簡介
源自神經上皮的腫瘤統稱為腦膠質瘤(膠質細胞瘤),占顱腦腫瘤的40-50%,是最常見的顱內惡性腫瘤。根據病理又可分為星形細胞瘤、髓母細胞瘤、多形膠母細胞瘤、室管膜瘤、少枝膠母細胞瘤等。
死亡率高
腦部膠質瘤腦膠質瘤在發生之初,通常沒有典型的症狀。隨著腫瘤的不斷增大,會表現出如下症狀:一是顱內壓增高和其他一般症狀,如頭痛、嘔吐、視力減退、復視、癲癇發作和精神症狀等。另一是腦組織受腫瘤的壓迫、浸潤、破壞所產生的局部症狀,局部症狀依腫瘤生長位置不同而異。
膠質瘤系浸潤性生長物,它和正常腦組織沒有明顯界限,難以完全切除,對放療化療不甚敏感,非常容易復發,生長在大腦等重要部位的良、惡性腫瘤,手術難以切除或根本不能手術。化學藥物和一般抗腫瘤的中藥,因血腦屏障等因素的影響,療效也不理想,因此腦膠質瘤至今仍是全身腫瘤中預後最差的腫瘤之一。
分類
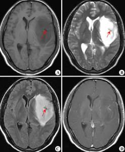
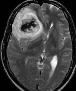
腦部膠質瘤為膠質瘤中最常見的一種,約占40%左右。病理分型為Ⅰ級(星形細胞瘤),Ⅱ級(星形母細胞瘤),Ⅲ~Ⅳ級(多形膠母細胞瘤)。Ⅰ~Ⅱ級星形細胞瘤為低度惡性,起病緩慢,腫瘤在CT及MR的表現多為實性或囊性,邊界不清,腫瘤實性部分或囊性結節均可強化。臨床表現與病灶部位不同進行性地出現相應的症狀,並最後出現顱高壓的症狀。Ⅲ~Ⅳ級的多形膠母細胞瘤起病快速,為惡性度最高的腫瘤,多生長於大腦半球,因腫瘤生長迅速,腫瘤中心可有多處壞死及出血,CT及MR均明顯強化。周圍可伴大片腦組織的水腫。
髓母細胞瘤
為高度惡性腫瘤,好發於2-10歲的兒童,最少者可見於幾月余小兒,大多數來源於小腦蚓部向四腦室及延髓小腦半球生長,因阻塞腦脊液循環通道,發現時多已伴有腦積水,CT及MR可發現後顱窩占位,因CT對此部位顯示不清,故推薦MR檢查。
少枝膠質瘤
為低度惡性腫瘤,偏良性,不少人亦稱其為良性腫瘤。生長慢,瘤內常可見鈣化斑塊。
室管膜瘤
亦為膠質瘤的一種,原則與星形細胞瘤基本相同。
症狀
腦膠質瘤大多緩慢發病,自出現症狀至就診時間一般為數周至數月,少數可達數年。惡性程度高的和後顱窩腫瘤病史較短,較良性的或位於靜區的腫瘤病史較長。腫瘤若有出血或囊變,症狀會突然加重,甚至有類似腦血管病的發病過程。膠質瘤的臨床症狀可分兩方面,一是顱內壓增高症狀,如頭痛、嘔吐、視力減退、復視、精神症狀等;另一是腫瘤壓迫、浸潤、破壞腦組織所產生的局灶症狀,早期可表現為刺激症狀如局限性癲癇,後期表現為神經功能缺失症狀如癱瘓。
