標本採集
1、原則:①正確地選擇採集部位:這是細胞學診斷的基礎和關鍵。故要求準確地選擇採集部位,應在病變區直接採集細胞。②標本須新鮮:儘快製片,防
脫落細胞檢驗取材2、採集方法:①直接採集法,②自然分泌液採集法,③灌洗法,④摩擦法,⑤針穿抽吸法直接採集法:皮膚、外陰、陰道、陰道穹窿、宮頸、肛管、口腔、鼻腔、鼻咽部及眼結膜等部位可直接用刮片刮取、刷洗、吸管吸取。食管、氣管和肺支氣管、胃及直腸則可用纖維內鏡在病灶處直接刷取細胞製片。(一)自然脫落細胞標本脫落自上皮表面,包括:①咳出:如痰液。②排泄或導尿:如尿液。③擠壓:如乳頭分泌物等。
主要特點:①易從病變器官獲取標本。②標本內常含大量各種不同來源、不同類型的細胞,亦可含有炎性細胞、巨噬細胞、微生物和外源性污染物。③細胞成分保存較差。④能進行多次標本採集。
(二)非自然脫落細胞指通過物理刮擦作用取得的細胞,採集方法包括:①刷取:如氣管、子宮頸。②刮取:如乳頭、皮膚、子宮頸。③灌洗:用生理鹽水溶液沖洗所得液體,如支氣管。
主要特點:①能直接從病變器官表面採樣,如子宮頸和支氣管。②使用纖維鏡能直接從器官內部獲取。③能獲得上皮細胞下的病變標本。④細胞成分保存良好,但在結果解釋時,不能採用與脫落細胞相同的標準。
(三)細針穿刺細胞標本通過穿刺吸取或非吸取法,從充滿液體的器官或實體性器官中獲得細胞標本,如腫瘤、心包膜腔積液、胸膜腔積液、腹膜腔積液和腦脊液等。影像學技術有助於對小而深、移動且難以觸摸的病變部位定位。
主要特點:①通過觸摸或導引法,可從體內任何實體器官採集標本。②方法簡捷、費用低、創傷小、併發症少、禁忌證少,經皮膚穿刺術無需麻醉。③需藉助病理學知識解釋結果。④良好的標本採集和製片技術可獲得最佳的結果。⑤局限性:對結締組織、透明變性、血管性病變、大量壞死物、囊性變或出血性病變等,可導致標本採集不足。
塗片製作
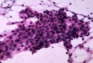
宮頸脫落細胞學檢查圖片方式:①直接塗片是將新鮮標本直接塗在載玻片上。②間接塗片是將各種液體標本(如生理鹽水或運送培養基)進行濃縮處理後再塗片,適用於細胞少的標本。若標本中有凝塊,宜採用細胞塊或傳統組織學方法進行處理。滲出液、灌洗液和尿液等標本不易黏附在載玻片上,宜採用蛋白質(如牛血清清蛋白)或離子類(如多聚賴氨酸)黏附劑,增強細胞和載玻片之間黏附力,最大限度的保存標本中所有細胞。
常用方法:①推片法:適於稀薄的標本,如胸腹水和血液等。離心後取1小滴標本放在玻片偏右側端,把玻片上的檢液用推片作30°夾角輕輕向左推。②塗抹法:適用於稍稠的標本,如鼻咽部標本。用竹棉簽在玻片上由玻片中心以順時針方向向外轉圈塗抹或從玻片一端開始平行塗抹,塗布要均勻,不宜重複。③壓拉塗片法:適合較粘稠的標本,如痰液標本。將標本夾於交叉的2張玻片之間,分別移動2張玻片,使之重疊,再邊壓邊拉,這樣一次可獲得2張塗片。④吸管推片法:亦適於胸、腹水標本。用吸管將標本滴於玻片的一端,再將滴管前端平放在標本滴上,平行向另一端均速移動滴管,即可推出均勻的薄膜。
