概述
白血病M5,是急性粒-單細胞白血病,臨床上是以肝、脾、淋巴結腫大,以及出血為主,但經過有效的治療,配型上合適的造血幹細胞,移植過程中不出意外,移植後積極有效的預防和治療移植物抗宿主病,應該是可以治癒的。
兩種亞型
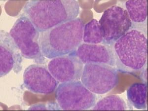
(1)M5a型(末分化型):骨髓中原單核細胞顯著增生,大於或等於80%(NEC),幼單核細胞較少。白血病細胞單一,該類細胞類圓形或不規則形,胞核可有凹陷、摺疊,染色質疏鬆,呈細網狀,核仁明顯,胞質呈藍灰色,可有偽足突出,部分細胞胞質中可見細長的Auer小體;
(2)M5b型(部分分化型):骨髓中可見分化不一單核系的白血病細胞,原單核細胞小於80%(NEC),幼單核細胞較M5a明顯增多,可大於20%。白血病細胞大小不一,形態不規則,可形如拖尾狀;胞核有摺疊,呈筆架形、馬蹄形、腎形、S形等,染色質網狀或條索狀,胞質量豐富呈藍灰色,可有粗細不一紫紅色顆粒,常有明顯偽足。
臨床表現
(1)齒齦增生、腫脹、出血、潰瘍、壞死等較多見;
(2)鼻黏膜浸潤、鼻塞、嗅覺減退、硬齶潰爛、咽喉水腫引起窒息等;
(3)皮膚白血病病損多見,可表現為彌散性斑丘疹,硬性結節,腫塊,膿皰性、大皰性或剝脫性皮炎等;
(4) 腸壁浸潤、潰瘍、胃腸功能紊亂等相對易見;
(5)腎功能衰竭、蛋白尿較多見,與單核細胞及粒細胞富含溶菌酶-易形成溶菌酶血症及溶菌酶尿有關;
(6)關節疼痛與腫脹相對多見;
(7)在治療上,急粒單與急單的療效較其他急性非淋巴細胞白血病為差.
實驗診斷
1.血象:血紅蛋白和紅細胞數呈中度到重度減少,大多數患者白細胞數偏低,分類以原單和幼單核細胞增多為主,可占細胞總數的30%~45%.未分化M5a以原單細胞為多、部分分化型M5b以幼單和單核細胞為主。兩型血小板均重度減少。
2.骨髓象:骨髓增生極度活躍或明顯活躍。原單加幼單細胞大於30%.M5a以原單細胞為主,可大於80%(NEC或單核系細胞),幼單細胞較少。M5b中原單、幼單及單核細胞均可見到,原單細胞小於80%.白血病細胞中有時可見到1~2條細而長的Auer小體。
3.細胞化學染色
1.POX和SB染色: 原單核細胞是陰性和弱陽性反應,而幼單細胞多數為陽性反應。
2.PAS染色: 原單細胞約多數為陰性反應。半數呈細粒狀或粉紅色弱陽性反應,而幼單細胞多數為陽性反應。
3.酯酶染色: 非特異性酯酶染色陽性,可被氟化鈉抑制,其中α-丁酸萘酚酯酶(α-NBE)醫學教|育網蒐集整理染色診斷價值較大。
4.免疫學標誌:白血病細胞表面抗原表達CD11、CD13、CD14、CD15、CD33、CD34、HLA-DR.
5.染色體和分子生物學檢驗:t/del(11)(q23)約見於22%M5型,染色體的缺失和易位均累及11q23帶的HRX基因(MLL基因),以t(9;11)易位致MLL-AF9融合基因及t (11;19)易位致MLL-ENL融合基因最多見。
治療方案
化學治療
(1) 引導緩解期:發病最初4-5周為引導期,化學製劑引導骨髓恢復正常功能,使血球數目正常。如果緩解成功,即停止治療,經過1-2月至一年,白血病仍會復發。所以引導期後仍須進行下一階段鞏固療法。
(2) 鞏固期:此時需要更換不同醫療製劑,將殘存的癌細胞消滅,理想結果是將癌細胞減至萬分之一以下的理想數目。此療程約進行2-3周。
(3)維持期:鞏固期結束後進入維持期,治療方法簡單,定期靜脈注射及口服化學製劑,約需兩年時間。
骨髓移植
(1)自體骨髓移植:抽取病人接受化學治療後達到完全緩解時的骨髓冷藏在超低溫的液態氮中,再對病人施行超高劑量化學治療及全身放射線治療,以消滅身體殘存癌細胞。之後再將先前冷藏的骨髓解凍後輸回病人身體。
(2) 異體骨髓移植:病人同樣要接受同自體骨髓移植病人的治療,只是輸入體內的骨髓沒有經過冷藏程式,捐贈者當天抽骨髓,病人當天就可被移植。
(3)自體周邊血液幹細胞移植:病人接受化學治療後,骨髓受抑制恢復時期,利用白血球生成激素來刺激骨髓中造血幹細胞跑出周邊血液中,再用血球分離機收集造血幹細胞,冷藏於超低溫的液態氮中,適當的時機再將冷凍的周邊血液幹細胞解凍後輸回體內。
(4)異體周邊血液幹細胞移植:做法上類似異體骨髓移植,只是幹細胞來源是使用外圍血液。
三放射治療
在白血病的治療上,放射線治療所扮演的角色不如化學治療那么吃重。主要套用於急性淋巴性白血病的病人。因為此類病人的癌細胞容易殘存在中樞神經系統,一般靜脈注射化學治療難以達到此部位,所以醫師會安排病人做預防性的放射線治療,避免癌細胞的侵犯。
中醫治療
從大量的臨床實踐來看,中醫在白血病治療中儘早參與可明顯改善患者的病情。中醫對氣血,陰陽,臟腑的調整可以對應西醫的免疫功能。免疫狀態的調整,中醫對改善患者的生活質量更具明顯優勢,特別對化療後患者所出現的低熱、虛汗、滲血、食慾差、精神萎頓、掉頭髮等症狀,具有立竿見影之功。因此,中醫的儘早參與對疾病的恢復非常有利。

