簡介
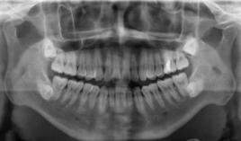
牙鮃其面積為3×4平方厘米。一張牙片可以顯示3-4個牙齒。牙齒在牙片上顯示出白色阻射影像。其中牙釉質阻射最強,牙本質和牙骨質阻射低於牙釉質。牙髓腔呈黑色透明影像,根管口至根尖孔呈逐漸變細的影像。
牙片是口腔科套用最廣的檢查手段,也是最常用的,因為它在牙的治療前、治療中和治療後都有助於診斷和治療。治療前有助於發現病變;治療中可用插針照相方法了解擴根情況等;治療後觀察療效等。臨床上,利用牙片對牙齒硬組織病變、牙髓病變、尖周病變及牙周病進行診斷治療。
適用症狀
牙齒硬組織病變
淺齲:由於淺齲僅發生牙齒顏色的改變,主觀症狀不明顯,不易被發現。因此,淺齲病變在下列情況下需作X線檢查:①不易發現的齲,如牙頸部、鄰面齲等。②不能確定是否有齲壞,如探針勾不住的齲面、鄰接粗糙面和放下粗糙面。③無形態缺損的早期齲的診斷有困難時。
中齲:由於中齲有明顯的齲洞,主觀症狀是接觸冷、熱、酸、甜性食物疼痛。X線檢查的目的是:①確定齲壞的程度和齲壞的範圍。②檢查補料下面的情況,如有無繼發性齲壞。③鄰面齲壞深度與牙髓角或牙髓腔的關係。
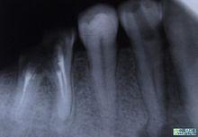
深齲:是牙齒齲壞員嚴重的損害。主觀症狀明顯,容易檢查發現。由於深齲治療比較複雜,如果治療不妥,可以出現治療後疼痛等問題。所以,X線檢查的目的是:①了解齲洞底與牙髓腔的距離,包括與髓角的關係。②了解髓腔的變化情況和根尖周情況。
牙髓病變
牙片幫助檢查引起牙髓炎症的病因,如隱匿齲、鄰面齲、牙髓石症、牙齒內吸收等。
尖周炎症
由於牙根的牙髓組織發炎,引起牙根尖組織病變,如根尖牙周膜腔增寬、根尖囊腫等病變均可在牙片上顯示出來。尖周炎症作牙片檢查的臨床意義有:①了解病牙根管情況:如根管數目、粗細、彎曲度以及有無鈣化、有無內吸收等情況。②幫助確定病牙:如兩牙之間的瘺管插入牙膠尖作牙片檢查,可以顯示牙膠尖偏於某一牙齒。③檢查治療情況:如牙片顯示根管充填是否到底或有無超填。
牙周炎症
牙片對診斷牙周炎性病變有很重要的價值,因為牙片能顯示牙槽骨病變情況。如果牙片顯示牙槽骨吸收程度,可確定牙周炎程度。
另外,牙片也用於阻生牙、埋伏牙及替換牙的檢查和治療。
牙片危害
病人接受口腔診斷用X線劑量通常用靶器官接受放射劑量表示。最常見的是皮膚或暴露便面的接受劑量,其他如骨髓、甲狀腺及 性腺的輻射劑量等。有餘骨髓被認為是放鬆誘導白血病的靶器官,對骨髓起作用的平均骨髓效應劑量十分重要。另外,甲狀腺是放射誘導癌變率最高的器官之一,性腺則是對診斷用計量可以能導致基因突變的器官,故對這兩個器官的劑量效應評估也十分重要。
平均骨髓效應劑量指平均對整個骨髓放射的劑量。平行投照全口21張牙片所致的平均骨髓效應劑量為0.142mSv;一張分角線投照牙片的平均骨髓效應劑量僅為0.06mSv,一張曲面斷層的平均骨髓效應劑量約為0.01mSv,而一張胸片為0.03mSv。甲狀腺以接近放射線一側為測定接受劑量的重要部分。頸椎放射檢查可能需4次曝光,對甲狀腺的照射總劑量為5.5mGy。拍攝一張胸片對甲狀腺放射量僅為0.01mGy,主要來自散射。
口腔放射學檢查對甲狀腺的照射劑量相對較低,一套21張全口牙片檢查對甲狀腺照射的劑量為0.94mGy,相當於頸椎放射檢查的1/6;一張曲面斷檢查約74mGy,僅占頸椎檢查對甲狀腺照射劑量的1%。腹部放射檢查對性腺輻射最高,口腔、頭頸部及四肢放射檢查對性腺輻射相當低。拍攝一張腎、輸尿管、膀胱、X線片對女性性腺放射劑量為1.07mGy,男性為0.08mGy;而一張頭顱拍片對男女性腺的放射劑量均小於0.005mGy。一般來講,牙科放射檢查對性腺染色體放射劑量僅為1.0υGy,此劑量僅為每天天然本底放射劑量的0.003%,無顯著性意義。
人們試圖通過用放射劑量直接比較放射危害性,如一張根尖片放射量是一張胸片的十多倍,但此放射量並不完全反映輻射危害性,因為曝光的區域和受影響的重要器官不一樣。這種差異可以通過計算E來校正,E是指當機體局部受到輻射時會引起相同放射效應幾率的相當的全身輻射劑量的估算。通過此校正估算,一套分角線投照的全口20張牙片檢查的校正放射劑量比一張胸片效應還要低(如表),比胃腸道鋇檢查的效應劑量的1%還低。
由電離輻射引起的危害程度可由兩種方式表示,即天然本底相當天數和隨即效應機率。天然本底相當天數是通過由特定放射檢查計算出校正E值來定,每天來自天然輻射平均E值為8υGy。
如表所示一分角線技術投照20張口內牙片的天然本底相當天數僅為4天,隨機效應機率為2.4X ;一張曲面斷層片天然本底相當天數為3.3天,隨機效應機率為1.9X ;而一張胸片天然本底相當天數為10天,隨機效應機率為5.8X ,由此可知放射量較大的全口牙片及曲面斷層的危害性反而比放射劑量較小的胸片少。

