弱金屬,有毒,也是重金屬。鉛原本的顏色為青白色...
研究簡史 物質結構 理化性質 製備方法 主要用途窗簾鉛繩、鉛線主要用於窗簾的掛置與下垂。是窗簾、捲簾的主要飾物。
定義 注意事項鉛為化學元素,其化學符號是Pb(拉丁文Plumbum;英文lead),原子序數為82。鉛是柔軟和延展性強的弱金屬,有毒,也是重金屬。鉛原本的顏色為青白色...
研究簡史 物質結構 理化性質 製備方法 主要用途英文名稱:Lead 發布日期:2007-04-13 代替標準:GB/T
簡介 前言 範圍鉛污染是指以鉛為主要污染物對環境造成破壞的現象。鉛是一種青灰色重金屬。在加熱到400-500℃時會有鉛蒸汽逸出形成鉛煙,在用鉛錠製造鉛粉和極板的過程中都...
自然屬性 毒性症狀 人體危害 代謝降解 遷移轉化也稱鉛砣,是釣組中必不可少的輔助釣具,重量有1克、10克、50克甚至幾百克。它在垂釣中的作用是,拋竿遠投時釣者藉助它的重量,把鉤餌拋入前方的釣點,入水後...
龜背形墜 水滴形鉛墜 多面體形墜 扁圓形墜 圓柱形墜