定義
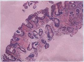
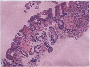
胃萎縮又叫A型胃炎。是萎縮性胃炎一種,萎縮性胃炎分為A、B型
胃萎縮胃炎。萎縮胃炎是慢性胃炎的一種。A型胃炎主要是胃部平滑肌瀰漫萎縮,其發病機制與自身免疫有關。
治療
對於合併腸上皮化生或不典型增生,有胃癌家族史應根除幽門螺桿菌治療。伴有貧血者可給於維生素B12和葉酸,中藥可用胃復春、猴菇菌片等,另外要密切隨訪觀察,定期複查胃鏡。
治療的中成藥
(1)溫胃舒膠囊
藥物組成:黨參、白朮、山楂、黃芪、肉蓯蓉等。
功用:扶正固本,溫胃養胃,行氣止痛,助陽暖中。
主治:治療慢性萎縮性胃炎、慢性胃炎所引起的胃脘涼痛,脹氣,噯氣,納差,畏寒,無力等症。
(2)陰虛胃痛沖劑
藥物組成:北沙參、麥冬、五味子、甘草等。
功用:養陰益胃,緩中止痛。
主治:用於胃陰不足引起的胃脘部隱隱灼痛,口乾舌燥,納呆乾嘔等症,臨床上主要套用在慢性淺表性胃炎、萎縮性胃炎、消化性潰瘍等病的治療。
(3)養胃舒膠囊
藥物組成:黨參、黃精、玄參、烏梅、白朮、菟絲子等。
功用:扶正固本,滋陰養胃,調理中焦,行氣消導。
主治:用於慢性萎縮性胃炎、慢性胃炎所引起的胃脘熱脹痛,手足心熱,口乾,口苦,納差等症。
(4)虛寒胃痛沖劑
藥物組成:白芍、乾薑、黨參、甘草、大棗等。
功用:溫胃止痛,健脾益氣。
主治:用於脾虛胃弱,胃脘隱痛,喜溫喜按,遇冷或空腹痛重。十二指腸球部潰瘍、慢性萎縮性胃炎等病。
(5)三九胃泰
藥物組成:三椏苦、九里香、白芍、生地、木香。
功用:消炎止痛,理氣健胃。
主治:淺表性胃炎、糜爛性胃炎、萎縮性胃炎等各類型慢性胃炎。
(6)猴菇菌片
藥物組成:猴頭菌。
功用:消炎止痛,扶助正氣。
主治:慢性萎縮性胃炎、消化性潰瘍、胃癌、食道癌等。
(7)胃乃安膠囊
藥物組成:黃芪、三七、合成牛黃、珍珠層粉。
功用:補氣健脾,寧心安神,行氣活血,消炎生肌。
主治:慢性淺表性胃炎、萎縮性胃炎、胃及十二指腸潰瘍。
(8)胃康靈膠囊
藥物組成:白芍、甘草、元胡、三七等八味藥物組成。
功用:柔肝和胃,散瘀止血,緩急止痛,去腐生新。
主治:適用於急性胃炎、慢性淺表性胃炎、慢性萎縮性胃炎、消化性潰瘍及胃出血等症。
(9)養胃沖劑
藥物組成:黃芪、白芍、淮山藥、香附、黨參、甘草、陳皮等。
功用:養胃健脾,理氣和中。
主治:慢性萎縮性胃炎。
(10)複方胃樂舒口服液
藥物組成:猴頭菌濃縮液、蜂王漿、蜂蜜等。
功用:利五臟,助消化,提高機體免疫力。
主治:用於消化性潰瘍及胃炎、慢性萎縮性胃炎的脾胃虛弱證和胃腸病恢復期的調治。
危害
有許多研究已經報告胃萎縮與上消化道腫瘤之間存在關聯。最近一項薈萃分析發現胃萎縮患者食管鱗狀細胞癌(OSCC)和胃萎縮相關的胃責門腺癌(GCA)風險增加了2~3倍,而食管腺癌(OAC)的風險可能有所下降。

