目名: 顫蚓目 (Tubificida )
普通仙女蟲科名: 仙女蟲科 (Naididae ) ()
屬名: 仙女蟲屬 (Nais Müller,1773 )
種名: 普通仙女蟲 (Nais communis Piguet,1906 )
分布描述: 廣布種;我國山東、安徽、江蘇、湖北、湖南、四川、貴州、廣西、新疆。淡水。
普通仙女蟲
普通仙女蟲
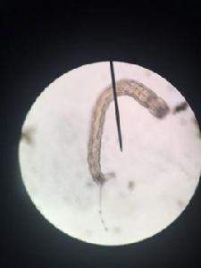
主要鑑別特徵: 體長4-12mm,s=20-34,n=10-21(多數16-17)。有眼。胃緩緩膨大。背剛毛始於Ⅵ節,每束有髮狀剛毛和針伏剛毛各1條,髮狀剛毛長度接近體寬,針狀剛毛長約髮狀毛的1/3,遠端分叉,兩叉小而等長,但不平行。前五節腹剛毛略細長,二叉不等,他節毛幹略粗短,叉等長或遠叉略短。不會游泳。
目名: 顫蚓目 (Tubificida )
普通仙女蟲科名: 仙女蟲科 (Naididae ) ()
屬名: 仙女蟲屬 (Nais Müller,1773 )
種名: 普通仙女蟲 (Nais communis Piguet,1906 )
分布描述: 廣布種;我國山東、安徽、江蘇、湖北、湖南、四川、貴州、廣西、新疆。淡水。
普通仙女蟲
普通仙女蟲仙女蟲屬使寡毛綱仙女蟲科中最常見的1屬。水棲動物。
仙女蟲屬 正文 配圖 相關連線巴拉圭異仙女蟲,無眼。無膨大的胃。體前部6節紅色,缺乏體腔球,但後部大而豐富。分布於江蘇、湖北、四川、廣西、湖南、江西、淡水。
概述 地域分布 主要鑑別特徵 同類異仙女蟲屬尖刺仙女蟲----目名: 顫蚓目 (Tubificida ) 科名: 仙女蟲科 (Naididae ) () 屬名: 仙女蟲屬 (Nais Müller...
簡介 分布描述 主要鑑別特徵參差仙女蟲是一種淡水蟲,與普通仙女蟲相似,身體透明,分布於中國黑龍江、河南、江蘇等省,善於游泳。
分布描述 主要鑑別特徵鱟蟲(Triops spp.)屬鰓足亞綱(Branchiopoda),背甲目(Notostrace),鱟蟲科(Triopsidae),鱟蟲屬(Triop...
外形特徵 歷史記載 生長繁殖 分布範圍 物種價值旋額蟲 旋額蟲屬於節肢動物門,甲殼綱,鰓足亞綱,無被甲目,旋額蟲科,旋額蟲屬,旋額蟲; 它發現在雲南半坡湖,它還是中國的旋額蟲科第一個物種!他是古老的物...
外形特徵 生活環境 新發現 新科物種孟加拉毛腹蟲 - 孟加拉毛腹蟲 目名:顫蚓目 (Tubificida ) 科名:仙女蟲科 (Naididae ) () 屬名:毛腹蟲屬 (Chaetog...
孟加拉毛腹蟲 分布描述 主要鑑別特徵腹剛毛Ⅱ節始,每束3-8條(普通6條),長約160µm,粗3.5µm,形狀特別,毛節在毛乾近端,在毛節兩邊都有一處明顯的曲折,使...
分布描述 主要鑑別特徵一般在9~10月份,用普通花盆播種即可。播種土最好為富含腐殖質的沙質壤土...展開後,可進行第1次移苗。移苗時仍可用普通花盆,盆土同播種土,幼苗距離...,葉片失綠扭曲變形。防治措施:1、清除雜草,降低蟲口。2、噴施73%克蟎特...
形態特徵 生長習性 分布情況 主要品類 栽培技術