概述
燕麥細胞癌種類
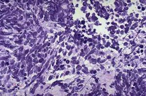
燕麥細胞癌隸屬於小細胞肺癌的亞型分支,而小細胞肺癌是肺癌的兩大部分之一,平均每五名肺癌患者就有一名是小細胞肺癌(SCLC)。值得注意的是,燕麥細胞癌在電鏡下胞質內可見神經內分泌顆粒,神經分泌顆粒見於全部5例燕麥細胞癌亞型,在中間細胞型癌亞型6/8例陽性,因此燕麥細胞癌也屬肺神經內分泌癌。
傳染方式
燕麥細胞癌目前尚未發現傳染病歷。
預防措施
燕麥細胞癌同其他很多肺癌類型一樣與吸菸和大氣污染密切相關,因此應該不吸菸以及注意遠離吸菸者。處於環境污染比較嚴重地區者,應注意攜帶並更換口罩。像是北京這樣霧霾天氣比較重的地區可以考慮攜帶PM2.5的口罩,但是由於其透氣性差,建議不要連續佩戴超過半小時,如果中途有頭暈或呼吸困難的情況,應摘下口罩注意呼吸新鮮空氣。
感染症狀
燕麥細胞癌患者在早期並無明顯症狀,診斷時最常見的症狀包括乏力(80%)、咳嗽(70%)、氣短(60%)、體重下降(55%)、疼痛(40-50%)、咯血(25%)。
併發症
臨床顯示,常伴內分泌異常或類癌綜合徵。易感人群
1.吸菸人群或長期吸入二手菸者
2.處於大氣環境污染或長期處於污染環境中進行工作的人群
治療方法
對於燕麥細胞癌的治療,江蘇腫瘤生物治療中心醫師王繼光指出,除了傳統的手術、化療以、放療及中醫的治療方法。新興的CLS-MCT多細胞免疫治療突破了傳統治療腫瘤“不徹底”、“易復發”、“副作用大”的三大瓶頸,治療效果迅速,沒有任何毒副作用。並且和手術治療、化療和放療方法一起套用會有很強的互補作用。該療法解決了手術和放化療存在的不足,也增強了治療效果,更重要的是並不損害患者的身體健康。發現歷史
1926年,Barnard提出了苝麥細胞癌,當時僅是肺未分化癌的同義詞。後來發現這種形態的腫瘤不僅見於肺,也見於其他部位,例如食道、鼻腔、喉、乳腺、胸腺、前列腺、宮頸等,不過最為多見的還是肺燕麥細胞癌以及食道燕麥細胞癌。

