代表種
馬鈴薯黃矮病毒(Potato yellow dwarf virus)特徵
形態學
病毒粒子形狀和大小在未經固定時呈規則到多型性,在負染色前經固定後呈桿
理化特性
相對分子質量為1100×10^6,標準沉降常數S(20W)=810~950S,在蔗糖中的浮力密度為1.17g/cm^3。核酸
為單分子線形負義ssRNA,長11~15kb,相對分子質量4.2×10^6
蛋自質
約占病毒粒子重量的70%,馬鈴薯黃矮病毒有5種結構蛋白,分別為蛋白L(分子質量24kDa),蛋白G (70kDa)、蛋白N(54kDa),蛋白M1(32kDa)和蛋白M2(38kDa)。脂類
約占病毒粒子重量的25%,包含在脂蛋白包膜中。碳水化合物
約占病毒粒子重量的3%,與表面突起及糖脂結合。基因組
前導序列的轉錄是聚腺苷酸化的,N為54kDa的核衣殼蛋白基因,P推測為38kDa的磷酸化蛋白基因,SC4可能為37kDa非結構蛋自基因,M推測為32kDa的基質蛋白基因,G推測為70kDa的糖蛋白基因,L推測為241kDa的聚合酶基因。基因間隔區的長度基本一致,並與其他彈狀病毒的基因間隔區具有序列同源性,5‘端非編碼區160nt與前導序列高度互補。N和P蛋白含有核結合信號,且存在於核內含體中,由N、P、L蛋白組成的核聚合酶複合物存在於受侵染細胞的核中。水稻黃矮病毒基因組大小約14kb,基因組結構類似於苦苣菜黃網病毒,只是在G與L蛋白之間還有一個編碼病毒相關蛋白的基因。該屬目前只有水稻黃矮病毒和苦苣菜黃網病毒的RNA已測序。抗原特性
病毒具有中等免疫原性。細胞病理
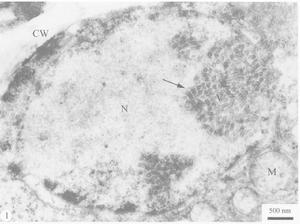
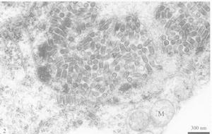
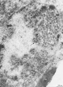
病毒存在於寄主植物的葉片表皮、薄壁組織以及花和果皮中,也在韌皮部薄壁細胞中觀察到,但不在成熟的篩管和導管中。免疫螢光標記顯示病毒抗原位於細胞核內,在植物和介體昆蟲體內病毒的組裝部位在核內膜上,有的也發生核內組裝,往往從核內膜芽生,完整的病毒粒子積累在核周腔中,有時可在核質內看到核衣殼,表明核衣殼是從核內膜獲得包膜並進入核周腔。核內結構常發生紊亂,包括染色質變淡和消失,核仁膨脹,以及出現病毒基質結構。感染後期也可在細胞質的內質網池中觀察到病毒粒子。單個或成群的桿菌狀粒子也在介體昆蟲的唾液腺、消化道組織中觀察到,位於核周腔及內質網池內。
![]() | ![]() | ![]() |
示細胞核內染色體變淡,典型的彈狀病毒粒子積累在核周腔中(箭頭)。 | 放大的細胞核周腔區域,聚集著大量完整的RYSV彈狀粒子,個別粒子處在細胞質中。CW,細胞壁;M,線粒體;N,細胞核;V,病毒粒子。 | 病毒從細胞核內膜芽生獲得包膜(箭頭),大量積累在核周腔中,可占據細胞核的較大部分體積。CH,葉綠體;M,線粒體;N,細胞核。 |
生物學
寄主範圍
馬鈴薯黃矮病毒寄主範圍廣泛,可侵染茄科、菊科、十字花科、唇形科、豆科、寥科和玄參科等雙子葉植物60餘種。傳播
病毒由葉蟬以持久方式傳播,可在蟲體內越冬,不能經卵和精子傳代,但也有報導偶爾可經卵傳代。實驗中可經汁液接種傳毒給黃花煙、心葉煙。地理分布
馬鈴薯黃矮病毒分布於美國、加拿大。玉米花葉病毒廣泛分布於夏威夷及古巴、委內瑞拉等加勒比海國家,可能還有印度。分類
該屬有7個種,代表種是馬鈴薯黃矮病毒,中國已報導水稻黃矮病毒等。編號 | 中文名 | 學名 | 國際基因庫登錄號碼 |
1 | 曼陀羅黃脈病毒 | Datura yellow vein virus(DYVV) | - |
2 | 茄斑駁矮縮病毒 | Eggplant mottled dwarf virus(EMDV) | - |
3 | 玉米花葉病毒 | Maixe mosaic virus(MMV) | - |
4 | 馬鈴薯黃矮病毒 | Potato yellow dwarf virus(PYDV) | - |
5 | 水稻黃矮病毒 | Rice yellow stunt virus(RYSV) | [X75534,U47053,D87843, |
D87844,AB002822, | |||
AB010258,AB003092,D89654] | |||
6 | 苦苣菜黃網病毒 | Sonchus yellow net virus(SYNV) | [M13950,M17210,M23023, |
M35689,M73626,M87829] | |||
7 | 苦苣菜黃脈病毒 | Sowthistle yellow vein virus(SYVV) | - |



