血管母細胞瘤細胞血管母細胞瘤是由腦神經和脊髓神經所產生的一種高度血管分化的良性腫瘤。大多數的血管母細胞瘤是由單一病灶所產生的。然而,在一種所謂“von Hippel Lindau”(VHL)疾病的病患身上,血管母細胞瘤是這個基因症候群的一種表現。
疾病闡述
血管母細胞瘤這些病患終其一生,會在他們的腦和脊髓里出現許多的腫瘤。在腦中,幾乎所有病灶都發生整個腦部的後下部,也就是所謂的小腦之中。而小腦在腦部的主要功能是平衡和協調。
血管母細胞瘤會有兩種基本的形態,包括固體狀和囊泡狀的。固體狀腫瘤幾乎全部由細胞所組成,而囊泡狀腫瘤則是小部份的細胞伴隨著大部份的囊泡所組成的。
隨著血管母細胞瘤的生長,日益增大的腫瘤將會壓迫到腦部,並且造成一些神經學上的症狀,例如頭痛、肢體無力、感覺喪失、平衡和協調問題,或是水腦症。在一些少見的病例中,這種腫瘤會由於一些和神經學不相關的症狀或是疾病,而無意中被發現。
診斷治療
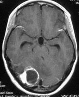
血管母細胞瘤可以用注射顯影劑的電腦斷層或是核磁共振掃描來加以診斷。在這些檢查中,注射顯影劑之後,血管母細胞瘤會在腦或是脊髓中顯現出亮白色的病灶。血管母細胞瘤往往會跟一些腫瘤很像,例如腦膜瘤、轉移性腦瘤或是一些血管病變,例如動靜脈畸形。
大腦的血管攝影有時候可以用來幫助診斷血管母細胞瘤,因為這類腫瘤擁有豐富的血管分布。在von Hippel Lindau疾病中,血管母細胞瘤是從雙親其中一人中所遺傳下來的基因疾病(顯性遺傳)。
因此當一個家庭中有von Hippel Lindau疾病的家族史時,這個家庭的直系後代有可能會一直被此病所折磨。
治療方法
血管母細胞瘤可以選擇兩種基本的治療方法。第一種是開刀將影響到腦或是脊髓的腫瘤切除掉。如果病患的血管母細胞瘤可以完全切除,而且在疾病分類上不是屬於von Hippel Lindau的話,這個病患就算是治癒了。
在一些典型囊泡狀血管母細胞瘤的病患中,只有固體狀腫瘤的部份是需要移除掉,至於囊泡狀腫瘤的部份,則是在手術中引流出來,而且這囊泡將會在腫瘤被移除後消失。
假如血管母細胞瘤無法整個切除掉,腫瘤有可能會重新生長或是會有更多的囊泡產生。任何的腦部或是脊髓的手術都是具有侵入性的,並且有一定的風險,例如中風、感染、麻醉的併發症或是神經學上的缺損。儘管如此,透過現今的神經外科設備,大多數的血管母細胞瘤是可以安全地移除的。
相對於開腦手術,立體定位放射線手術可以用來定位和破壞血管母細胞瘤。
單一劑量的放射線手術會造成細胞逐漸死亡,然後細胞自然萎縮。在血管母細胞瘤的病患中,只有固體狀腫瘤的部份是需要用放射線手術來切除的;囊狀液的量會慢慢地減少產生,最後囊泡會逐漸變小。
放射線手術治療
放射線手術治療相較於傳統開腦或是脊髓手術,利用立體定位放射線手術來切除血管母細胞瘤,是不具有侵入性的,因此不會像傳統開腦或是脊髓手術那樣具有高風險性。
此外,有些血管母細胞瘤是位於傳統開腦手術無法安全地接近的位置,在這些病患中,放射線手術就可以成為病患更好的選擇。再者,放射線手術是一種門診處置,病患可以過日常的生活,而不需要任何的恢復時間。
von Hippel Lindau疾病的病患,隨著時間的增加,會在腦部和脊髓中形成許多血管母細胞瘤。在這種情況下,病患一生中往往需要多次的手術治療。這些手術,不止增加病患金錢負擔,即使手術成功也會導致病患逐漸失能。在這些病患中,立體定位放射線手術可以在血管母細胞瘤有症狀產生時的情況下再來施行,而且手術在一生中可以多次施行,進而避免無數次的傳統開腦手術。
使用放射線手術治療血管母細胞瘤主要有兩個缺點:第一,典型放射線手術是需要六個月到一年的時間才能摧毀血管母細胞瘤。因此,如果腫瘤已經大到壓迫到正常的腦組織,而導致一些特定的症狀產生時,這時候通常需要進行傳統開腦手術。在囊泡狀血管母細胞瘤中,即使用高劑量放射線手術治療後,在之後的幾個月里,囊泡依然會產生囊液。如果這些囊泡越來越大的話,也是會造成症狀產生。即使腫瘤已經被放射線殺死了,但是這些有症狀的囊泡腫瘤還是需要外科手術來引流的。第二,放射線可能導致在血管母細胞瘤周圍正常腦組織的立即性傷害。(請看下面放射線手術的併發症)
如何區分電腦刀和放射線手術:
大多數的放射線手術是使用金屬頭架來做準確的定位,這種定位工具是靠四根螺絲釘跟頭部接觸,每一根螺絲釘都會穿過頭皮,固定在頭骨上。這種方式當然會造成病人的疼痛。相反的,電腦刀是不需要釘頭架的,進而免除病人的不適。此外,放射線手術只能治療局限於腦部的血管母細胞瘤。而電腦刀則是可以安全地治療脊髓任何位置的血管母細胞瘤。
手術改革
放射線手術治療腫瘤,例如血管母細胞瘤,通常是在門診中進行的。因此病患在治療中並沒有什麼太大的感覺。在放射線手術治療後,病患會定期以腦部或脊髓的掃描來做追蹤。大多數的放射線手術治療中心會在術後第六個月,以核磁共振掃描來做追蹤,以監測腫瘤縮減的程度和查看腫瘤周圍腦組織是否有出現放射線治療的副作用。
幾年之後的追蹤可以用來證明腫瘤已經停止生長(或者實際上是萎縮掉),也可以說是摧毀殆盡,所以在這之後的核磁共振掃描就能在有限的原則下才需施行。
手術併發症
放射線手術主要潛在的併發症可能是因為放射線破壞腫瘤時,傷害到鄰近正常腦組織所引起的。這些傷害稱為放射性水腫,或是在一些嚴重的病例中,稱為放射性壞死。在較小的腫瘤中,放射線對於腦的可能性傷害,是比較低的。
這些併發症發生的比例通常是遠低於不去治療腫瘤或是開腦手術所產生的風險。而這些因為放射線水腫所產生的症狀,用口服類固醇來治療,就可以有顯著的改善。
