原因
牙齒較小呈半透明狀的發病原因
(一)發病原因本病徵為常染色體顯性遺傳性疾病。
1.全身營養失調節特別是鈣、磷、維生素A、維生素D、維生素C的失調。
2.全身或局部感染高熱或代謝病、小兒麻疹、猩紅熱、乳牙根尖周炎症。
3.遺傳因素。
(二)發病機制
本症因牙釉質和本質發育不良所造成,生後疾病即已形成。病理學檢查可見牙根細長、髓腔小、牙質硬度明顯減低、結構破壞,但齲孔少見。
檢查
牙齒較小呈半透明狀的檢查診斷
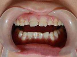
本病徵累及乳齒與恆齒,這些表現在出生後長牙時即可出現。牙齒較小,呈半透明狀,色澤棕黃或橙黃。質地脆弱,容易折斷,但無鬆動現象。全部或大部分牙齒可逐漸被磨短。
1.輕症釉質形態正常,無實質性缺損,釉質呈白堊色不透明,表面疏鬆粗糙,有時呈黃褐色。
2.重症釉質實質性缺損牙齒表面有帶狀或窩狀的凹陷,變色呈白堊色或黃褐色,嚴重者無釉質形成或牙冠形態改變或縮小。
3.由全身性因素引起者由全身性因素造成的釉質發育不全,左右同名牙對稱,同時期發育牙同時受累。
一般根據臨床表現即可做出診斷,病牙拔除做病理學檢查則可以確診。
鑑別診斷
牙齒較小呈半透明狀容易混淆的症狀
牙齒形態異常:牙齒的形態和大小,如同身體形貌一樣,受遺傳因素的影響,其作用方式,目前還不明了.少數在環境因素的影響下,如機械壓力,也可以造成牙齒形態的變異.常見的牙齒形態異常有以下幾種:畸形牙尖,畸形牙窩,雙牙畸形,小牙畸形,彎曲牙等。
牙齒小且無光澤:牙體形態小,其無光澤多由於在牙的發育礦化期服用四環素族藥物,可被結合到牙組織內,使牙著色形成。多由於在牙的發育礦化期服用四環素族藥物。
牙齒小而稀疏:牙體形態小,頜骨形態正常等原因在牙間產生間隙而形成牙齒稀疏。牙齒小而稀疏易於嵌塞食物而損傷牙周組織,引起牙齦炎,牙周炎,同時易於齲變。嚴重者可影響患者的容貌美觀,造成心理精神障礙。此病及早根據引起牙列稀疏的原因,進行不同方法的矯治。
本病徵累及乳齒與恆齒,這些表現在出生後長牙時即可出現。牙齒較小,呈半透明狀,色澤棕黃或橙黃。質地脆弱,容易折斷,但無鬆動現象。全部或大部分牙齒可逐漸被磨短。
1.輕症釉質形態正常,無實質性缺損,釉質呈白堊色不透明,表面疏鬆粗糙,有時呈黃褐色。
2.重症釉質實質性缺損牙齒表面有帶狀或窩狀的凹陷,變色呈白堊色或黃褐色,嚴重者無釉質形成或牙冠形態改變或縮小。
3.由全身性因素引起者由全身性因素造成的釉質發育不全,左右同名牙對稱,同時期發育牙同時受累。
一般根據臨床表現即可做出診斷,病牙拔除做病理學檢查則可以確診。
緩解方法
牙齒較小呈半透明狀的預防方法
重視母孕期營養,做好各種孕期保健和兒童保健工作,增強體質,防止感染。防治鈣、磷、維生素A、維生素D、維生素C的缺乏性疾病等。

