成因
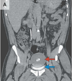
關於腹腔內游離物的成因,一般認為是由於腸脂垂病變扭轉、急性炎症、粘連及脫落等原因引起,或者因為慢性炎症刺激引起腹膜間皮增生而形成。
新聞報導
腹腔內游離體
腹腔內游離體的成因目前仍不太清楚,有可能是腸系膜垂下來的脂肪組織壞死後,纖維化鈣化而成,進而在腸道越滾越大、越滾越多。
關於腹腔內游離物的成因,一般認為是由於腸脂垂病變扭轉、急性炎症、粘連及脫落等原因引起,或者因為慢性炎症刺激引起腹膜間皮增生而形成。
腹腔內游離體腹腔內游離體是可能因發炎等原因,造成腹腔血液供應不順,腸外脂肪組織壞死,纖維化、鈣化形成白色、外表光滑的物質,游離在腹腔內,由於多數人終身都不會發現,很...
形成原因 特徵 病例結腸上區介於膈與橫結腸及其系膜之間。此區內除有膈下間隙外,尚有肝、肝外膽道、食管腹段、胃、十二指腸、胰、脾等臟器。其中,十二指腸和胰大部分位於腹膜後隙,...
定義 空腸及迴腸 盲腸和闌尾 結腸親體活體肝移植術,別稱活體親屬供肝肝移植術,最初由Tack Cannon於1956年提出。
手術名稱 別名 分類 ICD編碼 概述顱內生殖細胞腫瘤(Germ Cell Tumors GCTs)是一組有特殊的病理性質、臨床表現和治療方法的腫瘤總稱,它起源於胚生殖細胞。依據腫瘤部位、性...
疾病分類 發病原因 臨床表現 診斷鑑別 疾病治療瘦體素(leptin),由脂肪細胞產生,作用是向腦部報告身體的脂肪水平。如果瘦體素水平下降,即向大腦發出信號鼓勵多吃食物以補充脂肪。體重下降後,體內瘦體...
概述 研究發現 生化功效 作用機理 受體分布1.喉咽癌累及頸段食管者行廣泛切除後的整復。 2.外傷性喉咽及頸段食管缺損的整復。 1.頸部按常規喉咽及頸段食管癌腫切除的手術方法。
簡介 適應症 手術器械 術前準備 麻醉(2)另一種為腰骶部脊髓、脊膜膨出囊內有脊髓及神經根突入和附著。 (1)切除脊膜膨出囊和修補軟組織缺損對單純性脊膜膨出者經此手術可以獲得治癒。 (3)脊...
疾病概述 疾病症狀 病因 脊膜膨出發病機制 治療內生殖器:生殖器官分為內、外兩部分,男性內生殖器包括睪丸、附睪、輸精管、精囊、前列腺等。
概述 解剖結構 生殖器分類 內生殖器種類 與內生殖器相關的疾病