概述
在ICTV的病毒分類第七次報告中,有664種植物病毒已經歸入了15個科的不同屬,另外尚有245種病毒由於本身具有的分類性狀有限,且對其特性了解仍不夠充分,只歸類到24個屬,沒有
提純的玉米條紋病毒模式種
水稻條紋病毒(Ricestripevirus)病毒特性
形態學病毒粒體為直徑3~10nm的細絲狀體,無包膜,經兩次蔗糖連續密度梯度離心後,形成NB、B、M2和M1四個組分,每個組分都含有一種ssRNA和一種dsRNA(複製中間產物),各組分中的粒體長度分別為2110nm、840nm、610nm、510nm,有的分離物在離心後還能得到T組分,只含有ssRNA,粒體長度為290nm,只有NB組分具有侵染性。細絲狀粒體有時呈螺鏇狀、分枝狀或環狀。
理化特性
各組分的標準沉降常數S(20W)=63~97S,全組分在氯化銫中的浮力密度為1.28g/cm^3。
玉米條紋病毒的基因組及其產物核酸
為四條線形雙義ssRNA分子,長為9000nt、3400~3600nt、2300~2500nt和2000~2200nt,玉米條紋病毒還有第五條ssRNA分子,長1300nt,而水稻草狀矮化病毒含6條RNA。核酸占病毒粒子重量的5%。蛋白質
外殼蛋白由一種多肽組成,分子質量為32kDa。
纖細病毒屬雙義RNA的表達基因組
4~6分體基因組,每條ssRNA的3'端和5'端序列約有20個鹼基對幾乎是互補的。模式種水稻條紋病毒的全基因組序列已測定,顯示其蛋白編碼呈雙義排列進行,病毒RNA1的負義鏈編碼單
玉米條紋病毒抗原特性
病毒具有良好的免疫原性。水稻條紋病毒與玉米條紋纖細病毒屬的系統發育樹病毒之間有血清學關係。細胞病理
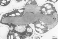
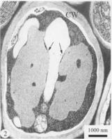
在水稻條紋病毒感染的水稻葉片細胞中,光鏡下可看到環狀、桿狀或8字形內含體,超薄切片可看到細胞質記憶體在二種異常結構,一種為電子密度較大略彎曲的長條狀結構,另一種為電子
水稻條紋病毒感染水稻條紋病毒的水稻葉片病毒,示電子密度較大略彎曲的長條狀內含體和電子密度較小的無定形體。細胞中電子密度較大的內含體(箭頭)。內含體在高倍放大時呈砂粒樣結構,可能是病毒粒子聚集體。
CH,葉綠體;CW,細胞壁;V,病毒粒子。
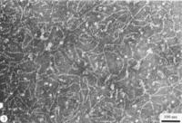
示由平行排列的細絲狀結構組成的無定型體。玉米條紋病毒在細胞質中引起的電子密度較小的無定型體(箭頭)。
生物學
寄主範圍單個病毒寄主範圍較寬,但局限於禾本科植物。水稻條紋病毒可侵染水稻、玉米、小麥、燕麥、粟及一些雜草等37種植物,玉米條紋病毒侵染玉米、高粱、羅氏草等,實驗中還可侵染大麥、黑麥、燕麥等。病毒主要引起寄主植物的褪綠條紋症狀。
傳播
水稻條紋病毒由介體昆蟲灰飛虱(Laodelphaxstriatellus)以持久方式傳播,某些情況下經卵傳播,雌蟲比雄蟲傳毒效率高。玉米條紋病毒由菲島玉米蠟蟬(Peregrinusmaidis)傳播。機械傳播困難。地理分布
水稻條紋病毒最早是在日本報導,廣泛分布於日本、朝鮮、中國大陸及台灣、烏克蘭等地。
提純的水稻條紋病毒分類
該屬有6個種和5個暫定種,模式種是水稻條紋病毒,中國已報導有水稻條紋病毒、玉米條紋病毒、水稻草狀矮化病毒等。確定種
共6個種。1稗草白葉病毒Echinochloahojablancavirus(EHBV)-
2玉米條紋病毒Maizestripevirus(MSpV)[U53224,540180,540180,558504]
3水稻草狀矮化病毒Ricegrassystuntvirus(RGSV)[AB000403,AB000404]
4水稻白葉病毒Ricehojablancavirus(RHBV)[L54073,L07940,L14952]
5水稻條紋病毒Ricestripevirus(RSV)[D01164,D31879,
D13176,X53563]
6尾粰草白葉病毒Urochloahojablancavirus(UHBV)-
暫定種
共5個種。[1]編號中文名學名
1巴西小麥穗病毒Brazilianwheatspikevirus(BWSpV)
2歐小麥條點花葉病毒Europeanwheatstriatemosaicvirus(EWSMV)
3伊朗小麥條紋病毒Iranianwheatstripevirus(IWSV)
4水稻萎蔫矮化病毒Ricewiltedstuntvirus(RWSV)
5冬小麥花葉病毒Winterwheatmosaicvirus(WWMV)
