肋骨的解剖的結構
為彎曲長條無骨髓腔的扁骨,左右共12對。肋骨分中部的體和前後兩端。肋體分內外兩面和上下兩緣。內面近下緣處有肋溝,內有血管神經通過。肋體外面後部彎曲最大之處稱肋角。後端略膨大稱肋頭,它的關節面與胸椎體上的肋凹形成關節。肋頭外側的稍細部分稱肋頸。肋頸與肋體交界處有一粗隆起稱肋結節。它上面有關節面與胸椎橫突上的橫突肋凹形成關節。前端稍寬,粗糙而微凹,接肋軟骨。
第1肋骨上下扁寬而短,體分上、下面:內側、外側緣。內側緣中間有一斜角肌結節,為前斜肌附著處,結節的前方與後方各有一淺溝橫過上面,它們是鎖骨下靜脈和動脈經過的壓跡。第1肋無肋角和肋溝。
第2肋骨較細長,為第1肋長的一倍。肋角彎度較小與肋結節非常接近。
第11、12肋骨的體窄細,肋角彎曲度很小,無肋結節和肋頸。
肋骨的解剖1、肋頭costal head
2、肋結節costal tubercle
3、肋溝costal groove
肋骨的影響解剖
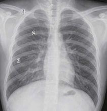
肋骨共12對,在後前位片上,因有膈影蔽蓋,只能顯示上位9對或10對。各肋呈弓形,自後上向前下走行,前半稱為前肋,後半稱為後肋。各前肋斜向內下並與後肋交叉共同構成格線狀。一般上位3對肋骨的後端位於鎖骨上方,第4後肋骨端常與鎖骨內端重疊。第1肋後端位置最高(有時與第2肋後端有重疊),肋骨小頭與第1胸椎側緣接觸。各肋前端因肋軟骨不能顯影而游離,並與縱隔影外緣之間相隔一段距離。各肋前端影較寬,密度較淡。在年齡較大者,因肋軟骨出現鈣化,則肋前端出現不整形的鈣化軟骨影。
胸部後前位圖6-1-13胸部後前位
1、鎖骨2、第5後肋3、第5前肋
肋骨的生理位置
肋骨呈弓形,可分體和前後兩端。屬於扁骨。肋骨體內面近下緣處有肋溝,肋面神經和血管在此通過。肋骨後端有肋骨小頭,與相應胸椎的肋凹構成關節。肋骨的前端接肋軟骨。肋骨和肋軟骨合起來,叫做肋,左右共有12對。第1至7對肋軟骨直接與胸骨相連,第8至10對肋軟骨依次連於上位肋軟骨而形成肋弓。肋弓是摸測肝、脾的骨性標誌。第11、12對肋軟骨的前端游離於肌肉中,稱為浮肋。

