病因
胼胝體發育不良胚胎第7~10周時,終板背側普遍性增濃,其上方形成聯合塊,後者誘導大腦半球軸突從一側向另一側生長,形成胼胝體。胚胎74天時可在胚胎上見到最早的胼胝體纖維,到115天胼胝體在形態上成熟。胼胝體分為嘴部、膝部、體部和壓部4個部分,其發育順序由前向後,正好與其成熟順序相反。如果聯合塊不能誘導軸突從大腦半球一側越過中線到達對側大腦半球,則胼胝體就不能形成。
胼胝體發育不全可能原因:
胚胎早期的子宮內感染、缺血等原因可使大腦前部發育失常,而發生胼胝體缺失,晚期病變可使胼胝體壓部發育不良。通常首先累及體部和膝部,也可同時累及膝部和壓部,但單獨累及膝部的情況較少,僅見於前腦無裂畸形。但Barkovich(1988)認為胼胝體發育不良[1],是由於胼胝體形成的前驅階段受損,並非發生於胼胝體形成期。胼胝體發育不良也有遺傳基礎。
胼胝體發育不良的原因也包括下列這些因素:
(1)毒性─代謝性因素,如懷孕時母體酒精中毒或糖尿病,胎兒本身罹患某些代謝性疾病。
(2)染色體異常,最常見的是三染色體8或三染色體18。
(3)基因異常或某些特殊症侯群(如Aicardi氏症侯群),會以顯性遺傳、隱性遺傳或性聯遺傳的方式遺傳而來。
(4)懷孕初期胎兒的腦部受到感染。
診斷
胼胝體發育不良胼胝體發育不良絕大多數罹患此症的孩子都多多少少會有些外觀的異常,如頭太大或太小、下巴小、眼睛有斜視、白內障、或眼球過小、唇顎裂、腎臟與輸尿管異常、多指症或並指症等,多在懷疑孩子異常之情況可能為腦積水的原因所引起,進而執行電腦斷層掃描檢查,才發現有胼胝體發育不良或缺如的特徵性圖象。
胼胝體發育不良可出現智力輕度低下或輕度視覺障礙或交叉觸覺定位障礙。嚴重者可出現精神發育遲緩和癲癇。因腦積水可發生顱內壓增高。嬰兒常呈痙攣狀態及錐體束征。X-4性聯遺傳者,其特點為生後數小時有癲癇發作,並出現嚴重的發育遲緩。
胼胝體發育不良雖然在胎兒期便已形成,但出生之後,並沒有一些特徵告訴我們嬰兒罹患此症;往往是在嬰兒發展的過程中,因為動作或語言發展遲緩、癲癇症(尤其是嬰兒點頭痙攣)或腦性麻痹等神經症狀出現,做了腦部超音波或腦部磁振掃描才發現這種情況。如果說嬰兒的外型上有任何值得我們懷疑有胼胝體發育不良的可能性的話,則兩眼分離過遠與斜視這兩種情況就要讓我們警覺到此症存在的可能性。絕大多數的個案的神經發展方面也不正常,常會合併動作與語言發展遲緩、智慧型障礙、癲癇症與腦性麻痹。
藉由核磁共振或是電腦斷層等方式來做判斷是否有出現胼胝體發育不全。
鑑別
(一)胼胝體發育不全
胚胎期胼胝體發育自前向後完成,大腦前動脈供血區缺氧、炎症或梗塞都可導致胼胝體部分發育不全,70%在壓部和體部。基因遺存障礙使橫過中線的胼胝體聯合纖維移行受阻,引起完全不發育,常伴半球縱裂囊腫。
[臨床表現]
胼胝體發育不全的臨床表現各異,單獨部分發育不全可無症狀。最常見的症狀是癲癇和智力障礙。合併Chiari畸形、Dandy-Walker綜合徵等其他畸形,臨床症狀較重、較多,如腦癲癇,周期性低體溫和嬰兒痙攣等。
