病因
腎動靜脈瘺分為兩種,即先天性和後天性。前者是腎動靜脈之間形成細小的蔓狀交通支,多見於腎實質內。後者長因創傷(如槍彈傷、刺傷、經皮穿刺腎活檢術等)、惡性腫瘤、炎症、動脈硬化、腎動脈瘤破入靜脈或腎切除時腎蒂大塊結紮所引起。
臨床表現
1.高血壓,腎實質的血流灌注相對減少引起遠端局部缺血及腎素依賴性高血壓。2.血尿、蛋白尿,動靜脈瘺常位於收集系統附近,故大部分患者可出現肉眼血尿。3.心功能衰竭,靜脈回流增加,外周阻力減小,心輸出量隨之增加引起左室增生肥厚,最終導致心衰。4.臨床上多可聞及腹部血管雜音。
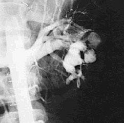
檢查
1.都卜勒超聲檢查,是準確而無損傷的方法。2.靜脈腎盂造影,可見腎實質缺損,腎盂有外來壓迫。3.血管造影,可明確診斷。
診斷
臨床上根據血尿、蛋白尿、高血壓及上腹部或腎區血管雜音,結合影像學檢查可明確診斷。
並發證
先天性腎動靜脈瘺50%病例伴有先天性心臟病。
治療
如果沒有症狀,不需治療。對於有症狀的腎動靜脈瘺患者,先天性腎動靜脈瘺因病變廣泛,常需做腎切除。後天性腎動靜脈瘺如病變局限可做動靜脈瘺切除,病變廣泛需做腎切除。栓塞治療腎動靜脈瘺已有20年歷史,近年來隨著介入技術不斷發展,栓塞治療腎動靜脈瘺可以使80%的患者痊癒。

