概述
左腎結石並左腎積膿病因
本病以上尿路結石引起梗阻,繼發感染為最常見;其次是腎和輸尿管畸形引起感染性腎積水;亦可繼發於腎盂腎炎。致病菌以大腸埃希桿菌屬為多見。腎組織遭到嚴重損壞,腎全部或一部分成為膿性囊。
發病機制
當積水腎臟發生感染和化膿由於尿路梗阻使膿液在集尿系統聚集時可發生腎積膿。急性腎盂腎炎合併急性梗阻時可表現為突發的發熱寒戰和腰痛通常迅速的發展為敗血症。積水腎臟感染髮展為化膿性腎盂腎炎時,如未及時診斷和正確治療,將導致腎臟的完全破壞。偶爾慢性梗阻的腎臟發生感染時呈靜息起病,無明顯的臨床症狀。發生腎積膿時患者表現為發熱、不適和腎區腫塊。如果為完全梗阻,尿液檢查將無異常。
實驗室檢查:血液中白細胞明顯升高。尿液常規檢查有大量膿細胞,尿液培養陽性。但如上尿路已完全梗阻,尿常規反而沒有明顯異常,尿細菌培養也可呈陰性。
其它輔助檢查:1.膀胱鏡檢查 可見患側輸尿管口有膿液流出
2.X線檢查 腹部平片顯示腎影不清,有時可發現上尿路結石。靜脈尿路造影顯示患腎顯影差或不顯影。
3.超聲檢查 B型超聲檢查可顯示腎臟內有液性暗區。
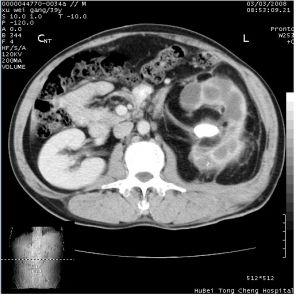
4.CT檢查 可顯示腎實質中形態不�一、邊緣模糊的混合密度腫塊,中央為低密度。增強掃描示腎實質增強明顯降低,腎盂腎盞不顯影。
臨床表現
1.病史常有長期腎感染史或曾有腎、輸尿管結石手術史。
2.症狀突出表現為膿尿,在輸尿管與膿腎相通時,可出現持續性肉眼膿尿,也可呈間歇性膿尿。急性發作型除了有寒戰高熱、全身無力、嘔吐等全身中毒症狀外,還有明顯的局部症狀,如腰部疼痛和腰肌緊張;如為慢性病程型,則呈慢性感染中毒症狀,如低熱、盜汗、貧血、消瘦等,局部症狀較輕。
3.體徵腎區明顯叩壓痛,腰部可捫及腫大的腎臟。 併發症: 腎積膿如不及時治療健康搜尋可穿透腎包膜而形成腎周圍膿腫
診斷
腎積膿以上尿路結石引起梗阻,繼發感染為最常見,其次是腎和輸尿管畸形引起腎積水合併感染,亦可繼發於腎盂腎炎。致病菌以大腸埃希桿菌最常見,腎組織遭到嚴重破壞成為膿性囊。據症狀、體徵影像學檢查不難診斷
1.急性腎盂腎炎主要表現為突發性的畏寒、高熱常伴有尿頻尿急、尿痛等膀胱刺激症狀。也會出現腰痛和腎區叩壓痛。但尿路刺激症狀嚴重而腎區叩痛較輕,B超檢查腎內無液性暗區,CT亦無中央區低密度腫塊。
2.腎周圍炎和腎周圍膿腫主要表現也是畏寒、發熱、劇烈腰痛及腎區叩壓痛。但尿路平片顯示腰大肌陰影消失CT顯示腎臟內無混合密度的腫塊,而在腎周圍可見腫塊。
3.腎結核主要表現尿頻、尿急、尿痛等膀胱刺激症狀,伴有低熱、乏力、貧血等全身性結核中毒症狀及不同程度的膿尿與慢性病程型腎積膿表現相似。但腎結核患者尿頻多較為嚴重,24h尿沉渣中可查到抗酸桿菌。早期腎結核IVU表現為腎盞邊緣不整齊,如蟲蝕狀;後期呈缺少1個或幾個腎盞的徵象。結核性腎積膿則尿呈米湯樣混濁,B超可見腎內有積液,但呈低熱,所以又稱為冷膿腫。
4.腎積水主要表現為反覆腰痛,繼發感染時有發熱,可出現尿頻、尿急、尿痛,與慢性病程型腎積膿表現相似。但腎積水患者的體溫通常不會持續升高,B超顯示腎內液性暗區較腎積膿患者均勻,CT檢查顯示腎盂內邊緣光整的均勻密度腫塊。
5.腎腫瘤有時也可表現為長期低熱腰痛,與腎積膿的慢性病程型表現相似但可有間歇性無痛性全程血尿;IVU可見腎盞、腎盂受壓、變形等徵象;CT顯示腎臟有實質性占位。
治療
1.全身支持治療 如休息,加強營養,貧血者應輸血。
2.合理套用抗生素 可根據尿培養結果選用敏感�的抗生素。
3.早期腎穿刺造瘺,充分引流,觀察腎功能恢復情況健康搜尋。若腎功能恢復健康搜尋則矯治梗阻;若腎功能不能恢復,且對側腎功能良好者,應行患側腎切除術。
4.若膿腎體積過大與腎周圍粘連較緊估計腎切除有困難,可先行腎造瘺引流,以後再施行腎切除術。慢性病變的患者,腎皮質成為包繞擴張而充滿膿液的集尿系統的一層薄而萎縮的纖維鞘,因此建議作腎切除,從梗阻段輸尿管起將腎臟和輸尿管一併切除。
5、中醫的海洋生命循經護腎療法,通過經脈給藥,能有效地修復腎細胞,恢復腎功能。