胚胎性腫瘤中樞神經系統 (CNS)包括惡性生殖細胞瘤、成神經管細胞瘤、原始神經外胚層腫瘤 (PNET)等 ,好發於兒童青少年。腦幹腫瘤(腦幹膠質瘤)占顱內腫瘤的1.4%。主要為神經膠質瘤,其中以星形細胞瘤和極性成膠質細胞瘤較為多見,其次是少枝膠質細胞瘤、室管膜膠質瘤、髓母細胞瘤,此外還可見到血管瘤(包括血管網織細胞瘤)、囊腫、畸胎瘤、結核瘤、轉移性腫瘤等。兒童及青少年好發,特別是5~9歲兒童發病率最高。兒童病人常以分化較差的極性成膠質細胞瘤、髓母細胞瘤和室管膜瘤為多,成年病人則以星形細胞瘤為多。兒童患者病程短、進展快;常在較短時間(數周至數月)內即引起嚴重的腦幹症狀;成年患者病程長、進展慢,可數月甚至1年以上始出現嚴重的腦幹症狀。各種腫瘤在腦幹中分布的部位略有不同,星形細胞瘤可分布於腦幹的各部位,髓母細胞瘤和室管膜瘤則分布於導水管的被蓋部位和第四腦室底。
腦幹腫瘤(腦幹膠質瘤)的症狀可分為一般症狀和局灶性症狀兩類。一般症狀以後枕部頭痛為常見。兒童常有性格改變,不少病人伴有排尿困難。顱內壓增高常不是腦幹腫瘤的首發症狀。因此,對於進行性交叉性麻痹或多發性顱神經麻痹合併錐體束損害,無論有無顱內壓增高均應首先考慮腦幹腫瘤的可能。腦幹腫瘤的局灶性症狀隨腫瘤的部位而異,由於腫瘤的浸潤性生長,明確劃分具體部位如中腦或橋腦實際上是困難的。
症狀
1)中腦腫瘤: 由於腫瘤極易阻塞導水管,故早期可出現顱內壓增高症狀。也有首發症狀為精神和智力改變,這可能與網狀結構受累有關。根據腫瘤侵襲部位不同,常表現有:①動眼神經交叉性偏癱綜合症——Weber綜合症,病變位於大腦腳底部,出現病側動眼神經麻痹,對側上、下肢體和面、舌肌中樞性癱瘓。②四疊體綜合症——Parrnaud綜合症,表現眼瞼下垂、上視麻痹、瞳孔固定、對光反應消失、會聚不能等。③Benedikt綜合症,表現為耳聾等、病側動眼神經麻痹、對側肢體肌張力增強、震顫等。
2)橋腦腫瘤: 占全部腦幹腫瘤半數以上,多見於兒童。早期兒童常以復視、易跌跤為首發症狀;成年人則常以眩暈、共濟失調為首發症狀。90%以上病人有顱神經麻痹症狀,約40%病人以外展神經麻痹為首發症狀,隨著腫瘤發展出現面神經、三叉神經等顱神經損害和肢體的運動感覺障礙。常表現有Millard-Gubler綜合症——橋腦半側損害,包括面神經交叉癱,若病變位於橋腦下半部偏一側時致病側周圍性面癱伴對側肢體偏癱。
3)延髓腫瘤: 首發症狀常為嘔吐,易被誤診為神經性嘔吐或神經官能症,特別是成年患者。病人可有不同程度頭昏、頭痛,然後較早出現後組顱神經麻痹的症狀,如吞咽困難、進食嗆咳、講話鼻音、伸舌不能等。腫瘤累及雙側時則出於真性延髓麻痹症群,同時伴有雙側肢體運動、感覺障礙及程度不等的痙攣性截癱,病程早期可有呼吸不規則,晚期可出現呼吸困難或衰竭。
臨床上常表現的延髓半側損害有:①舌下神經交叉癱(Jackson綜合症);②吞咽、迷走交叉癱(Avellis綜合症);③Schmidt綜合症——病側Ⅸ~Ⅶ顱神經麻痹及對側半身偏癱;④延髓背外側綜合症(Wallenberg綜合症)等。
膠質瘤的診斷,根據其生物學特徵、年齡、性別、好發部位及臨床過程進行分析,在病史及體徵基礎上,採用電生理、超音波、放射性核素、放射學及核磁共振等輔助檢查,定位正確率幾乎是100%,定性診斷正確率可在90%以上。
