概述
縱膈腫瘤什麼是縱膈腫瘤
縱膈這個名稱對大多數讀者來說是比較陌生的,它不是器官,而是一個解剖的區域。
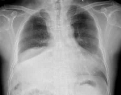
縱膈里的組織器官多,因而可發生多種多樣的腫瘤,即使腫瘤很小也會引起循環、呼吸、消化和神經系統的功能障礙。兒童縱膈腫瘤的發病率較成人為低,但癌變機會多。約有2/3的病兒早期有咳嗽、低熱、呼吸困難等症狀,這是和兒童胸腔容量小有關。有些病兒在胸部X線檢查時偶爾發現,如果是惡性腫瘤則有貧血和消瘦現象。發現上述症狀應及早就醫,醫生可由胸部X攝片來確定腫瘤部位和大小,通過超音波檢查得知腫瘤的性質
縱膈腫瘤的症狀
多數良性縱膈腫瘤臨床上常無症狀,多於體檢時發現。惡性縱膈腫瘤常見的症狀有:
1、胸悶胸痛是各種縱膈腫瘤最常見的症狀,如果疼痛劇烈,病人難以忍受者多為惡性腫瘤。
2、呼吸道壓迫症狀,當腫瘤壓迫或侵犯肺、支氣管時,常引起可嗽、氣短,嚴重時發生呼吸困難。腫瘤潰破會產生肺不張和肺內感染。
3、神經系統症狀,交感神經受壓表現為眼瞼下垂,瞳孔縮小,眼球內陷等;喉返神經受壓表現為聲音嘶啞;累及膈神經引起呃逆、膈肌麻痹。
4、心血管症狀,心慌、心律不齊、面部、頸部水腫。
5、吞咽困難,腫瘤壓迫或侵犯食管引起的。
縱膈腫瘤的化驗檢查
(1)X線檢查:常規胸部正側位,X線照片及透視檢查,可作出初步診斷。進一步檢查方法有:支氣管造影,斷層造影,血管造影及縱隔充氣造影等。
(2)內窺鏡檢查。
縱膈腫瘤(3)放射性同位素檢查。
(4)經皮穿刺活檢。
(5)試驗性放射治療。
(6)活體組織檢查。
(7)電子計算機X線分層攝影檢查(CT)。
(8)剖胸探查或胸骨縱劈切開,切除腫塊或活體組織病理檢查,確定診斷,及時手術治療。
縱膈腫瘤的診斷
1、胸悶、胸痛、咳嗽、氣短是最常見的症狀。
2、體檢可有胸骨隆起,頸部或鎖骨上淋巴結腫大,局限姓哮鳴音,或出現上腔靜脈綜合徵。
3、X線檢查可見縱膈腫塊陰影或囊性陰影。
4、CT和核共振檢查可見縱膈占位病變。
5、縱膈腫塊穿刺活檢,細胞學檢查以明確診斷。
縱隔腫瘤的臨床表現
1.常見症狀如下:
(1)呼吸道症狀:胸悶、胸痛一般發生於胸骨後或病側胸部。大多數惡性腫瘤侵入骨骼或神經時,則疼痛劇烈。咳嗽常為氣管或肺組織受壓所致,咯血較少見。
(2)神經系統症狀:由於腫瘤壓迫或侵蝕神經產生各種症狀:如腫瘤侵及膈神經可引起呃逆及膈肌運動麻痹;如腫瘤侵犯喉返神經,可引起聲音嘶啞;如交感神經受累,可產生霍納氏綜合症;肋間神經侵蝕時,可產生胸痛或感覺異常。如壓迫脊神經引起肢體癱瘓。
(3)感染症狀:如囊腫破潰或腫瘤感染影響到支氣管或肺組織時,則出現一系列感染症狀。
(4)壓迫症狀:上腔靜脈受壓,常見於上縱隔腫瘤,多見於惡性胸腺瘤及淋巴性惡性腫瘤。食管,氣管受壓,可出現氣急或下咽梗阻等症狀。