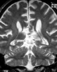
典型較嚴重的胼胝體發育不全,CT診斷不難,但對輕度或中度發育不良,有時由於層厚較厚或間隔過大,橫軸位掃描,易於漏診。對有神經運動和智力障礙,疑有胼胝體發育不全者,掃描時應在Ⅲ室和側室水平將層厚減薄到3-5mm連續掃描。較大的兒童或成年亦可用8-10mm層厚,但如有懷疑,仍需減薄到3-5mm。冠狀位有利於判斷Ⅲ室的位置。重建或直接矢狀位,更易顯示胼胝體全貌,一般不用增強掃描,但可提供另外有用信息。
[CT表現]
典型的駢眠體發育不全的CT表現如下:①大腦縱裂增寬與第三腦室前部相連。②雙側側腦室擴大、分離。③第三腦室擴大上升位於側腦室之間。④室間孔不同程度的擴大和分離。其中①為最常見和最可靠的直接徵象,②、③和④為間接徵象。
雙側腦室分離,第三腦室擴大、上升、介於雙側腦室之間,形似蝙幅翼狀。
胚胎髮育的生理性腦積水,隨著腦組織生長腦室逐漸變小,當腦組織生長局部或普遍性受損害時,則導致局部或普遍性腦室擴大。胼胝體大多發育不良,引起枕角不成比例的明顯擴大。腦回呈放射樣排列的大腦半球側面,神經組織招疊,阻止了雙側腦室的靠近,使腦室分離,過量的腦組織形成(多小腦回)或側腦室內側面,特別是靠近額角,腦組織的距離減少。使腦室分離,特別是額角前部變窄,如臨近白質發育不良,導致額角呈莖樣,正常駢服體纖維呈水平狀排列,胼胝體發育不全時,呈縱向排列,所以側腦室內緣光滑,大致呈雙互平行走向。由於胼胝體外側束的壓跡可使側腦室內緣凹陷。異位神經組織聚集,阻止了放射狀纖維遷移,使腦室外側壁不規則。間腦發育不良導致Ⅲ室擴大和上升。神經組織,主要是白質發育不良,引起大腦半球縱裂增寬。
胼胝體發育不全可單獨存在,亦可合併大腦半球縱裂囊腫,胼胝體脂肪瘤等其他畸形。
雖然CT平掃足以能夠診斷,不必用增強掃描,但有時為了鑑別診斷,偶爾行增強掃描,亦可獲得其他有用信息。CT增強掃描顯示大腦內靜脈分離,緊靠擴大的第Ⅲ腦室外壁。正常大腦大靜脈由於駢服體壓部呈曲線樣,當胼胝體壓部發育不良或不發育時,大腦內靜脈的曲線變扁。胼周動脈相互靠近,平行走行,直達Ⅲ腦室前部,在矢狀位,其彎曲度或少,呈波浪樣走行,室間孔脈絡叢交角變銳,達35%40。(正常45-70)。
胼胝體前部發育不良較為少見,因為胼胝體的發育自前向後,通常不可能有單獨胼
胼胝體發育不良胝體前部發育不全,除非因血管病、感染等破壞所致的前部缺損。
[鑑別診斷]
胼胝體發育不全的CT表現特異,診斷不難。
廣泛缺血低血氧腦病,引起廣泛腦白質疏鬆,同時可侵犯胼胝體,使半球縱裂增寬,C丁表現很像臍服體發育不良,二者鑑別有賴於臨床病史。
大腦半球縱裂囊腫位於中線,邊界銳利,腦脊液密度,橫軸位難與擴大上升Ⅲ室鑑別,冠狀位顯示囊腫位側腦室上方,而擴大上升的Ⅲ室介於側腦室之間。
(二)胼胝體脂肪瘤
胼胝體脂肪瘤可在胼胝體任何部位,大小各異,50%合併駢眠體發育不良,50%伴顱骨缺損,較大的脂肪瘤,包繞大腦前動脈。
