一、病因及常見疾病:
臨床研究疾病的發生可能與喜歡高脂肪、高膽固醇的食物、工作緊張、飲食不規律等因素有關。膽固醇性息肉發病原因主要為肝臟細胞分泌膽汁的功能出現了紊亂,而膽汁酸作為膽汁中極為重要的一種固體成分,其比例大約占85%。膽汁中的總膽汁酸水平降低及總膽固醇水平升高時,膽固醇析出,從而明顯促進膽固醇性息肉的形成,因此,膽固醇性息肉患者合併結石的人數顯著高於腺瘤性息肉患者。膽囊膽固醇性息肉患者常常合併膽結石而出現臨床症狀。
二、鑑別診斷:
膽囊膽固醇性息肉的臨床特徵為:病變多為多發,體積較小,直徑多<10mm,一般有蒂,容易脫落,屬於非腫瘤性息肉,對膽囊壁基本無損害,對膽囊功能無影響,一般不容易惡性變。大部分無臨床症狀,少數患者可有上腹部或右上腹部的輕微脹痛不適。
膽囊膽固醇息肉主要與膽囊腺瘤、膽囊結石及膽囊炎性息肉鑑別。膽囊腺瘤直徑多>1cm,單發多見,超聲多表現為低回聲。因為膽囊膽固醇息肉直徑多<1cm,所以主要與膽囊結石鑑別。膽囊結石的主要MRӀ表現為T2WI低信號,無懸空征;而膽囊膽固醇息肉T2WI以等信號為主,可見懸空征。膽囊炎性息肉是由於長期炎症刺激所形成的肉芽腫,由毛細血管慢性炎症細胞和成纖維細胞組成,臨床上一般無症狀或僅有膽囊炎症狀。
三、檢查:
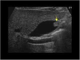
(一)常規超聲檢查:
是診斷膽囊疾病的首選檢查方法,膽固醇性息肉多表現為多發、細蒂、直徑<1cm,但直徑較大的膽固醇性息肉與真性息肉聲像圖相似,鑑別有一定困難。
(二)彩色都卜勒超聲:
是診斷膽囊膽固醇性息肉的首選方法,其能提示發生的部位、數量、形態、大小及蒂的長短、粗細,表面及內部強回聲光團,光團後方有無聲影,隨體位改變息肉有無移動,及膽囊壁改變等。
四、治療原則:
(一)開腹膽囊切除術:
1.側肋緣下斜切口或右側經腹直肌切口。
2.探查。
3.切除膽囊有兩種方法,即順行性切除法,是由膽囊管開始,由下向上剝離膽囊;逆行性切除法,如膽囊頸部粘連較重,周圍結構不清,則從膽囊底部先將膽囊由膽囊床剝除後,再處理膽囊管。
4.關閉腹腔。
(二)經腹腔鏡膽囊切除術:
手術大體步驟:①製造氣腹。②建立操作孔。③處理膽囊三角。④剝離膽囊。⑤取出膽囊。⑥消除氣腹。