腦膠質瘤由於腫瘤呈浸潤性生長,與腦組織無明確分界,難以徹底切除,手術治療的原則是在保存神經功能的前提下儘可能切除腫瘤。早期腫瘤較小又位於適當部位者可爭取全部切除。位於額葉的腫瘤,可作腦葉切除。當額葉或顳葉腫瘤範圍較廣不能全部切除時,可同時切除額極或顳極作內減壓術。腫瘤位於運動、言語區而無明顯偏癱、失語者,宜注意保存神經功能,適當切除腫瘤,避免發生嚴重後遺症。腦室腫瘤宜從非功能區切開腦組織進入腦室,儘可能切除腫瘤,解除腦梗阻。位於丘腦、腦幹的膠質瘤,除小的結節性或囊性者可作切除外,一般作分流術,緩解增高的顱內壓後,進行中醫藥綜合治療。
治療現狀
膠質細胞瘤的生長特點為浸潤性生長,與正常腦組織無明顯界限,多數不限於一個腦葉,向腦組織外呈指狀深入破壞腦組織,偏良性者生長緩慢,病程較長,惡性者瘤體生長快,病程短。目前國內外對於膠質瘤的治療普遍為手術、中醫藥、放療、化療、X刀、和γ刀。
膠質瘤手術:手術治療基於膠質瘤的生長特點,理論上手術不可能完全切除,生長在腦幹等重要部位的腫瘤有的則根本不能手術,所以手術的治療目的只能局限於以下5個方面:
①明確病理診斷,②減少腫瘤體積降低腫瘤細胞數量,③改善症狀緩解高顱壓症狀;④延長生命並為隨後的其他綜合治療創造時機;⑤獲得腫瘤細胞動力學資料,為尋找有效治療提供依據。
依據生長位置及生長特點,約50%無法全切,為了避免手術後功能損害,即使為全切術,在原發部位仍會有腫瘤殘存,所以很難根治,復發率很高。根據我院長時間的,隨訪和調查膠質瘤3、4級復發最快的一個月左右,慢的多半年。1、2級一般的復發1-2年。
膠質瘤放療:放射治療幾乎是各型膠質瘤的常規治療,但療效評價不一,除髓母細胞瘤對放療高度敏感,室管膜瘤中度敏感外,其他類型對放療均不敏感,有觀察認為放療與非放療者預後相同。此外射線引起的放射性壞死對於腦功能的影響亦不可低估。X-刀、γ-刀—均屬放射治療範疇,因腫瘤的部位、瘤體大小(一般限於3厘米以下)及瘤體對射線的敏感程度,治療範疇局限,目前認為膠質瘤,特別是性質惡性的星形Ⅲ-Ⅳ級或膠質母細胞瘤均不適合採用R-刀治療。
驗方偏方
驗方:腦瘤湯:夏枯草30g,海藻30g,石見穿30g,野菊花30g,生牡蠣30g,昆布15g,赤芍15g,桃仁9g,白芷9g;生南星9g,蜈蚣9g,留行子12g,蜂房12g,全蠍6g,天龍片15片。每日1劑,煎2次分服。天龍片分3次隨湯藥分服。
偏方:難姜散:老薑、雄黃各100g。先將老薑刷去泥沙(不洗),除去叉枝,用小刀挖一小洞,掏空中心,四壁僅留0.5cm厚,填裝入雄黃粉,以挖出的姜渣封口,置陳瓦上用木炭火焙烤7~8小時,至呈金黃色,脆而不焦為度,離火放冷,研細,過80目篩,剩餘姜渣一併焙乾後研細,拌入粉內,即得。
治法:外用。取安慶膏藥以微火烘乾,均勻地撒上雄姜散,可按瘤塊,痛點,穴位三結合原則選定貼敷部位,隔日換藥一次。

