種類
隱球菌屬包括17個種和18個變種,其中僅新生隱球菌及其變種具有致病性,主要侵犯中樞神經系統。新生隱球菌系環境腐生菌,廣泛生存於土壤和鴿糞中。正常人常處於新生隱球菌污染的環境中,但發病者極少。當機體抵抗力降低時,才易侵入人體而致病。由於腫瘤及化療藥物的使用、愛滋病的流行、移植術後免疫抑制藥物的使用等原因,新生隱球菌的發病率越來越高,在國外已成為愛滋病患者常見的併發症之一,也是導致患者死亡的重要原因。在我國新生隱球菌的發病率也呈逐年增加的趨勢。
生物學
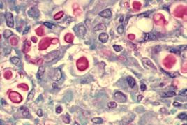
新生隱球菌無論在組織內或人工培養條件下均呈現圓形的酵母樣細胞,其外周有一層較厚的膠質樣莢膜,稱厚莢膜。菌體直徑4—20um,莢膜寬3—5um,菌體內有一個或多個反光顆粒,為核結構。部分菌體可見出芽。臨床和環境分離菌株一般為無性期的酵母相生長。1976年Kwon-Chung發現新生變種的有性期,在有性期生長可見菌絲形成。培養誘導實驗是觀察隱球菌有性期的主要方法。非致病性隱球菌無莢膜。新生隱球菌在沙保培養基和血瓊脂培養基上,於25℃和37℃均能生長,非致病性隱球菌則在37℃不能生長。培養數日形成酵母型菌落,表面黏稠,初為乳白色,後轉變成橘黃色。此菌能分解尿素,可與假絲酵母菌區別。
致病性
新生隱球菌的莢膜多糖是其主要的致病物質,可能與它能抑制機體免疫功能及增加免疫耐受性有關。動物試驗證明,無莢膜的突變株缺乏對小鼠的致病力,恢復產生莢膜能力後則可重獲致病力。莢膜多糖能抑制中性粒細胞的吞噬作用,削弱T細胞對其產生免疫應答等。
新生隱球菌一般為外源性感染,大量存在於鳥、鴿糞中。鴿子是重要傳染源。主要的入侵途徑是呼吸道,常引起肺部感染。新生隱球菌也可見於人體正常微生物群中,當機體免疫力低下時可發生內源性感染,如易發於白血病,愛滋病及糖尿病患者。新生隱球菌也可以從肺部經血行播散至其他部位,最易侵犯中樞神經系統,主要引起腦膜的亞急性和慢性感染,死亡率高,尚可播散至皮膚、黏膜、骨和內臟器官等。
微生物學
1、直接鏡檢墨汁染色塗片鏡檢是常用的簡便方法。腦脊液標本離心後取沉澱、痰和膿標本則可直接檢查。染色後鏡檢,見有圓形或橢圓形的菌體,其外有寬厚的莢膜即可做出診斷。
2、分離培養用沙保培養基,於30℃左右培養最為適宜,2—5d即可形成典型的隱球菌菌落。從菌落取菌鏡檢,可見到圓形或橢圓形菌體,無假菌絲形成。
3、抗原檢測主要是檢測新生隱球菌 的莢膜多糖特異性抗原。檢查方法有乳膠凝集試驗和 ELISA等,其中乳膠凝集試驗最常用。對抗原效價的檢測有助於判斷預後。

