基本信息
真紅增多症血象骨髓象真性紅細胞增多症是以紅細胞異常增殖為主的一種慢性骨髓增殖性疾病。可能因造血幹細胞不受紅細胞生成素的正常控制而自行增殖,或造血幹細胞對紅細胞生成素的敏感性增高及異常骨髓增殖 因子的刺激所致。以紅細胞容量,全血總容量和血液黏滯度增高為特徵。在病程中均有不同程度的脾腫大、髓樣化生、骨髓纖維化等。該病以皮膚黏膜淤斑、淤點或內臟出血為主者,屬中醫“血證”範疇;以肝脾腫大為主者,屬中醫“積聚”範疇。
中老年男性多見。臨床表現為皮膚及黏膜呈紅紫色,尤以頸、頰、唇、耳、鼻、四肢遠端為甚,眼結合膜充血,呈醉酒面容。其他還有頭痛、頭脹、眩暈耳鳴、神疲乏力、肢體麻木等症狀,嚴重者可發生視力模糊,視野縮小、復視、皮膚瘙癢,有1/3可有血栓形成,造成周圍、腦及冠狀血管的栓塞,易並發十二指腸潰瘍、痛風濕性關節炎等。
病因
本病病因尚不清楚,認為紅細胞增多是紅細胞生成增多的結果,而並非紅細胞壽命延長所致。研究提示,紅細胞的增生與造血幹細胞的異常有關。
診斷
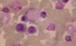
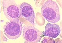
診斷主要依據臨床特徵及血液學特徵。血容量增加可多達120-240毫升/公斤(正常為65-90毫升/公斤),紅細胞壓積>50%,血沉降顯著減慢,紅細胞大多在700萬-1000萬/立方毫米,血紅蛋白可達18—24克/分升以上,常伴有白細胞(1-3萬/立方毫米粒細胞核左移),血小板(40-100萬/立方毫米)等增多,網織紅細胞正常或偏高,中性粒細胞、鹼性磷酸酶積分大多升高。骨髓增生明顯活躍,粒與幼紅細胞比例下降。鐵染色顯示,骨髓內血存鐵減少。
治療
靜脈放血治療現代醫學治療本病主要採用靜脈放血,馬里蘭、環磷醯胺等化療及放射性核素磷(32P)的治療等。
本症在中醫學中其本多屬肝熱血滯的實證、營氣過實和血分鬱熱,其標為肝陽、肝火、氣滯、血痰。治療時應根據標本緩急清營涼血、消滯,活血化瘀、清熱解毒,佐以瀉肝火,平肝陽等法。
臨床療效]治療25例,痊癒(症狀體徵完全消失,紅細胞、血色素均恢復正常)23例,好轉(紅細胞、血紅蛋白、白細胞均有下降,但未恢復正常)2例
現狀及展望
真性紅細胞增多症(polycythemiavera, PV)簡稱“真紅”,是一種獲得性克隆性多能幹細胞的骨髓增殖性疾病。臨床特點是發病緩慢, 病程較長, 紅細胞明顯增多, 全血容量增多, 常伴以白細胞及血小板數增多, 皮膚及黏膜紅紫色, 脾腫大。
如今西醫治療方法有: 靜脈放血, 放射核素32p, 造血抑制藥( 如: 羥基脲、白消安、苯丁酸氮芥、環磷醯胺、三尖極酯鹼等) , 干擾素治療, 對症治療。
祖國醫學中無真紅的病名, 根據其臨床症狀, 可將其歸為“瘀證”、“ 瘕”、“血證”等範疇。辨證可有瘀血、肝火熱毒、氣虛之別, 因而治療上活血化瘀, 清肝瀉火, 清解熱毒,補氣活血四法。
1 活血化瘀
大龍[1]報導採用活血化瘀法治療20 例PV 病人, 全部病人均採用水蛭等活血化瘀藥, 及潘生丁、降壓靈。近期療效較好: 病人主要表現頭疼、頭暈。症狀消失, 肝臟縮小, 脾臟縮小。血象: 治療後血蛋白13 例降至正常, 其餘均不同程度的下降。遠期療效一般。中藥治療本病療效明顯, 長期服用對心、肝、腎未發現損害, 未發現骨髓抑制, 但縮肝脾和降白細胞作用不明顯。
奎傑[2]認為真紅辨證多為血瘀氣鬱兼濕熱傷陰, 同時兼見肝胃失調、肺胃失調等臨床表現, 故治療採用以下兩組方藥:
一是活血化瘀養陰清熱,
常用藥: 丹參、當歸、赤芍、白芍、丹皮、紅花、益母草、大黃炭、三七根、生地、元參、生龍牡、龍膽草、青黛、茯苓、甘草。
二是活血化瘀、
氣和胃, 常用藥: 丹參、當歸、赤芍、白芍、蒲黃、五靈脂、大黃炭、砂仁、川朴、佛手、半夏、茯苓、甘草, 並隨症加減。