[臨床表現]
小脂肪瘤無症狀,大脂肪瘤壓迫、侵入鄰近腦組織,臨床上有頭痛、癲癇、智力障礙和偏癱等。
[CT表現]
脂肪瘤位於中線,直徑0.5-5cm不等,CT值一10至一100Hu,多見於膝部或(和)體部,腫瘤包膜或(和)中部均可有鈣化,CT增強掃描無強化。骨窗可顯示骨質缺損。
[鑑別診斷]
胝體脂肪瘤CT表現典型,診斷不難,根據其CT值脂肪密度易與縱裂囊腫和皮樣囊腫鑑別,後者密度較脂肪瘤高。
胼胝體發育不良大多數為散發性,原因不明。其臨床症狀、體症與其合併的其他腦畸形有關,因為先天性胼胝體發育不全或缺如的本身一般不產生症狀。在成人患者中,用複雜的心理測定檢查方法,可發現兩半球問的資訊傳遞有輕微障礙。胼胝體發育不良可以單獨存在,甚至不產生任何症狀,但這種情形非常罕見。
絕大多數罹患此症的孩子都多多少少會有些外觀的異常,如頭太大或太小、下巴小、眼睛有斜視、白內障、或眼球過小、唇顎裂、腎臟與輸尿管異常、多指症或並指症等,多在懷疑孩子異常之情況可能為腦積水的原因所引起,進而執行電腦斷層掃描檢查,才發現有胼胝體發育不良或缺如的特徵性圖象。
胼胝體發育不良可出現智力輕度低下或輕度視覺障礙或交叉觸覺定位障礙。嚴重者可出現精神發育遲緩和癲癇。因腦積水可發生顱內壓增高。嬰兒常呈痙攣狀態及錐體束征。X-4性聯遺傳者,其特點為生後數小時有癲癇發作,並出現嚴重的發育遲緩。
胼胝體發育不良雖然在胎兒期便已形成,但出生之後,並沒有一些特徵告訴我們嬰兒罹患此症;往往是在嬰兒發展的過程中,因為動作或語言發展遲緩、癲癇症(尤其是嬰兒點頭痙攣)或腦性麻痹等神經症狀出現,做了腦部超音波或腦部磁振掃描才發現這種情況。如果說嬰兒的外型上有任何值得我們懷疑有胼胝體發育不良的可能性的話,則兩眼分離過遠與斜視這兩種情況就要讓我們警覺到此症存在的可能性。絕大多數的個案的神經發展方面也不正常,常會合併動作與語言發展遲緩、智慧型障礙、癲癇症與腦性麻痹。
藉由核磁共振或是電腦斷層等方式來做判斷是否有出現胼胝體發育不全。
預防
醫藥治療
就目前的治療而言,已經存在的胼胝體發育不良是沒有任何方法可以改變它,也無任何藥物可以治療胼胝體發育不良。但是對於伴隨發生的癲癇問題,則可以採取藥物控制治療。
復健訓練
雖然胼胝體發育不良並無方式或藥物可以改變胼胝體本身的問題,但我們能做的是針對孩子所呈現出來的缺陷或障礙,予以積極的早期療育,越早施行各項療育,將來出現的障礙會越輕、越少。
例如:孩子在成長過程中,可能因為神經發展之不正常,而會有動作發展遲緩、語言發展遲緩、智慧型障礙、癲癇症與腦性麻痹等情況,針對孩子可能出現的問題,我們可以提供其物理治療、職能治療、語言治療等相關治療訓練方式,改善其認知、語言、動作、社會、自理能力,提升其注意力、知覺辨別、記憶、思考推理、概念、理解、表達、肌肉控制、移位、身體協調、手操作、視動協調、人際互動、情感與情緒、自我與責任、環境適應、飲食、穿脫衣、盥洗衛生…等等相關能力,越早施行各項療育,將未來可能出現的障礙減至越輕、越少、越好。

