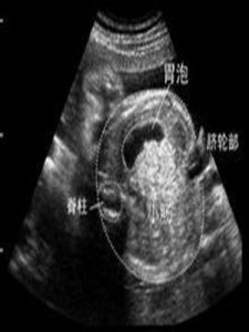
定義
胎兒胃泡稍大一般見於 兩種情況:
1、胎兒先天性幽門肥厚,這種情況多伴有胃腔增大,胃內容物增多表現,並且胃泡增大是逐漸增大。
2、是一過性增大,也稱暫時性胃泡增大,是胃內容物暫時儲留,並分解產生過多氣體造成,僅一次檢查,還不能確定是那一種情況引起,建議你一周后複查一下。從測量數據看胎兒發育情況屬正常。現在懷孕37周,臍帶繞頸是常見現象,一般不會有問題,胎兒在腹內是不斷轉動的,到臨產時,一般會自己轉回來,但也不能麻痹,應勤複查,自己平常多注意胎動,有條件可勤聽胎心,發現異常情況,及時到醫院檢查。
預防
情況危急時,邊搶救治療,邊準備剖宮產,待病人稍有好轉即刻手術,不可盲目操之過急,致產婦已衰竭的情況下更加重產傷。
妊娠30周前,臀先露多能自行轉為頭先露,無須處理。若妊娠30周后仍為臀先露,應積極予以糾正。常用的矯正方法見臀位難產的治療(妊娠期)。

