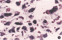
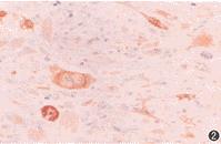
膠質母細胞瘤細胞膠質母細胞瘤在神經上皮性腫瘤中占22.3%,有報告占顱內腫瘤的10.2%。僅次於星形細胞瘤而後第2位。本病主要發生於成人,尤其30一50歲多見,男性明顯多於女性,約2-3:1.好發年齡為40—45歲。膠質母細胞瘤位於皮質下,呈浸潤性生長,常侵犯幾個腦葉,並侵犯深部結構,還可經胼胝體波及對側大腦半球。發生部位以額葉最多見,其他依次為額葉/頂葉,少數可見於枕葉/丘腦和基底節等。腫瘤位於後顱窩者較罕見。
細胞
膠質母細胞瘤細胞細胞是由膜包圍著含有細胞核(或擬核)的原生質所組成, 是生物體的結構和功能的基本單位, 也是生命活動的基本單位。細胞能夠通過分裂而增殖,是生物體個體發育和系統發育的基礎。細胞或是獨立的作為生命單位, 或是多個細胞組成細胞群體、組織、器官,進而各部分相互作用、相互配合,具有一定的結構及功能,形成系統和個體(動物,主要為人體);細胞還能夠進行分裂和繁殖;細胞是遺傳的基本單位,並具有遺傳的全能性(但在基因的表達上,具有選擇性)。細胞內有成形細胞核的是真核生物(並不是細胞的任何時期都具有成形核),反之,則是原核生物(無成形核,但有擬核,或叫核區)。
細胞的重要性
膠質母細胞瘤細胞細胞學是研究細胞結構和功能的生物學分支學科。
細胞是組成有機體的形態和功能的基本單位,自身又是由許多部分構成的。所以關於細胞結構的研究不僅要知道它是由哪些部分構成的,而且要進一步搞清每個部分的組成。相應地,關於功能不僅要知道細胞作為一個整體的功能,而且要了解各個部分在功能上的相互關係。
有機體的生理功能和一切生命現象都是以細胞為基礎表達的。因此,不論對有機體的遺傳、發育以及生理機能的了解,還是對於作為醫療基礎的病理學、藥理學等以及農業的育種等,細胞學都至關重要。
細胞特點
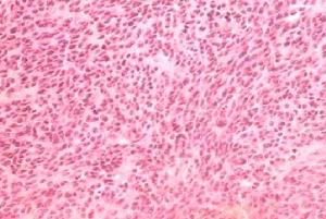
膠質母細胞瘤細胞因腫瘤為高度惡性,生長快、病程短,自出現症狀到就診時多數在3個月之內,約70%-80%在半年以內。個別病例因腫瘤出血,可呈卒中樣發病。偶爾可見病程較長者,可能腫瘤早期較為良性,隨腫瘤生長而發生惡性轉化有關。由於腫瘤生長迅速,腦水腫廣泛,顱內壓增高症狀明顯,幾乎全部病人都有頭痛、嘔吐、視神經乳頭水腫。約33%的病人有癲癇發作。約20%的病人表現淡漠、痴呆、智力減退等精神症狀。腫瘤浸潤性破壞腦組織,造成一系列的局灶症狀,病人有不同程度的偏癱、偏身感覺陳礙、失語和偏盲等。病人可因腫瘤出血而出現腦膜刺激症狀,而癲癇的發生率較星形細胞瘤和少技膠質細胞瘤少見。
治療現狀
手術治療,此腫瘤約有1/3邊界比較清楚,手術可做到肉限全切除;另2/3呈明顯浸涸性,與正常腦組織分不出明顯界限,如果位於額葉前部、碩葉前部或枕葉者,可將腫瘤連同腦葉一併切除,使術後有一個比較大的空間,這樣效果較好。如果腫瘤位於重要功能區(語言中樞或運動中樞),為了不加重腦功能的障礙,多數僅能作部分切除,對位於腦幹、基底神經節及丘腦的腫瘤可在顯微鏡下嚴格作到切除腫瘤,手術結束時可作外減壓術。
伽瑪刀治療:第二炮兵總醫院頭部伽瑪刀中心採用劑量分割對膠質(母細胞)瘤進行治療,在國內屬於領先,從臨床上也取得了很理想的效果。劑量分割治療不同與普通的單次治療,需要分3到4次治療,一天一次,其優點:可提高腫瘤組織尤其是侵潤到正常腦組織部分的腫瘤的照射劑量,每隔一天進行一次照射可減少對正常腦組織的損傷,對治療後控制腫瘤水腫有一定的幫助。缺點:治療間隔病人頭架雖然可以拆卸但顱骨上扔有定位標記點,治療間期會有一些痛苦。
