原因
牙齒小而稀疏的發病原因
1.骨量大於牙量所引起的牙齒間有縫隙者。
2.根據稀疏的特點分為:一、牙量小,骨量正常;二、骨量大,牙量正常;三、牙量小,骨量大;四、軟組織因素。
檢查
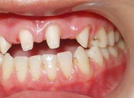
牙齒小而稀疏的檢查診斷
牙齒小而稀疏易於嵌塞食物而損傷牙周組織,引起牙齦炎,牙周炎,同時易於齲變。嚴重者可影響患者的容貌美觀,造成心理精神障礙。此病及早根據引起牙列稀疏的原因,進行不同方法的矯治。
鑑別診斷
牙齒小而稀疏易混淆的症狀
牙齒小且無光澤:牙體形態小,其無光澤多由於在牙的發育礦化期服用四環素族藥物,可被結合到牙組織內,使牙著色形成。
牙齒異常:人類牙齒的發育是一個複雜而漫長的過程。在這漫長過程中,機體內外各種不利因素作用牙齒髮育的不同階段可以造成不同類型的發育異常,如牙齒萌出異常,數目異常,形態異常和牙齒結構異常。1.望診觀察牙齒的數目、形態、顏色及排列有無異常。是否有白襲色、淺黃色、黃褐色。墨浸色、黑褐色。受損部位是在牙冠尖部還是頸部,呈線紋狀、點窩狀還是全牙冠變色。2.探診用銳利探針探查牙體缺損區,了解牙體的硬度。牙質變軟並形成洞穴多為齲病,如牙質堅硬,牙面粗糙、不光滑多系釉質發育不全。
牙齒縫隙大:是因為牙發育不好或後天牙損害造成的牙間大縫隙,導致吃東西塞牙縫或影響牙齒美觀。
牙齒較小呈半透明狀:小兒牙本質生長不全綜合徵累及乳齒與恆齒,這些表現在出生後長牙時即可出現。牙齒較小,呈半透明狀,色澤棕黃或橙黃。本病徵累及乳齒與恆齒,這些表現在出生後長牙時即可出現。牙齒較小,呈半透明狀,色澤棕黃或橙黃。質地脆弱,容易折斷,但無鬆動現象。全部或大部分牙齒可逐漸被磨短。
牙齒小而稀疏易於嵌塞食物而損傷牙周組織,引起牙齦炎,牙周炎,同時易於齲變。嚴重者可影響患者的容貌美觀,造成心理精神障礙。此病及早根據引起牙列稀疏的原因,進行不同方法的矯治。
緩解方法
牙齒小而稀疏的預防方法
患兒在2.5-6歲左右,口內一般是乳牙,在這一時期,如果患兒牙齒數目、形態、大小正常,同時頜骨發育正常,牙列中出現散在的間隙,看似牙列稀疏,然而這一般是正常的。此有利於恆牙的正常萌出,臨床上一般毋需矯治。如果牙體態小,頜骨形態正常;口內先天缺牙,頜骨形態正常;牙體形態正常,頜骨過大等,其往往造成牙列稀疏,此為疾病的徵象,需加以矯治。從6歲至12歲左右,此年齡段內,口內乳恆牙同時存在,這一時期牙列稀疏不常見,臨床上常見到的乳牙早脫或恆牙遲萌以及由於唇系帶附離異常所致的牙間間隙,此一時期只要針對病因,對症矯治,常可收到較好矯治效果。在乳牙全部替換掉、恆牙萌出後,由概述中所述及的四種類型所致的牙列稀疏,只要及早矯治,一定療效較好,若錯過12-16歲這一年齡後再行矯治,往往療程較長、療效不能肯定,此期可正頜手術治療。