李文峰[3]以活血化瘀為法自擬活血降紅湯治療3 例, 藥物組成: 桃仁、水蛭、丹皮、赤芍各10g, 生地、紫草各15g, 益母草20g, 丹參、葛根各30g, 紅花、甘草各6g。
韓繼誠[4]認為真紅是造血系統腫瘤疾病, 套用具有抗癌、解毒、清肝熱的卷柏、紫草配合活血化瘀的中藥治療, 可獲得明顯效果。擬真紅緩解湯治療11 例。辨證分3 型:
① 血瘀型。② 血熱型。③ 中風型。真紅緩解湯
主藥卷柏60g、紫草9g。血瘀型加赤芍9g, 川芎9g,紅花5g, 莪術6g, 桃仁6g。血熱型加丹皮、知母、麥冬、茜草各9g, 生石膏24g。中風型加夏枯草12g, 龍膽草、梔子、水蛭各9g, 紅花5g。
2 清肝瀉火
遼寧[5]真性紅細胞增多症研究協作組報導採用龍膽瀉肝飲為主方治療PV 患者22 例。
四診合參, 辨證分三型:
①溫熱型, 治以瀉肝清熱, 涼血解毒。
② 肝膽實熱型, 治以瀉肝清熱散瘀解毒。③ 瘕型, 治以活血化瘀, 佐以清肝解毒。方藥: 龍膽草、山梔、黃芩、柴胡、生地、澤瀉、丹皮、知母、菊花、紫草。結果完全緩解6 例( 27%) , 明顯緩解11 例( 50%) , 部分緩解5 例( 23%) , 總緩解率77%。
王大恩[6]等採用瀉肝活血法治療PV 患者10 例, 藥物: 龍膽草10g, 炒山梔12g, 黃芩12g, 柴胡10g, 桃仁10g, 紅花10g, 當歸10g, 川芎10g, 赤10g, 澤蘭10g, 莪術15g, 黃芪15g, 水蛭10g, 雞血藤15g, 丹參30g, 清黛10g( 包煎) , 結果臨床緩解5 例, 好轉3 例, 無效 2 例。
3 清解熱毒
吳翰香[7]認為本病多因熱毒內蘊, 日久傷及營血, 脈絡損傷, 血瘀脈阻, 肝脾腫大、皮下出血。治宜活血化瘀、清熱解毒、標本同治。周仲英[8]教授治療一例真紅患者, 辨證為濕熱內淫營血, 鬱熱瘀阻脈絡。治以涼血化瘀、清熱去濕之法。處方: 水牛角( 先煎) 、白鮮皮、地膚子、海桐皮各15 g,赤芍、生地、白薇各12 g, 紫草、玄參、制首烏各10g, 龍膽草5g, 生甘草3g。隨訪2 年, 病情穩定。劉大同[9]自擬降紅湯治療PV2 例並隨訪2~5 年, 療效較好。藥物組成: 白花蛇舌草、知母各30g, 半枝蓮、赤芍各25g, 川芎、虎杖各20g, 漏蘆、丹參各50g, 黃柏、三棱、莪術、黃藥子各15g, 青黛5g, 雄黃粉1g( 沖) 。
4 補氣活血
傅紅衛[10]認為真紅多因先天腎氣不足, 後天脾胃虛弱,氣機失調, 氣虛則血行不暢, 血虧則脈道不充血流緩慢, 日久脈絡瘀阻, 甚則閉塞不通。鄭氏[11]採用血府逐瘀湯合益氣養陰方治療15 例病人, 臨床緩解10 例, 好轉5 例, 認為PV病機瘀血為標實, 氣陰兩虛為本虛, 治療應標本兼治, 活血化瘀佐以益氣養陰。方用: 桃仁、紅花、赤芍、當歸、川芎、柴胡、枳殼、黃芪、黨參、茯苓、白花蛇舌草、半枝蓮、麥冬、女貞子、甘草。
從以上中醫治療真紅來看, 中醫治療在改善症狀上有優勢, 但治療上尚需要改進:
① 中醫治療真紅病例較少, 多數為個案報導, 診治上缺乏規範。如今真性紅細胞增多症西醫診斷十分嚴格, 需要與相對性紅細胞增多症, 繼發性紅細胞增多症相鑑別, 除血紅蛋白外, 須在紅細胞容量, 動脈血氧飽和度, 白細胞總數, 血小板總數, 脾臟腫大, 骨髓象, 中性粒細胞鹼性磷酶, 血清及尿中紅細胞生成素等方面鑑別,使診斷明確。
② 真性紅細胞增多症常見合併症有高血壓, 出血, 血栓形成( 腦血管, 上下肢血管, 冠狀動脈, 腸系膜動脈,肝靜脈, 脾的血管等) , 胃及十二指腸潰瘍, 腎結石, 膽結石,痛風性關節炎, 骨髓纖維化, 白血病等。我們中醫治療就顯得有些粗糙, 應在活血化瘀治療大法基礎上, 對各種併發症進行中醫再辨證, 使治療細化, 才能收到較好的療效。而且中醫藥在高血壓, 出血及血栓形成, 胃及十二指腸潰瘍治療上確有獨特優勢。