標本固定
脫落細胞學方法:①帶濕固定:塗片後標本尚未乾燥即行固定的方法稱帶濕固定。食管拉網、痰液及陰道分泌物塗片等常用。適於巴氏染色或HE染色。該法固定細胞結構清晰,染色鮮艷。②空氣乾燥固定:塗片後待其自然乾燥,再進行固定。常用於較稀薄的標本,如胃沖洗液、尿液等。適用於瑞氏-吉姆薩染色。與濕固定相比,空氣乾燥固定有使細胞增大的趨勢。
濃縮技術
痰脫落細胞(二)液基細胞學(LBC)技術:是一種半自動或全自動標本處理新技術,是將刷取或灌洗法採集的標本,放在特殊的運送液或保存液中,製成細胞懸液,經過進一步處理,除去血液、蛋白和炎性滲出物,製成分布均勻的薄片。本質是濾膜過濾法實現了自動化。其優點是:①塗片上細胞分布均勻、分布範圍小、背景清晰。②標本篩查簡便、快速。③能提高診斷靈敏度和特異度。④能顯著降低標本的不滿意率。⑤能用於原位雜交和免疫細胞化學染色。
染色方法
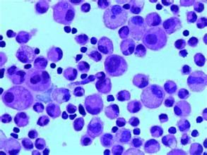
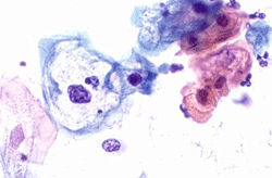
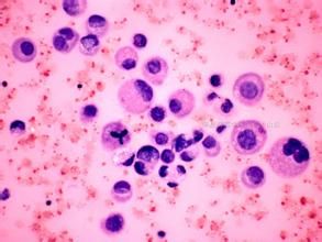
許多用於組織切片的染色方法也適用於細胞病理學塗片。不同染色技術均適用於婦科或非婦科標本的永久性染色。巴氏染色法適用於濕固定塗片。蘇木素和伊紅染色法(HE染色法)是組織切片最常用的方法,也是許多細胞病理學實驗室常用的染色方法。其他常用染色方法有組織細胞化學染色,如過碘酸Schiff染色、三色染色、Zie-hl-Neelsen染色、Gram染色和Grocott碘化銀染色和有助於識別微生物或鑑別腫瘤細胞分化程度的免疫細胞化學染色等。 ①巴氏染色特點:是細胞具有多色性的染色效果,色彩多樣且鮮艷。塗片染色透明性好,細胞質顆粒分明,細胞核結構清晰。如鱗狀上皮完全形化細胞胞質呈桔黃色;不完全形化細胞胞質呈粉紅色;而角化前細胞胞質呈淺藍色或淺綠色。適用上皮細胞染色或陰道塗片中觀察女性激素水平對上皮細胞的影響。此方法的缺點是染色程式較複雜。 ②蘇木素-伊紅染色法(hemotoxylin-eosin,H-E)染色特點:透明度好,細胞核與細胞質對比鮮明,染色效果穩定。細胞質染成淡玖瑰紅色,細胞核染成紫藍色。紅細胞染成朱紅色。染色步驟簡便,適用於痰液塗片。③瑞氏-吉姆薩染色法(Wright-Giemsastaining)特點:細胞核染色質結構和細胞質內顆粒顯示較清晰。此方法多用於胸腹水、前列腺、針吸細胞學及血液、骨髓細胞學檢查。操作簡便。
診斷
鏡檢原則:①閱片前:應該嚴格核對送檢單與塗片,且仔細閱讀送檢單上填寫的所有資料,尤其是有臨床主要體徵的病人,需詳細了解臨床的基本情況,且結合細胞的形態特徵及臨床表現作出準確客觀的診斷。②閱片時:責任心要強:要求認真、耐心、細緻,嚴格按規定程式觀察塗片進行診斷。初篩塗片原則:顯微鏡下視野要有一定的重疊,這是初篩塗片的一個非常重要的原則。初篩應以低倍視野為主,首先觀察塗片內各種細胞成分,發現特殊異常細胞成分時,再轉換高倍鏡仔細觀察,作出準確診斷。

