診斷
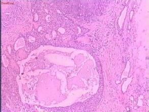
皮損通常為堅實性皮內或皮下結節其上皮膚正常直徑5~30mm好發於鼻或頰部(80%累及頭頸部)通常無自覺症狀可發生骨內損害。根據臨床表現皮損特點組織病理特徵性即可診斷。組織病理
真皮內見由立方形或多角形上皮細胞形成的巢呈管泡狀和導管結構偶可形成角囊腫此種結構被包埋在淡藍色軟骨樣物質到嗜酸性透明物質的基質中。治療
手術切除。預後
汗管瘤臨床上一般無需治療,也可試用電解或CO2雷射。祛斑液或20%尿素霜外用,可使表皮脫落減輕症狀。採用雷射,冷凍等方法,不但會留下疤痕,復發率還很高,多次的採用破壞性的治療極易出現疤痕。汗管瘤是由脂肪代謝障礙所引起的人體表皮小汗腺導管的一種痣樣腫瘤。與內分泌、妊娠、月經及家族遺傳等因素有關。中醫認為多由肌膚腠理毛孔不密,風熱邪毒侵入皮膚,或人體肝虛血燥,筋氣不榮,鬱積皮膚生成丘疹而發病。
汗管瘤嚴重影響人的面部眼周美觀。給人造成很大精神壓力和情緒影響。此病屬慢性病程,終生不會自行消退。有的汗管瘤多年靜止無變化.當人出現精神創傷,過度勞累,月經期或內分泌失調等人體免疫力降低的時候,皮疹可逐漸增多或增大或數個融合成一個大的結節性汗管瘤,使治療難度加大,治療時間加長。