③ 中醫藥應加強實驗研究, 應在理代醫學研究方法下找到行之有效藥物。如廣州中醫藥大學[12]探討活血祛瘀法治療真性紅細胞增多症的作用機理, 選取真性紅細胞增多症初治或未緩解的住院及門診患者10 例, 以活血祛瘀藥治療12 周, 並設立正常對照組。在治療前, 治療1周、4周、8 周、12 周採用TUNEL 法檢測患者骨髓單個核細胞的凋亡率, 以免疫組化法檢測治療前後Bcl- 2, P53 基因,用原位雜交法檢測上述基因mPNA 表達。結果證實活血祛瘀法治療真性紅細胞增多症的起效時間可能在治療後第8周達到高峰, 此後若繼續用藥, 其療效可能趨於平穩。其機理之一可能是通過調節Bcl- 2, P53 基因及其mRNA 水平表達, 從而誘導真性紅細胞增多症骨髓單個核細胞凋亡。
現代醫院[13]從真性紅細胞增多症患者造血乾、祖細胞的異常克隆性, 患者造血乾、祖細胞的高增殖性( 造血細胞EPO受體信號系統的改變, 造血細胞TPO 受體信號系統的改變, 造血細胞PRV1 受體過量表達, 造血乾、祖細胞信號傳導過程中酷氨酸磷酸酶PTP) 的改變) , 患者造血乾、祖細胞低凋亡性上已經取得一些研究進展, 中醫藥工作應借鑑以上研究, 使中醫藥對真性紅細胞增多症研究也能深入具體。
自然療法治療
所謂"真紅"是一種原因不明的骨髓增生性疾病。此病的特徵是血總容量及細胞容量顯著增多。同時白細胞及血小板也出現異常;病人皮膚呈紫紅色,毛細血管過度充盈,肝脾腫大不時出現各種血管舒張性和神經性症狀,病人自覺有周身發熱、眩暈、心慌、胸悶、頭痛、噁心、失眠、多夢、食慾不佳、大便乾結,小便赤黃等多種病感。
此類病症,醫院一般常以化療,或者"放血",將體內膨脹的血液排出體外,尤其是"放血"能收立竿見影之效。不過這只是一種點水止沸的方法,只能解一時燃眉之急,但痛苦大,病人不易接受。中醫治療此類病症則是採用釜底抽薪的方法,換句話說,是用自然療法綜合治理。臨床實踐證明,療效較好。這種自然療法綜合治療經濟、簡便、容易做到。所謂綜合治療,是以藥物療法、飲食療法和氣功療法互相配合的一種治療方法。
(一) 藥物療法 由於年齡、體質不同需遵醫生用藥之外,可配合服用羚羊粉和牡蠣。
(1)羚羊粉,每日服用0.5克,用以消除體內病毒,淨化血液。
(2)牡蠣,每日以30克開水沖泡代茶飲用。牡蠣藥性鹹,微寒,能斂陰、潛陽、止汗,軟堅散結。現代藥理研究牡蠣有抗癌作用。
(二) 飲食療法
(1)食用仙人掌。
仙人掌藥性苦寒,能行氣活血,清熱解毒,對熱毒血淤,脈絡不通,有明顯療效。食用方法:取仙人掌一枚,將刺剝去,洗淨後剁碎,取雞蛋 1枚,去殼與仙人掌攪拌均勻,炒熟食用。用後大便次數可能增多,但每日不超過3次為度。
(2)食用黑木耳。
黑木耳藥性甘平,富含碳水化合物、無機鹽、硫、鎂以及維生素B,有滋陰生津,活血抗癌的功效,能稀釋血小板凝聚,降低血液粘稠度。
(3)生吃白蘿蔔。
白蘿蔔含有豐富的木質素,能提高巨噬細胞的活動能力,吞噬突變的細胞,增強體內免疫力。
(三) 學鍊氣功
氣功是中華國粹,文化瑰寶,實踐證明,練功特別是練智慧型功,確有修身養性強身健體的作用。患者進行藥療和食療的同時輔之以智慧型功而且堅持不懈,對調節情緒,提高免疫力,增進健康有難以匹敵的功能。
真性紅細膩增多症的表現: 真性紅細胞增多症是一種以紅細胞增多為主的骨髓增生性疾病,嚴重者可導致心肌梗死 中風 偏癱 腎功能不全。真性紅細胞增多症是紅細胞與總血容量增多的疾病。中、老年人多見,男性多於女性。起病緩慢。早期可有頭痛、頭暈、疲乏、健忘等表現,以後可有手足麻木、多汗、視力障礙、皮膚瘙癢、消化性潰瘍等表現。面部皮膚和黏膜明顯紅紫,眼結膜充血。
化驗檢查:血液色深而稠,總血容量高於正常,紅細胞計數大多數為700~1000萬 /立方毫米,血紅蛋白可高達18~24克%。如嚴重併發症者,病程發展緩慢。併發症主要有出血、血栓形成和栓塞。治療有靜脈放血、放射性核素治療及化療等。

