圖一症狀檢查
臨床表現:
1.背部疼痛 OPLL引起鵻的胸髓病變從開始發病到完全性癱瘓可以僅經過很短的時間。但也有患者到醫院就診時僅主訴有持續性背部模糊痛其病史可持續數月至數年。Kenji Hannai報導的12例前路手術治療的患者中均主訴有持續性胸部疼痛或模糊的背部疼痛。
2.下肢癱瘓 可自輕度的運動無力至重度的下肢完全癱瘓,並可伴有不同程度的感覺,障礙患者的癱瘓症狀多呈進行性加重。
3.大小便功能異常 視病變程度不同健康搜尋可有大小便無力亦可出現大小便失禁。
4.行走不穩 雙下肢行走無力,有踏空感或足踩棉花感易跌倒。
併發症: 可並發下肢完全性癱瘓。
檢查:
圖21.X線檢查:胸椎側位或斷層X線片常可發現骨化的後縱韌帶呈高密度影,可呈連續型或孤立型。
2.脊髓造影:可顯示骨化物範圍,對減壓範圍確定有很大鵻的意義。
3.CT檢查:具有明確診斷意義,並可測量椎管狹窄率(圖1),CT三維重建既可顯示骨化物的範圍、形態,亦可顯示脊髓壓迫的程度。
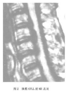
4.MRI檢查 可顯示脊髓受壓的程度範圍等(圖2)。
治療
胸椎OPLL一經診斷一般均需手術治療但對於一些表現初期症狀者亦可試行保守療法包括休息、制動理療,口服消炎鎮痛藥及神經營養類藥物等胸椎OPLL的常用手術方法包括:椎板切除術,椎板成形術前路或後路骨化韌帶切除並植骨融合術等。
1.後路手術:包括後路椎管減壓術及椎管成形術(見胸椎椎管狹窄的治療)後路椎管減壓術可擴大椎管容積使脊髓後移鵻實現間接減壓的目的(圖3);但Kenji Hannai等認為後路椎板切除減壓的效果欠理想,其可能有兩個原因:一是在胸段脊柱存在的生理後凸,使得傳統的椎板切除術對脊髓的減壓有限;另外,上胸段脊髓的血供非常淺在,極易損傷。
圖32.前路手術 直接施行前路減壓治療OPLL引起的胸髓壓迫症,除可直接切除骨化物減壓外,且可能減少椎板切除術所可能引起的脊髓損傷(圖4)
圖4Kenji Hannai曾報導12例胸椎OPLL行前路手術的患者健康搜尋其中男性4,女性8例,年齡38~72歲平均53.8歲。8例入院時已不能工作,骨化範圍從胸3和胸115例在胸4範圍有大的骨化區。行前路骨化物切除植骨融合術,8例患者全部切除骨化的後縱韌帶4例患者仍發現有殘留的骨化韌帶術前JOA評分4~7分鵻,平均(5.3±0.4)分術後3個月JOA評分為1~8分平均為(6.9±0.5)分,術後1年JOA評分為1~10分,平均(7.2±O.6)分,在最後一次隨訪中評分為1~10分,平均為(6.9±0.5)分
(1)胸椎OPLL前路手術步驟要點:
①減壓範圍確定:減壓範圍取決於術前脊髓造影脊髓造影片上造影劑上行或下行時的阻礙區即為手術範圍。
②術前準備:術前1天將兩個電極插入硬膜外間隙內用以術中監測脊髓功能此點對手術至關重要。
③切口:對病變位於胸4以上者,應選擇掀起肩胛骨顯露途徑(圖5);對病變位於胸4~胸9者選用經胸入路;對病變位於胸10~胸12者選用胸腹聯合切口。
圖5④減壓:處理節段血管後,切除擬減壓範圍內椎節的椎間盤並切除椎體,顯露至椎體後壁時,使用薄型槍鉗或磨鑽小心切除後縱韌帶。骨化韌帶儘量切除徹底。
⑤植骨固定:切取髂骨塊植入減壓槽內,亦可選擇鈦網或人工椎體植入並酌情輔以鋼板固定(圖6、7)。
圖6
圖7(2)注意事項:
①在上胸段施行OPLL鵻的手術治療相當困難操作時應格外小心
②不撕破硬膜而行完全的OPLL切除相當困難,因而最好在腰段內預置管以防止術後腦脊液漏入胸腔。
③後縱韌帶切除的完全性影響手術的效果,手術效果不理想可能是由於減壓不徹底導致(圖8)
圖8