簡介
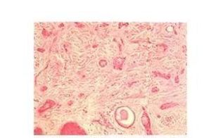
分單發性和多發性兩種,兩者組織像相似,然前者分化更好。重要病理改變
a 瘤團由基底樣細胞組成;b 有角質囊腫;
c 瘤團周圍纖維組織增生明顯。
一般病理改變
a 腫瘤位於真皮,界清,表皮基本正常;b 由基底樣細胞組成的瘤團呈束狀或篩孔狀,周圍細胞呈柵欄狀排列;
c 瘤團由增生明顯的纖維組織互相分隔;
d 角質囊腫常見中央角化突然而完全,破裂時,可出現異物肉芽腫反應;
e 核絲分裂相及壞死細胞少見或無;
f 多發性毛髮上皮瘤可伴發圓柱瘤、小汗腺螺鏇腺瘤、外毛根鞘瘤和基底細胞癌。
臨床表現
多發性毛髮上皮瘤
a 女性多見,幼年發病,隨年齡增大,數目逐漸增多;b 系常染色體顯性遺傳性疾病;
c腫瘤好發於面部,以鼻唇溝為主,但病情嚴重者,其他部位如前額、頰、顴、下頜部及軀幹四肢也可出現損害;
d損害為多數膚色或黃色丘疹或結節,直徑3mm~10mm,較大的損害表面可有毛細血管擴張,表面光滑,球形或圓錐形,質硬。
單發性毛髮上皮瘤
a 成年發病,非遺傳性疾病;b 腫瘤幾乎都發生於面部;
c 皮損與多發性相似,但瘤體生長較緩慢。

