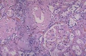
用剛果紅染色偏振光顯微鏡下觀察可見特異的蘋果綠色螢光)在血管壁及器官組織細胞外沉積為特徵鵻的健康搜尋一種進行性預後不良性疾病。澱粉樣物質可沉積於局部或全身主要累及心肝、腎、脾胃腸、肌肉及皮膚等組織。肝澱粉樣變性為全身性澱粉樣變性健康搜尋的一部分僅見於肝臟的澱粉樣變性目前尚未見報導。
相關詞條
-
肝[器官]
肝是脊椎動物身體內以代謝功能為主的一個器官,並在身體裡面扮演著去氧化,儲存肝糖,分泌性蛋白質的合成等,也製造消化系統中的膽汁。肝位於人體腹部位置,在右側...
科技名詞定義 位置 再生 功能 解剖學 -
肝[動物器官]
肝是脊椎動物身體內以代謝功能為主的一個器官,並在身體裡面扮演著去氧化,儲存肝糖,分泌性蛋白質的合成等,也製造消化系統中的膽汁。肝位於人體腹部位置,在右側...
科技名詞定義 位置 再生 功能 解剖學 -
澱粉人
澱粉人,就是患有系統性澱粉樣變性的患者。系統性澱粉樣變性是一種罕見病,身體多個器官出現嚴重的“澱粉樣沉積”,成為了“澱粉人”,隨時可能因器官衰竭導致死亡...
簡介 臨床表現 診斷方法 疾病治療 病例 -
澱粉貯積病
澱粉貯積病(amyloidosis,AL)是由多種原因造成的澱粉樣物(amyloid)在體內各臟器細胞間的沉積,致使受累臟器功能逐漸衰竭的一種臨床綜合徵...
概述 疾病名稱 英文名稱 別名 ICD號:E85.8 -
澱粉樣變病和澱粉樣關節病
澱粉樣變性(amyloidosis)是多種原因引起的一組臨床症候群,不是一個臨床獨立病種而是一組由組織結構推動的蛋白沉積病。本病最早由Wirchow於1...
疾病概述 流行病學 病因 發病機制 臨床表現 -
牛肝
牛科動物黃牛或水牛的肝,肝臟是動物體內儲存養料和解毒的重要器官,含有豐富的營養物質,具有營養保健功能,是最理想的補血佳品之一。 各種菜系都有牛肝的做法。...
中藥·一 中藥·二 食療價值 烹調方法 選購牛肝的竅門 -
肝
肝是脊椎動物身體內以代謝功能為主的一個器官,並在身體裡面扮演著去氧化,儲存肝糖,分泌性蛋白質的合成等,也製造消化系統中的膽汁。肝位於人體腹部位置,在右側...
科技名詞定義 位置 再生 功能 解剖學 -
炒肝
炒肝是北京地區滿族傳統名吃。具有湯汁油亮醬紅,肝香腸肥,味濃不膩,稀而不澥的特色。炒肝兒是由宋代民間食品“熬肝”和“炒肺”發展而來的北京小吃,以豬的肝臟...
菜品由來 菜品發展 菜品文化 製作方法 營養價值 -
鴨肝
鴨雜之一。呈大小雙葉,色紫紅,質細嫩,味鮮美。適用於炒、炸、鹵、熘等多種烹調方法肝臟是動物內儲存養料和解毒的重要器官,含有豐富的營養物質,具有營養保健功...
原料介紹 營養成分 營養分析 製作指導 食療作用

