淋巴細胞轉化試驗LTT
淋巴細胞轉化試驗
形態學方法:轉化率=(60.1±7.6)%
此外,本試驗還可幫助觀察疾病的療效和預後,經治療後轉化率由低值轉變為正常者表示預後良好,反之則預後不良。
空腹抽取靜脈血3ml,加人25ul肝素抗凝,混勻後立即送檢。

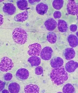
淋巴細胞轉化試驗,T淋巴細胞與有絲分裂原在體外共同培養時,受到後者的刺激可發生形態學和生物化學的變化,部分小淋巴細胞轉化為不成熟的母細胞,並進行有絲分裂。
淋巴細胞轉化試驗LTT
淋巴細胞轉化試驗
形態學方法:轉化率=(60.1±7.6)%
此外,本試驗還可幫助觀察疾病的療效和預後,經治療後轉化率由低值轉變為正常者表示預後良好,反之則預後不良。
空腹抽取靜脈血3ml,加人25ul肝素抗凝,混勻後立即送檢。
PHA淋巴細胞轉化試驗 是 T淋巴細胞與有絲分裂原在體外共同培養時,受到後者的刺激可發生形態學和生物化學的變化,部分小淋巴細胞轉化為不成熟的母細胞,並進...
正常值 臨床意義 注意事項 檢查過程 相關疾病T淋巴細胞來源於骨髓的多能幹細胞(胚胎期則來源於卵黃囊和肝)。在人體胚胎期和初生期,骨髓中的一部分多能幹細胞或前T細胞遷移到胸腺內,在胸腺激素的誘導下分...
簡介 發育和分化 分類 表面標誌 生物學功能同種異型組織抗原也可作為刺激物,用混合淋巴細胞培養法觀察器官移植中受體細胞對供體細胞的反應性實質上也是一種淋巴細胞轉化試驗。 非抗原性刺激物可使正常人外...
簡介 臨床意義急性淋巴細胞性白血病(acute lymphoblastic leukemia of childhood)是最常見的兒童腫瘤性疾病,是指前體B、T或成熟...
介紹 發病機制 臨床表現 診斷 鑑別診斷0期:絕對性高淋巴白細胞血病(10萬/µl),伴或不伴淋巴結腫大,肝大,脾大或貧血。
概述 病因 症狀 飲食保健 預防巨噬細胞移動抑制試驗巨噬細胞移動抑制試驗是指已致敏的淋巴細胞在體外培養中受到特異性抗原的刺激會釋放多種淋巴因子,其中包括移動抑制因子。 移動指數小於0....
簡介 正常值 臨床意義 參考資料小兒急性淋巴細胞性白血病是最常見的兒童腫瘤性疾病,是指前體B、T或成熟B淋巴細胞發生克隆性異常增殖所致的惡性疾病。急性淋巴細胞性白血病占兒童急性白血病的...
病因 分型 表現及診斷 預防指數的計算 紅細胞直徑曲線 紅細胞滲透脆性試驗 紅細胞孵育滲透脆性試驗 自身溶血及糾正試驗 血漿游離血紅蛋白測定 血清結合珠蛋白測定 酸溶血試驗 蔗糖水試驗 冷熱溶血試驗 抗人球蛋白試驗 蛇毒因子溶血試驗異常血紅蛋白...
內容介紹 作品目錄