病因
本病為一種先天性發育異常,以皮膚中皮脂腺增多為主,表皮、其他皮膚附屬器和真皮也參與其形成。
發病機制
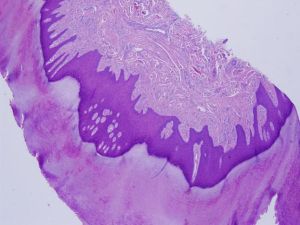
皮脂腺痣的病理變化因病史長短而異在嬰兒和童年,病史中皮脂腺發育不良,不能辨認出大汗腺。表皮輕度增生可見小毛囊及未分化的上皮細胞索條或胚芽。到青年發育期皮損中可見大量成熟或近於成熟的皮脂腺其上方的表皮往往呈乳頭瘤樣增生,可見棘層肥厚。在皮脂腺小葉下方,可見異位的大汗腺。在老年患者的皮損中,表皮多呈疣狀增生,有時可見皮脂腺呈腫瘤樣增生。
臨床表現
獲得性指1.好發部位頭皮和面部等處亦可見於陰囊。
2.臨床症狀
(1)局部腫物:略高出皮面,呈圓形、卵圓形或帶狀。淡黃、黃褐或紅褐色。邊緣不規則,表面多呈顆粒狀無毛髮,有時可見擴大的皮脂腺開口。多為單發,大小不定,通常在數厘米以內。病史久者,皮損可呈疣狀或乳頭瘤狀。
(2)伴發腫瘤:皮損伴發其他皮膚腫瘤者占10%~40%。常見為基底細胞癌,其他為乳頭狀汗管囊腺瘤、大汗腺瘤角化棘皮瘤等。
(3)皮脂腺痣綜合徵:少數皮損伴發癲癇、精神發育遲緩和骨骼畸形者,稱線狀皮脂腺痣綜合徵。
診斷
1.病人早年在頭皮及面部出現圓形、卵圓形或不規則形淡黃、黃褐或紅褐色丘疹,應考慮本病。
2.組織病理檢查若見病變組織中皮脂腺增多伴有表皮及其附屬器發育異常,可確診。
鑑別診斷:
臨床上應注意與黃色瘤幼年性黃色肉芽腫、良性幼年黑瘤毛母質瘤、疣狀痣等鑑別。
檢查
組織病理檢查可見表皮過度角化,棘層肥厚;核心部膠原纖維交織成束,垂直排列;彈力纖維細、少,毛細血管豐富。

