發病原因
目前認為胸腺囊腫是先天性的因為胸腺囊腫均是在胸腺的發育線上發現的如頸部和縱隔內胸腺囊腫約占縱隔腫瘤和囊腫的1%
發病機制
胸腺在胚胎期位於頸部隨移至前縱隔在胚胎第6周時第三咽囊的腹側長出一對胸腺的原基在第7周時第三咽囊從咽部分離並從中空的原基轉變為實體的上皮柱至第8周時其尾端膨大附著於心包前壁的表面這種心包的附著加速了胸腺進入胸內至胎兒3個月齡末時胸腺已有細胞分化成為皮層及髓質發育完成後呈二葉臥於心包及大血管的前壁認為其良性進程是由於胸腺小體的退化及胸腺咽導管的部分殘留早年報導胸腺囊腫可見於兒童先天性梅毒或結核引起目前報導多為先天性曾有報導為糾正心臟異常行胸骨正中切口術後發生胸腺囊腫但罕見縱隔外組織中診斷霍奇金病時結節硬化性霍奇金病可發生胸腺的囊性病變並伴有胸腺囊腫組織學上胸腺囊腫有鱗狀上皮襯裡與囊壁有正常的胸腺殘留囊內有漿液性液體或囊內出血膽固醇結晶是囊腫退化的典型表現囊壁上有胸腺組織為主要診斷特徵
臨床症狀
胸腺囊腫的臨床症狀取決於囊腫的位置頸部胸腺囊腫多見於10~20歲的患者常表現為頸部腫塊很少有臨床症狀除非囊腫的體積發生劇烈變化如囊內出血縱隔內胸腺囊腫則多為30~60歲早期也很少出現臨床症狀少數縱隔內胸腺囊腫病人可以出現氣短咳嗽和胸部疼痛在體檢時通過X線胸片發現90%的患者表現為無痛性包塊包塊多位於左頸部(占70%)右側(占23%)中線和咽喉部占7%部分患者因囊腫感染或出血可觸及波動感縱隔內胸腺囊腫少數在心臟手術時才發現
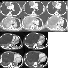
在前縱隔發現囊性腫物應想到胸腺囊腫的可能頸部胸腺囊腫可通過體格檢查發現縱隔內囊腫主要通過胸片檢查來發現CT掃描對於判斷胸腺囊腫的性質和囊腫的範圍有重要價值超音波檢查對胸腺囊腫的診斷也有幫助針吸活檢囊腫的壁上有胸腺組織即可確診。
治療用藥
(一)治療
目前胸腺囊腫的治療尚有爭議一些專家認為因為術前不易確診所有的胸腺囊腫均應手術切除以明確診斷且胸腺囊腫與胸腺有蒂相連界限清楚易於剝離另一些專家則認為如果能從囊腫的位置和CT等影像學特徵上明確為胸腺囊腫則可經皮細針穿刺治癒囊腫對於不能確診為胸腺囊腫的病人特別是不能完全除外胸腺瘤合併囊性變及包蟲囊腫時外科手術是必要的可以達到確診和治療雙重目的胸腺囊腫的切除的手術徑路有胸骨正中切口前外側切口和後外側切口亦可通過電視胸腔鏡完成手術
(二)預後
自1901年Pollosson和Piery等施行首例胸腺囊腫切除術來手術切除一直是治療胸腺囊腫的有效方法預後良好

