相關
空泡蝶鞍
空泡蝶鞍原發性空蝶鞍一般不需治療,如並發腦脊液鼻漏應經蝶手術治療,有明顯垂體前葉功能減退者,可作激素替代治療。

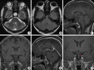
空蝶鞍綜合徵系指蛛網膜下腔伸展至蝶鞍內,使垂體縮小、壓扁,蝶鞍擴大,可引起一定的臨床症狀。可為原發性,也可繼發於垂體瘤手術或放療後。
空泡蝶鞍
空泡蝶鞍蝶骨在顱中窩中間部分高起,形如馬鞍的骨結構。蝶鞍中央凹陷叫垂體窩,容納腦垂體。正常情況下,蝶鞍與腦垂體之間緊密相貼,幾乎沒有空隙。當各種病理因素導致蝶鞍...
定義 發病原因 表現及診斷 檢查 並發病空泡蝶鞍綜合徵 emptysellasyndrome 系因鞍隔缺損或垂體萎縮,蛛網膜下腔在腦脊液壓力衝擊下突入鞍內,致蝶鞍擴大,垂體受壓而產生的一系列臨...
病因 臨床表現 診斷說明 鑑別診斷 治療說明空蝶鞍綜合徵(emptysellasyndrome)系因鞍隔缺損或垂體萎縮,蛛網膜下腔在腦脊液壓力衝擊下突入鞍內,致蝶鞍擴大,垂體受壓而產生的一系列臨床...
疾病分類 發病原因 病理生理 臨床表現 診斷及鑑別診斷空鞍綜合徵(emptysellasyndrome)是指蛛網膜下腔疝入垂體窩內,使垂體受壓變形及蝶鞍擴大引起的1組綜合徵。女性病人多見,占80%~90%。...
疾病描述 症狀體徵 疾病病因 病理生理 診斷檢查空鞍綜合徵(empty sella syndrome)是指蛛網膜下腔疝入垂體窩內,使垂體受壓變形及蝶鞍擴大引起的1組綜合徵。空鞍綜合徵一詞最早於1949...
流行病學 病因 發病機制 臨床表現 診斷蝶鞍是顱內骨結構的解剖學名稱,指的是蝶骨在顱中窩中間部分高起,形如馬鞍的骨結構。 蝶鞍中央凹陷叫垂體窩,容納腦垂體。 正常情況下,蝶鞍與腦垂體之間緊密相...
臨床套用空鞍綜合徵是指蛛網膜下腔疝入垂體窩內,使垂體受壓變形及蝶鞍擴大引起的1組綜合徵。空鞍綜合徵一詞最早於1949年由Sheehan和Summers曾用於描述...
概述 病因 症狀 檢查診斷