原因
牙齒小且無光澤的病因
多由於在牙的發育礦化期服用四環素族藥物。
檢查
牙齒小且無光澤的檢查診斷
慢性氟中毒早期有牙釉質失去色澤變暗或呈斑點石灰狀,晚期往往有慢性咳嗽、腰背及下肢疼痛,骨質硬化,肌腱、韌帶鈣化和關節囊肥厚,骨質增生,關節變形等。
典型的氟骨症診斷並不困難:
1.生活於並飲用高氟水的地方性氟骨症流行地區兩年以上,或患有氟斑牙者。
2.臨床表現符合典型氟骨症的症狀和體徵者。
3.放射學檢查發現有骨骼特異性改變者。
4.有診斷意義的實驗室檢查陽性者。
5.骨活檢符合氟骨症者。
鑑別診斷
牙齒小且無光澤易混淆的症狀
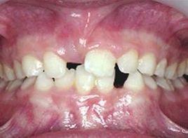
牙齒異常:人類牙齒的發育是一個複雜而漫長的過程。在這漫長過程中,機體內外各種不利因素作用牙齒髮育的不同階段可以造成不同類型的發育異常,如牙齒萌出異常,數目異常,形態異常和牙齒結構異常。1.望診觀察牙齒的數目、形態、顏色及排列有無異常。是否有白襲色、淺黃色、黃褐色。墨浸色、黑褐色。受損部位是在牙冠尖部還是頸部,呈線紋狀、點窩狀還是全牙冠變色。2.探診用銳利探針探查牙體缺損區,了解牙體的硬度。牙質變軟並形成洞穴多為齲病,如牙質堅硬,牙面粗糙、不光滑多系釉質發育不全。
牙齒縫隙大:是因為牙發育不好或後天牙損害造成的牙間大縫隙,導致吃東西塞牙縫或影響牙齒美觀。
牙齒較小呈半透明狀:小兒牙本質生長不全綜合徵累及乳齒與恆齒,這些表現在出生後長牙時即可出現。牙齒較小,呈半透明狀,色澤棕黃或橙黃。本病徵累及乳齒與恆齒,這些表現在出生後長牙時即可出現。牙齒較小,呈半透明狀,色澤棕黃或橙黃。質地脆弱,容易折斷,但無鬆動現象。全部或大部分牙齒可逐漸被磨短。
牙齒顏色異常:因為牙齒表面覆蓋著一層牙釉質,呈透明或半透明狀態,其深部為牙本質,呈淡黃色。牙齒的顏色與釉質的鈣化程度有關,鈣化程度越高,釉質越透明,而其深部的牙本質的本色透過其使牙齒呈淡黃色,牙齒顏色異常見於各種牙病。
慢性氟中毒早期有牙釉質失去色澤變暗或呈斑點石灰狀,晚期往往有慢性咳嗽、腰背及下肢疼痛,骨質硬化,肌腱、韌帶鈣化和關節囊肥厚,骨質增生,關節變形等。
典型的氟骨症診斷並不困難:
1.生活於並飲用高氟水的地方性氟骨症流行地區兩年以上,或患有氟斑牙者。
2.臨床表現符合典型氟骨症的症狀和體徵者。
3.放射學檢查發現有骨骼特異性改變者。
4.有診斷意義的實驗室檢查陽性者。
5.骨活檢符合氟骨症者。
緩解方法
牙齒小且無光澤的預防方法
(1)講究口腔衛生養成正確刷牙、漱口的良好習慣;
(2)進行定期的口腔健康檢查,積極預防口腔疾病。