(5)特殊症狀:畸胎瘤破入支氣管,患者咳出皮脂物及毛髮。支氣管囊腫破裂與支氣管相通,表現有支氣管胸膜瘺症狀。極少數胸內甲狀腺腫瘤的病人,有甲狀腺機能亢進症狀。胸腺瘤的病人,有時伴有重症肌無力症狀。
縱膈腫瘤的輔助治療
1,縱隔腫瘤的食療方法
縱膈腫瘤的治療在醫療實踐中,都是通過放療,化療,手術治療等措施。但是,為什麼在接受完治療後還是在繼續生長。科學研究表明,癌細胞,腫瘤細胞生存的環境都是酸性的。手術等治療是在殺死癌細胞,同時對正常的細胞也有損害。病人在接受完治療後,體質越來越虛弱。根本原因在於癌細胞生存的環境是酸性的,環境改變不了。它就會繼續的生長,惡化。通過鹼性食物的食入,改變人體的環境。不給細胞供養它沒有了生存的環境就不會在繼續生長。首先可以控制不再繼續惡化,隨著體液的改變就會慢慢的變小。食療是從源頭上開始控制癌細胞的生長,也是最徹底的治療方法。多吃鹼性食品,改善自身的酸性體質,同時補充人體必須的有機營養物質,這樣才能在餓死癌細胞的同時,恢復自身的免疫力。常遇到由於病人和家屬的猶豫,誤了治療的時機,以致腫瘤生長很快侵入到重要臟器或者轉為惡性失去了治療的機會,值得引以為誡。
2,縱膈腫瘤患者如何進行心理治療
縱膈腫瘤患者得首發症狀往往是胸部憋悶,咳、喘,透不過氣來等,常讓人有一種十分恐懼的“瀕死感”,再加上這類患者...因此,作為心理治療的首要環節,就是糾正人們對縱膈腫瘤的極度恐懼之認識,
縱膈腫瘤患者得首發症狀往往是胸部憋悶,咳、喘,透不過氣來等,常讓人有一種十分恐;懼的“瀕死感”,再加上這類患者大都須行開胸術,十分可怕,且有復發之危險,故人們對其恐懼,也可想而知。因此,作為心理治療的首要環節,就是糾正人們對縱膈腫瘤的極度恐懼之認識,告訴他們;大多數這類病症患者經過中西醫學的合理綜合治療是可以康復的,讓他們首先具有戰勝疾病的勇氣與信念,能積極配合治療。
這類患者的兼症很多,如惡性貧血,重症肌無力,胸腔積液等,許多對西醫來說,不治之症,病人們常因此而極度悲觀、失望、沮喪。其實不然,至少這類兼症,我們用中藥方法成功控制過多例,因此,首先要讓病人在認識上有正確看法,信念上要積極、堅定。
本病的治療周期較長,如何幫助患者保持思想閒靜、開朗樂觀、形成熱愛生命的平和心境,也很重要,它有利於促進患者康復,防止復發和轉移。
3,常見的酸性食物和鹼性食物
1.強酸性食品:蛋黃、乳酪、白糖做的西點或柿子、烏魚子、柴魚等。
2.中酸性食品:火腿、培根、雞肉、鮪魚、豬肉、鰻魚、牛肉、麵包、小麥、奶油、馬肉等。
3.弱酸性食品:白米、落花生、啤酒、酒、油炸豆腐、海苔、文蛤、章魚,泥鰍。
4.弱鹼性食品:紅豆、蘿蔔、蘋果、甘藍菜、 洋蔥、豆腐等。
5.中鹼性食品:蘿蔔乾、大豆、紅蘿蔔、蕃茄、 香蕉、橘子、番瓜、草莓、蛋白、梅乾、檸檬、菠菜等。
6.強鹼性食品:恰瑪古、葡萄、茶葉、海帶芽、海帶,檸檬等。

