流行病學
立克次體痘自1946年有本病的描述以來,世界各地陸續發現。主要貯存宿主是小家鼠。血紅異皮蟎是主要的傳播媒介(鼠類體外寄生蟲)。小株立克次體在鼠-革蟎-鼠的循環中傳遞。血紅異皮蟎的成蟲可多次吸血,當其離開鼠體(如鼠死亡等)或找不到鼠為宿主時可侵犯人,使人受立克次體痘感染。本病在城市發生較多,一戶多例亦常見,其發病與小家鼠數量有關。全年都可發生,5~7月較多性別與年齡和發病率無明顯相關。
病因
小株立克次體屬於斑點熱立克次體群,其形態與其他斑點熱立克次體相同,培養特性亦頗相似此種病原體能使雄豚鼠產生睪丸鞘膜炎致陰囊紅腫。小株立克次體有特異的顆粒性補體結合原。其可溶性抗原與斑疹傷寒立克次體抗體有部分交叉反應。
發病機制
本病由血紅異皮蟎叮咬後,病菌侵入人體先在局部淋巴結和單核巨噬細胞系統繁殖然後形成小蛛立克次體血症,造成全身小血管和毛細血管的損害。
臨床表現
潛伏期10~21天。人被叮咬後,叮咬部位無痛也不被注意1周后至10天患處出現炎症反應由於局部細胞水腫、增大、變硬而形成1~1.5cm的紅斑隨後局部皮膚逐步分離形成水皰最後壞死變成潰瘍。潰瘍基底部通常為黑色邊緣繞以紅斑。再經3~7天,患者突然起病,發熱伴有畏寒、寒戰、大汗淋漓、頭痛、食慾缺乏和畏光。體溫38~40℃,通常持續一周患者在發熱期間有頭痛、倦怠肌肉疼痛,然後體溫漸退。熱程第2~4天,軀幹四肢以至黏膜有稀疏、散在的皮疹主要分布於軀幹和腹部,罕見於手掌和足底。由斑丘疹而變成皰疹水皰比較硬實,周圍有紅暈,乾枯後形成棕色痂皮,脫落後不留瘢痕皮疹約持續1周不侵犯內臟。
診斷
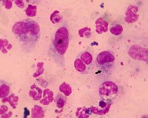
臨床表現與水痘相似。立克次體的水皰發生在丘疹之上,整批同時發生而不像水痘此起彼伏,數量較水痘少發疹前在蟎咬處有初瘡。發病可見任何年齡根據這些特點可與水痘區別而作出臨床診斷。實驗室檢查可做補體結合試驗,但須注意與斑疹傷寒立克次體抗原有一定的交叉反應。也可用豚鼠或小家鼠分離病毒取痘皰漿液塗片,進行免疫螢光染色,可作出快速診斷。外-斐反應為陰性。白細胞計數常常減少。
鑑別診斷:
本病須與水痘、傷寒傳染性單核細胞增多症及斑點熱相鑑別。
檢查
取痘皰漿液塗片進行免疫螢光染色,可作出快速診斷。外-斐反應為陰性。白細胞計數常常減少。
治療
本病為良性自限性經過,即使不用藥物,預後也很好。藥物治療可參照其他立克次體病四環素、多西環素可縮短熱程並促進痊癒。痊癒後無復發。
預後
本病為良性自限性經過,即使不用藥物,預後也很好。
